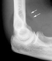
脂肪墊征fat pad sign,又稱為帆船征Sailing sign、肘關節的間接骨折征(dilmann) 、八字征。
箭頭所指透亮區即為脂肪墊影像,由於關節囊內出血,使關節滑膜,脂肪墊被推移,在側位片上出現象“船帆”狀,或是說“八”字狀影像。
http://www.gentili.net/signs/66.htm
脂肪墊征
脂肪墊征是指通過前後脂肪墊前後移位證實關節囊內滲出,提示肘關節內的積血、積液改變;雖然肘關節x片中看不到骨折線,但是出現前脂肪墊征時強烈提示有橈骨小頭骨折。
脂肪墊征fat pad sign,又稱為帆船征Sailing sign、肘關節的間接骨折征(dilmann) 、八字征。
箭頭所指透亮區即為脂肪墊影像,由於關節囊內出血,使關節滑膜,脂肪墊被推移,在側位片上出現象“船帆”狀,或是說“八”字狀影像。
http://www.gentili.net/signs/66.htm
脂肪墊征纖維肌痛征 - 治療措施:纖維肌痛綜合徵是一種特發性疾病,其病理生理至今不明,因此對它的治療方法也不多。它的主要臨床表現為瀰漫性慢性疼痛,除“壓痛點”之...
治療措施 發病機理 流行病學 臨床表現 輔助檢查。胎盤生乳素能加速脂肪分解和氧化,血中游離脂肪酸增加,加速肝臟利用甘油和...胰島素血症引起脂肪分解,使游離脂肪酸和酮體升高,所以孕婦容易出現酮症...
分類 流行病學 病因 發病機制 臨床表現、股二頭肌、髂脛束共同維持。01 (五)脂肪墊脂肪墊,即髕下脂肪墊是一團局限於髕骨下方、髕韌帶後方、脛骨平台前部之間的脂肪組織,其表面...或翼狀韌帶(alar fold,alar ligament)。脂肪墊還由...
膝關節置換的原因 膝關節解剖概要與生物力學特點 膝關節置換術的適應證與禁忌證、浮蓮征二十八、隔影連續征二十九、橫膈矛盾運動征三十、心外膜脂肪墊征第二十...的動態觀察八、X線診斷報告的書寫方法第二十章 胸部X線診斷與X線征一、半影征二、頸胸征三、胸膜外征四、逆S征五、爆玉米花狀鈣化征六、支氣管氣像七...
內容簡介 目錄十九節 藥墊法第三十節 吸菸法第三十一節 蒸汽法第三十二節 制痂法第三十...
作品目錄Horner征,即患側眼裂變窄,眼球輕度下陷,瞳孔縮小,面頸部不出汗。臂叢...Horner征。手內肌全部萎縮,骨間肌尤其明顯,手指不能屈伸或有嚴重障礙,拇指不能...腫脹。Horner征陽性。晚期上肢肌肉顯著萎縮,各關節常因關節囊攣縮而致...
相關解剖 疾病名稱 英文名稱 別名 分類伴有肝硬化背景,腫瘤周圍常可見暈征,腫瘤內部有時可見“結中結”現象...休克腹膜有癌腫轉移時,也可出現腹膜刺激征但疼痛較緩和。(2)消化道症狀:表...
流行病學 細胞分型 病因 發病機制 臨床表現(Babinski)征、歐本漢姆(Oppenheim)征、戈登(Gordon)征、查多克(Chaddock)征陽性。如椎管狹窄平面很低,同時有胸腰椎椎管狹窄...或OPLL致椎管狹窄。4.MRI檢查 顯示椎管狹窄脊髓受壓征5.脊髓...
病因 發病機制 臨床表現 診斷 檢查