概述
股骨骨折股骨幹骨折是人體中最長的管狀骨。股骨幹包括粗隆下2-5cm至股骨髁上2-5cm的骨幹。股骨幹為三組肌肉所包圍,其中伸肌群最大,由股神經支配;屈肌群次之,由坐骨神經支配;內收肌群最小,由閉孔神經支配。由於大腿的肌肉發達,骨折後多有錯位及重疊。股骨幹周圍的外展肌群,與其它肌群相比其肌力稍弱,外展肌群位於臀部附著在大粗隆上,由於內收肌的作用,骨折遠端常有向內收移位的傾向,已對位的骨折,常有向外弓的傾向,這種移位和成角傾向,在骨折治療中應注意糾正和防止。股骨下1/3骨折時,由於血管位於股骨折的後方,而且骨折遠斷端常向後成角,故易刺傷該處的膕動、靜脈。股骨幹骨折系指小粗隆下2-5厘米至股骨髁上2-5厘米的股骨骨折,占全身骨折的4-6%,男性多於女性,約2.8∶1。10歲以下兒童占多數,約為總數的1/2。
疾病病因
股骨幹骨折多由強大暴力所造成,一部分骨折由間接暴力所致。主要是直接外力,如汽車撞擊、重物砸壓、輾壓或火器傷等,骨折多為粉碎、碟形或近似橫行,故骨折斷端移位明顯,軟組織損傷也較嚴重。因間接外力致傷者如高處墜落,機器絞傷所發生的骨折多為斜形或螺鏇形,鏇轉性暴力所引起的骨折多見於兒童。
肱骨外科頸骨折 兒童的股骨幹骨折可能為不全或青枝骨折;成人股骨幹骨折後,內出血可達500-1000ml。可發生斜形、螺鏇形或青枝骨折。骨折發生的部位以股骨幹中下1/3交界處為最多,上1/3或下1/3次之。骨折端因受暴力作用的方向,肌群的收縮,下肢本身重力的牽拉和不適當的搬運與手法整復,可能發生各種不同的移位。股骨幹上1/3骨折時,骨折近段因受髂腰肌,臀中、小肌及外鏇肌的作用,而產生屈曲、外展及外鏇移位;遠骨折段則向後上、內移位。
股骨幹中1/3骨折時,骨折端移位,無一定規律性,視暴力方向而異,若骨折端尚有接觸而無重疊時,由於內收肌的作用,骨折向外成角。股骨幹下1/3骨折時,由於膝後方關節囊及腓腸肌的牽拉,骨折遠端多向後傾斜,有壓迫或損傷膕動、靜脈的危險,而骨折近端內收向前移位。
股骨上1/3骨折後,近折段受骼腰肌、臀中肌、臀小肌和髖關節外鏇諸肌的牽拉而屈曲、外鏇和外展,而遠近段則受內收肌的牽拉而向上、向後、向內移位,導致向外成角和縮短畸形。股骨中1/3骨折後,其畸形主要是按暴力的撞擊方向而成角,遠折段又因受內收肌的牽拉而向外成角。股骨下1/3骨折段受腓腸肌的牽拉而向後傾倒,遠側骨折端可壓迫或刺激膕動脈、膕靜脈和坐骨神經。
臨床表現
肱骨外科頸骨折一般有受傷史,多數傷者均有較嚴重的外傷史,傷後肢體劇痛,活動障礙,局部腫脹壓痛,有異常活動,患肢短縮。合併多處傷或內臟傷及休克者較常見。肱骨外科頸骨折
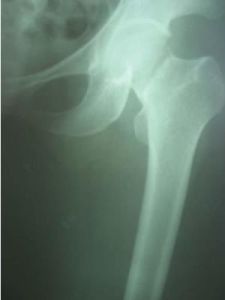
骨折部疼痛比較劇烈、壓痛、脹腫、畸形和骨摩擦音和肢體短縮功能障礙非常顯著,有的局部可出現大血腫,皮膚剝脫和開放傷及出血。X線照片可顯示骨折部位、類型和移位方向。
特別重要的是檢查股骨粗隆及膝部體徵,以免遺漏,同時存在的其他損傷,如髖關節脫位,膝關節骨折和血管、神經損傷。檢查時必須密切注意合併傷和休克的發生,以及傷肢有無神經和血管的損傷。
治療原則
(一)手法復位,小夾板或石膏固定。
(二)持續牽引
1、垂直懸吊牽引:適用於3歲以內的兒童。股骨幹骨折
股骨幹骨折 2、平衡牽引:3歲以上的兒童至15歲左右的青少年以及成人的股骨幹骨折,可同時加用小夾板以糾正移位。
3、懸浮牽引:適用於成人。
4、90°-90°90°牽引:適用於已感染的股骨幹開放性骨折。
(三)切開復位和內固定
適用於復位不理想或斷端間有軟組織嵌夾,或有血管神經禹傷者可作切開復位。固定方法可用髓內釘或鋼板螺絲釘,同時,適當考慮套用外固定,要求達到固定確實可靠的原則。
疾病治療
無論開放性還是閉合性股骨骨折,如有合併傷,經常必須考慮優先處理,如遺誤診斷或處理不恰當,常為造成死亡的重要原因。由於股骨骨折,常有周圍軟組織嚴重挫傷,如急救輸送時未做好固定,骨端活動反覆刺傷軟組織(肌肉、神經、血管),特別是股動、靜脈、膕動靜脈的破裂,可以引起大出血。股骨骨折後骨髓腔的出血也常可達1000~1500毫升。因此觀察和治療休克是治療股骨骨折重要的一環,不可忽略。
(一)非手術療法
股骨幹骨折因周圍有強大的肌肉牽拉,手法復位後用石膏或小夾板外固定均不能維持骨折對位。因此,股骨幹完全骨折不論何種類型,皆為不穩定型骨折,必須用持續牽引克服肌肉收縮,維持一段時間後再用外固定。常用牽引方法有:
股骨幹骨折 1.懸吊牽引法:用於4-5歲以內兒童。將二下肢用皮膚牽引向上懸吊,重量約1-2公斤,要保持臀部離開床面,利用體重作對抗牽引。3~4周經X線照片有骨痂形成後,去掉牽引,開始在床上活動患肢,5-6周后負重。對兒童股骨幹骨折要求對線良好,對位要求達功復位即可,不強求解剖復位。如成角不超過10°重疊不超過2厘米,以後功能一般不受影響。在牽引時,除保持臀部離開床面外,並應注意觀察足部的血液循環及包紮的鬆緊程度,及時調整,以防足趾缺血壞死。股骨幹骨折
2.動滑車皮膚牽引法(羅索氏Russell牽引法):適用於5歲至12歲兒童。在膝下放軟枕使膝部屈曲,用寬布帶在膕部向上牽引,同時小腿行皮膚牽引,使兩個方向的合力與股骨幹縱軸成一直線,合力的牽引力為牽引重力的二倍。有時亦可將患肢放在托馬氏夾板及Pearson氏連線架上,進行滑動牽引。牽引前可行手法復位,或利用牽引復位。
股骨幹骨折 3.平衡牽引法:用於青少年及成人股骨幹骨折。在脛骨結節處穿針,如有傷口可在股骨髁部穿針(克氏針或斯氏針)。患肢安放在托馬氏夾架上,作平衡牽引,有復位及固定兩種作用。可先手法復位小夾板維持,然後,用維持重量持續牽引(維持重量為體重1/2),或直接用牽引復位(復位重量為體重1/7)復位後改為維持重量。根據骨折移位情況決定肢體位置:上1/3骨折應屈髖40-50°,外展約20°,適當屈曲膝關節;中1/3骨折屈髖屈膝約20°,並按成角情況調整外展角度;下1/3骨折時,膝部屈曲約60-80°,以便腓腸肌鬆弛,糾正遠側骨端向後移位。牽引後24-48小時要進行床邊X線照片,了解骨折對位情況,同時每日多次測量骨端肢體長度,並加以記錄,以資參考。要根據X線照片及測量情況,及時調整肢體位置,牽引重量和夾板。要防止牽引不夠或牽引過度。在牽引時還應注意觀察穿針部位有無感染,以及肢體保溫,並教會病人鍛鍊軀體,上肢、患肢關節和肌肉的方法。使用平衡牽引,病人較舒適,牽引期間能活動髖、膝和踝關節,擦澡和大小便較方法。一般牽引4-6周,經X線照片有骨痂形成後,可改用髖人字石膏固定4-8周。在牽引中可同時套用小夾板固定,糾正成角。去除牽引後也可用小夾板外固定,但要經常複查以防骨折移位或成角。
(二)手術方法
1.手術適應症:近年來由於外科技術提高和醫療器械的改善,手術適應症有所放寬。具體的手術適應症有:
(1)牽引失敗。
(2)軟組織嵌入:骨折端不接觸,或不能維持對位,檢查時無骨擦音。
(3)合併重要神經、血管損傷,需手術探查者,可同時行開放復位內固定。
(4)骨折畸形癒合或不癒合者。
2.常用的手術方法
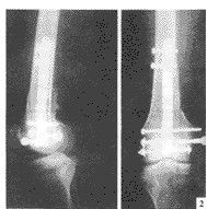
股骨幹骨折(1)股骨上1/3或中上1/3骨折多採用髓內針固定。此法具有術後不用外固定及早期下床活動的優點。過去用開放式打入髓內針的方法,近十年來已被X光電視機(XTV)控制下,僅在穿針處作小切口,不顯露骨折端的閉合穿針方法所代替。閉合法較開放損傷小,出血少,不破壞骨折端的血液供給,有利於骨折癒合。
(2)股骨中1/3或中下1/3骨折,傳統方法是採用6-8孔接骨板螺絲釘固定及髖人字石膏固定。目前多採用加壓鋼板活動。加壓鋼板有多種類型,60年代開始套用加壓器的加壓鋼板固定,其後出現自身加壓鋼板固定沿用至今。有關股骨幹骨折手術及內固定材料選擇,要嚴重掌握適應症,不可濫用。要力求手術成功,防止感染及骨折不癒合的發生。
(三)陳舊骨折畸形癒合或不癒合的治療
開放復位,選用適當的內固定,並應常規植骨以利骨折癒合。
(四)火器傷骨折的治療
應爭取儘快做好初期外科手術,按火器傷處理原則進行,將送到後方醫院進行。
(五)療效評價
1.治癒:骨折對位對線良好,功能恢復或基本恢復。
2.好轉:骨折對位對線良好,復位良好、手術傷口癒合。
3.未愈:骨折對位、對線不理想,或畸形癒合、肢體功能明顯障礙。
(六)專家提示
股骨肌肉豐富、骨折後很易移位。用手法復位、局部外固定、多數失敗。另外股骨幹骨折,易引起出血性休克、危及生命,因此該類骨折應及時到醫院請骨科大夫及時診治。
(七)用藥範圍
1.對症:止痛藥,補充鈣劑及維生素。
2.手術病人,術後用抗生素防感染。一般術後三天。傷口無感染可停藥。部分病人要輸血等。
疾病護理
股骨幹骨折的治療原則是:復位、固定、功能鍛鍊。股骨幹骨折病人除了在最初一些日子裡可能伴有輕微的全身症狀外,其餘時間裡大多沒有全身症狀,所以和一般健康人的日常飲食相仿,在此情況下可以進行適當的功能鍛鍊,並且可以選用多品種、富有各種營養的飲食。股骨幹骨折的癒合分為早、中、晚三個階段。
早期(1-2周):受傷部位瘀血腫脹,經絡不通,氣血阻滯,此期治療以活血化瘀,行氣消散為主。中醫認為,“瘀不去則骨不能生”、“瘀去新骨生”。
中期(2-4周):瘀腫大部分吸收,此期治療以和營止痛、祛瘀生新、接骨續筋為主。後期(5周以上):受傷5周以後,骨折部瘀腫基本吸收,已經開始有骨痂生長,此為股骨幹骨折後期。治療宜補,通過補益肝腎、氣血,以促進更牢固的骨痂生成,以及舒筋活絡,使骨折部的鄰近關節能自由靈活運動,恢復往日的功能。
但是(1)忌少喝水;
(2)忌不消化之物;
(3)忌過食白糖;
(4)忌盲目補充鈣質;
(5)忌多吃肉骨頭;
(6)忌偏食;
(7)骨折禁飲果子露;
(8)忌長期服三七片;
(9)儘量減少房事。按時口服接骨藥物,撤除外固定後要加強功能鍛鍊,一定會恢復如初的手術以後可以去醫院複查三、四次,但是不能常去拍片子(不是說不能拍X光片,要適當、儘量減少拍片的次數),不然對股骨幹骨折的癒合有礙,具體是否已經股骨幹骨折癒合,最終要經過拍片決定,還要結合臨床檢查---股骨幹骨折的臨床癒合標準是:
1、骨折局部無壓痛以及縱向叩擊痛;
2、局部無反常活動;
3、X線片示骨折線模糊,有連續骨痂通過骨折線;
4、外固定解除以後傷肢能滿足以下要求:上肢能向前平舉1KG重量達一分鐘;下肢能在平地不扶拐連續步行3分鐘,並不少於30步;
5、連續觀察兩周骨折處不變形。在養病期間飲食也很重要,但不用太刻意飲食方面的調理,多口服一些含有VitC的食品,因為VitC的缺乏能抑制膠原和骨的形成;VitD缺乏也會影響新骨的鈣化過程;VitA過多,會使破骨細胞的吸收作用過強,使骨幹變細,皮質骨變薄,骨的脆性增加。所以你最好讓患者多使用一些富含這些營養元素的東西!試驗與臨床證實,電流能促進骨折的癒合,但機理不明確!臨床可以使用電刺激治療骨折。

