病因
該疾病目前病因不明。
臨床表現
全身性肥大細胞增多症病人有關節痛,骨痛和過敏樣症狀,其他還有刺激H2組胺受體所致的症狀(胃酸和黏液分泌增加),病人因此常有消化道潰瘍和慢性腹瀉問題,組織活檢可見組胺含量極高,與肥大細胞聚集程度相一致,全身性肥大細胞增多症時,尿內組胺及其代謝產物含量也高,血漿內組胺可升高,有報導血漿內類胰蛋白酶,肝素,前列腺素D2(PGD2)濃度升高。
本病約1/2患者在生後6個月前發病,1/4發生於青春期前,皮膚損害包括斑疹,丘疹,結節,斑塊,水皰或大皰,偶見毛細血管擴張,瘀點或瘀斑,初起時類似蕁麻疹,但不消退,皮損持久存在,並逐漸呈鹿皮色或石板色,用力劃或摩擦皮膚時常發生風團和風團周圍紅斑(Darier征)。
損害常稍高起,結節可為堅實性,散發或互相融合,表面呈淡褐色蠟樣外觀,臨床上1/3到1/2的患者的正常皮膚劃痕時皮膚繪紋症陽性,服用組胺釋放劑如酒精,嗎啡或可待因或大面積摩擦後,由於組胺大量釋放可發生嚴重症狀,如瘙癢,全身瀰漫性潮紅,甚至虛脫,頭疼,心動過緩,低血壓,伴發疲睏,食慾減退,腹瀉和關節疼。
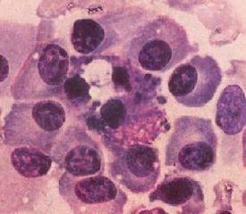
檢查
組織活檢可見組胺含量極高,與肥大細胞聚集程度相一致,全身性肥大細胞增多症時,尿內組胺及其代謝產物含量也高,血漿內組胺可升高,有報導血漿內類胰蛋白酶,肝素,前列腺素D2(PGD2)濃度升高,所有皮膚損害的組織病理學表現為肥大細胞浸潤,只是位置和數量不同,肥大細胞的特徵為在細胞質內有異染性顆粒,常規染色時看不到此種顆粒,但用Giemsa或甲苯胺藍染色,則顆粒清晰可見。
診斷
本病最可靠的診斷方法是用Giemsa染色,在肥大細胞內顯示異染顆粒,在斑疹損害,肥大細胞類似成纖維細胞,更要注意作特殊染色,以免漏診。
治療
1.可套用抗組胺劑和抗5-羥色胺劑如賽庚啶可減輕蕁麻疹瘙癢和發紅。
2.口服甲氧補骨脂素和UVA照射,可使大多數病例皮損消退,但停藥後常復發,但亦有報告1/4的病例療效持續達5年之久。
3.損害內注射曲安奈德(確炎舒松)或局部皮質類固醇激素封包,亦可使皮損消退,但停藥後即復發。
4.硝苯地平(硝苯吡啶,心痛定)10mg,3次/d,可使所有症狀在24h內緩解。
5.口服色甘酸可控制系統性肥大細胞增多症引起的腹瀉;色甘酸對胃腸症狀更有效,對皮膚損害其抗組織作用亦較好。

