原因
肺水腫的病因按發病機制的不同分為下述六類
(一)肺毛細血管內壓增高
見於各種原因引起的左心衰竭(二尖瓣狹窄、高血壓性心臟病、冠心病心肌病等人),輸液過量,肺靜脈閉塞性疾病(肺靜脈纖維化、先天性肺靜脈狹窄、縱隔腫瘤、縱隔肉芽腫、纖維縱隔炎等可壓迫靜脈)引起肺毛細血管內壓力增高,致血管內液外滲產生肺水腫。
(二)肺毛細血管通透性增高
生物、理化物質都能直接和間接損傷通透膜細胞,導致肺水腫,臨床上常見的原因有:細菌性或病毒性肺炎、放射性肺炎、過敏性肺泡炎,吸人有害氣體如光氣、臭氧、氯氣、氮氧化合物,尿毒症,氧中毒,DIC,嚴重燒傷,淹溺等。
(三)血漿膠體滲透壓降低
如肝病、腎病、蛋白丟失性腸病、營養不良性低蛋白血症等,當血漿蛋白降到5g/L或清蛋白降到2g/L以下時,可導致肺水腫。
(四)淋巴循環障礙
當某些病變如矽肺等致肺內淋巴引流不暢,肺間質就可能有水液滯積,發生肺水腫。
(五)組織間隙負壓增高
突然大氣道閉塞、或短時間內除去大量氣胸和胸腔積液均可使肺內壓驟降,形成肺組織負壓和對毛細血管產生吸引作用,因而發生肺水腫。
(六)綜合性因素或原因不明急性呼吸窘迫綜合徵、高原性肺水腫、神經性肺水腫、麻醉藥過量、肺栓塞、子痛、電擊復律等。
機理
肺臟在解剖結構上存在四個腔隙,即肺血管腔、肺間質、淋巴管和肺泡,彼此之間有液體的移動交換,且保持動態平衡。這種液體的移動取決於四個腔隙的物理力學作用及肺泡一毛細血管膜的通透性。正常情況下,液體不斷地從肺毛細血管濾出到肺間質中,同時淋巴系統又不斷地從間質把液體引出,通過淋巴管道的節律性收縮,把液體經右胸導管送回靜脈。在某些病理情況下,如左心衰竭、輸液過量使肺毛細血管壓增高,或各種原因的低蛋白血症使血漿膠體滲透壓減低等,則使肺內液體移動平衡失常,濾出的液體多於回收,形成肺水腫,此種機制稱為高壓性肺水腫。
而缺氧、炎症、毒性刺激、放射損傷以及血管活性物質都可引起肺毛細血管內皮細胞的損害或反應,使毛細血管壁的通透性增加,產生肺水腫,稱為滲透性肺水腫。淋巴管功能正常時其代償能力很大,但超過其飽和量時,或因病理狀態而致淋巴功能障礙,減少引流量,或不能充分發揮其代償能力時,就會形成肺水腫。肺內水腫液最初積聚在肺泡毛細血管間的間質間隙,此階段為間質性肺水腫;或間質內蓄液過多,張力增高,則可將毛細血管內皮和肺泡上皮從基底膜剝離開來,導致更多的液體滲出,並使液體進人肺泡內,形成肺泡性肺水腫。
檢查
一、病史
隨原發病不同而有相應症狀。如理化刺激引起者有急性支氣管炎症現象,咳嗽、憋喘、呼吸困難等;肺炎引起者有咳嗽、咳痰、發熱等呼吸道感染症狀;左心衰竭引起者有心悸、氣短。心前區不適、夜間發作性呼吸困難等;縱隔腫瘤引起者有氣促、上腔靜脈梗阻徵象;低蛋白血症引起者有營養不良、肝腎疾病的臨床症狀;氧中毒引起者有長時間吸人高濃度(60%)氧史。
二、體格檢查
肺水腫的早期表現為胸悶、咳嗽、呼吸困難、呼吸淺速、煩躁不安、發組較輕或不明顯,肺內一般無濕峻音;由於間質水腫液的壓迫致小支氣管管腔狹窄,或因新膜水腫肺內可聞及哮鳴音或乾吸音。肺泡水腫階段症狀加劇;呼吸困難嚴重,呈強迫坐位,面色蒼白心悸大汗。發紺、伴咳嗽和咳大量白色或血性泡沫樣痰,肺內滿布濕降音,並常有心率增快心律不齊、或有奔馬律等體徵。病情不斷進展,可出現嚴重缺氧、酸鹼平衡紊亂、休克、神志障礙等。
三、實驗室檢查
由於病因不同,隨原發病有相應指標改變,如感染性疾病則血白細胞升高,低蛋白血症引起者血中總蛋白降低、白蛋白降低,或有肝腎功能指標的變化等。肺水腫時動脈血氣分析發生改變,間質性肺水腫的早期一般無血氧分壓變化,由於肺泡過度通氣,二氧化碳分壓降低,產生呼吸性鹼中毒;病情發展至肺泡性水腫時,肺泡通氣功能和彌散功能障礙,通氣/血流比例失調,則引起低氧血症及血二氧化碳分壓增高,出現呼吸性酸中毒,亦可發生代謝性酸中毒。
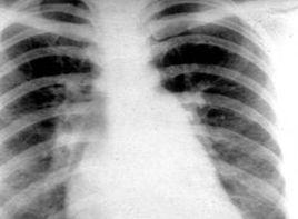
四、器械檢查
1、X線檢查對於臨床診斷十分重要,且可用以觀察肺水腫的分布區域。間質性肺水腫的特徵性表現為肺紋理增多變粗,模糊不清,肺野透光度低而模糊,肺小葉間隔增寬,形成KER-leyB線。肺泡水腫主要表現為腺泡狀增密陰影,相互融合呈不規則片狀模糊陰影,瀰漫分布油肺門兩側向外伸展,逐漸變淡,形成典型的蝴蝶狀陰影。有時兩肺中下野出現不對稱的大片陰影,與炎症不易區別。
2、胸部。CT和MRI胸部,CT可用於定量診斷規M可根據信號強弱確定肺的含水量,而且血管中流動的液體幾乎不顯影,從而可區分出肺充血和肺間質水腫。但二者費用昂貴,不適於常規套用。
3、肺功能檢查間質性和肺泡性肺水腫均致肺容量減少,故有潮氣量及肺活量減少,功能殘氣量減低,但呼氣時間稍延長,彌散障礙等改變。
4、放射性核素檢查血流灌注肺掃描和霧化吸人肺掃描,觀察二清蛋白的廓清率,較無肺水腫者降低。亦有用TC一人血球蛋白微囊或In一運鐵蛋白進行灌注肺掃描,由於肺血管通透性增高,使標記蛋白向血管外擴散,從血管中丟失而在肺間質中聚集,故在胸壁外測定Y射線強度,就可有效地測定血管蛋白通過量。此法尤其適用於滲透性肺水腫。
5、心導管檢查套用漂浮心導管測定肺動脈壓力,正常肺動脈平均壓力為1.33-2.4kPa(10-18nnHL)肺動脈收縮壓平均為2.l-4.0kPa(16-30),肺動脈舒張壓平均為0.67-2kPaO(5-15)肺動脈楔壓平均為0.67-l.6kPa乃一12M人在肺動脈楔壓高於2.67kPa(20表示有肺水腫存在。本病由於肺間質積液致肺血流阻力增加和肺水腫引起的低氧血症故肺動脈壓也常增高。心導管檢查有助於心原性和非心源性肺水腫的鑑別廣心源性者肺楔壓大於1.6kPa(12mmHg),肺動脈舒張壓與肺源楔壓差小於0.67kPa6(5mmHg);非心源者肺楔壓常低於1.6kPa(12mmHg),肺動脈舒張壓與肺楔壓差大於0.67kPa(5mmHg)。
鑑別診斷
肺鬱血:呼吸困難、兩肺濕羅音、咳粉紅色泡沫痰甚至咯血等。左心衰竭的臨床特點主要是由於左心房和(或)右心室衰竭引起肺瘀血、肺水腫。而右心衰竭的臨床特點是由於右心房和(或)右心室衰竭引起體循環靜脈瘀血和水、鈉瀦留。
肺化膿:該病常與眼病伴行。患該病的鱉,眼球充血,水腫,下陷,有膿性分泌物,並有豆腐渣樣狀壞死組織覆蓋於眼球上,導致雙目失明。解剖病鱉,肺呈暗紫色,有硬結節及囊狀病灶,或大小不等的膿瘡。病鱉呼吸困難,呼吸時往往頭向上仰,口大張,或頭頸伸出水面,行動遲緩,呆滯,常棲息於岸邊或食台上;食慾明顯減退。
肺血增多:常見於主動脈瓣關閉不全,平時一般無症狀,但一旦發病,病程進展很快,左心隆起是由主動脈瓣關閉不全引起的,肺血增多是由於左室壓力高,引起左房壓力高,再引起肺鬱血。
肺積水醫學上通常叫肋膜積水,水是堆積在肺臟的外面,它可以是感染髮炎引起(如:肺炎、肺結核都可以合併肋膜積水),也可以是一些自體免疫疾病引起(如:紅斑性狼瘡),還有很多肺部疾病都會合併肋膜積水。可能只是咳嗽,尤其以半夜咳嗽,無法平躺為特性,常被誤為氣管發炎或感冒而未予以重視。事實上若出現呼吸困難、呼吸急促、陣發性夜間呼吸困難、端坐呼吸,甚至必須坐著睡覺等等症狀時切勿輕忽,這些都是急性肺積水的臨床症狀之一。
一、病史
隨原發病不同而有相應症狀。如理化刺激引起者有急性支氣管炎症現象,咳嗽、憋喘、呼吸困難等;肺炎引起者有咳嗽、咳痰、發熱等呼吸道感染症狀;左心衰竭引起者有心悸、氣短。心前區不適、夜間發作性呼吸困難等;縱隔腫瘤引起者有氣促、上腔靜脈梗阻徵象;低蛋白血症引起者有營養不良、肝腎疾病的臨床症狀;氧中毒引起者有長時間吸人高濃度(60%)氧史。
二、體格檢查
肺水腫的早期表現為胸悶、咳嗽、呼吸困難、呼吸淺速、煩躁不安、發組較輕或不明顯,肺內一般無濕峻音;由於間質水腫液的壓迫致小支氣管管腔狹窄,或因新膜水腫肺內可聞及哮鳴音或乾吸音。肺泡水腫階段症狀加劇;呼吸困難嚴重,呈強迫坐位,面色蒼白心悸大汗。發紺、伴咳嗽和咳大量白色或血性泡沫樣痰,肺內滿布濕降音,並常有心率增快心律不齊、或有奔馬律等體徵。病情不斷進展,可出現嚴重缺氧、酸鹼平衡紊亂、休克、神志障礙等。
三、實驗室檢查
由於病因不同,隨原發病有相應指標改變,如感染性疾病則血白細胞升高,低蛋白血症引起者血中總蛋白降低、白蛋白降低,或有肝腎功能指標的變化等。肺水腫時動脈血氣分析發生改變,間質性肺水腫的早期一般無血氧分壓變化,由於肺泡過度通氣,二氧化碳分壓降低,產生呼吸性鹼中毒;病情發展至肺泡性水腫時,肺泡通氣功能和彌散功能障礙,通氣/血流比例失調,則引起低氧血症及血二氧化碳分壓增高,出現呼吸性酸中毒,亦可發生代謝性酸中毒。
四、器械檢查
1、X線檢查對於臨床診斷十分重要,且可用以觀察肺水腫的分布區域。間質性肺水腫的特徵性表現為肺紋理增多變粗,模糊不清,肺野透光度低而模糊,肺小葉間隔增寬,形成KER-leyB線。肺泡水腫主要表現為腺泡狀增密陰影,相互融合呈不規則片狀模糊陰影,瀰漫分布油肺門兩側向外伸展,逐漸變淡,形成典型的蝴蝶狀陰影。有時兩肺中下野出現不對稱的大片陰影,與炎症不易區別。
2、胸部。CT和MRI胸部,CT可用於定量診斷規M可根據信號強弱確定肺的含水量,而且血管中流動的液體幾乎不顯影,從而可區分出肺充血和肺間質水腫。但二者費用昂貴,不適於常規套用。
3、肺功能檢查。間質性和肺泡性肺水腫均致肺容量減少,故有潮氣量及肺活量減少,功能殘氣量減低,但呼氣時間稍延長,彌散障礙等改變。
4、放射性核素檢查。血流灌注肺掃描和霧化吸人肺掃描,觀察二清蛋白的廓清率,較無肺水腫者降低。亦有用TC一人血球蛋白微囊或In一運鐵蛋白進行灌注肺掃描,由於肺血管通透性增高,使標記蛋白向血管外擴散,從血管中丟失而在肺間質中聚集,故在胸壁外測定Y射線強度,就可有效地測定血管蛋白通過量。此法尤其適用於滲透性肺水腫。
5、心導管檢查。套用漂浮心導管測定肺動脈壓力,正常肺動脈平均壓力為1.33-2.4kPa(10-18nnHL)肺動脈收縮壓平均為2.l-4.0kPa(16-30),肺動脈舒張壓平均為0.67-2kPaO(5-15)肺動脈楔壓平均為0.67-l.6kPa乃一12M人在肺動脈楔壓高於2.67kPa(20表示有肺水腫存在。本病由於肺間質積液致肺血流阻力增加和肺水腫引起的低氧血症故肺動脈壓也常增高。心導管檢查有助於心原性和非心源性肺水腫的鑑別廣心源性者肺楔壓大於1.6kPa(12mmHg),肺動脈舒張壓與肺源楔壓差小於0.67kPa6(5mmHg);非心源者肺楔壓常低於1.6kPa(12mmHg),肺動脈舒張壓與肺楔壓差大於0.67kPa(5mmHg)。
緩解方法
儘可能吃高糖的食品,結構調整為第一碳水化合物,第二脂防,第三蛋白質,有條件的多攝入液體能量,如果汁、肉湯,牛奶,還能補充一部分水份。奶茶是很好的一種食品,酥油茶也好,是高熱量食品,並且脂肪多,對皮膚有保護,濕潤的作用。裡面的茶鹼還可以利尿作用。

