流行病學
肝腺瘤肝腺瘤占肝臟所有腫瘤的0.6%肝良性腫瘤的10%中國上海第二醫科大學統計其占所有肝臟腫瘤的1.6%,主要見於育齡婦女,發病年齡大多為21~48歲平均為28歲,男女比為1∶7本病可單發亦可多發,肝左右葉均可發生,以右葉多見。
病因
本病發生的真正原因未明現認為其發生與口服避孕藥有著密切的關係:在口服避孕藥尚不普遍的20世紀50~60年代此病罕見;超過90%的肝腺瘤患者發生於年輕女性,且至少有75%的患者有服用避孕藥史超過30歲服用避孕藥的婦女患病的危險性增高;肝腺瘤的發病率與服用避孕藥的時間和劑量有直接關係;患者在停服避孕藥後可見瘤體萎縮;妊娠期可見瘤體增大;絕經後婦女極少有肝腺瘤發生發生於男性的肝腺瘤可能與糖尿病、糖原貯積症及使用雄性激素等有關。
發病機制
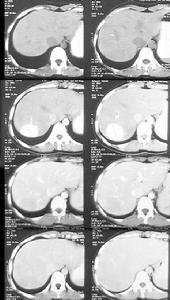
CT掃描1.發病機制 有3種學說:
(1)可能來源於胚胎髮育期的孤立性肝胚胎細胞團,在組織與功能上與正常肝組織幾乎完全隔離,處於孤立狀態,多見於嬰幼兒病例。
(2)Henson等提出本病與繼發性肝硬化或其他損害,如梅毒、感染靜脈充血所致的代償性肝細胞結節增生密切相關
(3)目前多數學者認為長期口服複方炔諾酮及避孕藥可誘發肝細胞腺瘤的發生,臨床對照觀察表明,避孕藥服用時間與用藥劑量在肝細胞腺瘤的發展中有一定作用,避孕藥服用1年以上和5年以上,患病率增加20~100倍,但其引起的確切發病機制還不清楚。
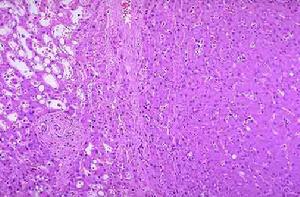
2.病理改變 肝腺瘤病理上分為肝細胞腺瘤膽管細胞腺瘤(包括膽管腺瘤及膽管囊腺瘤)混合腺瘤。肝細胞腺瘤多見於右葉(67%),70%為單個結節,直徑一般大於10cm最大可達20~30cm。偶爾腫瘤可呈多個結節腫瘤邊界清楚常有不完整的纖維包膜切面上腫瘤稍隆起質地與周圍肝組織相近但顏色稍淺,可見出血和梗死。鏡下腫瘤細胞呈索狀排列細胞索由1~2排肝細胞組成這些細胞較正常肝細胞稍肥大但異型性不明顯,核分裂象偶見或缺乏。偶見細胞異型性,這種情況常見於長期使用同化類固醇或口服避孕藥者有時瘤細胞排列成腺管狀管腔見膽栓瘤內常見擴張呈囊狀的血竇當出現大量囊狀血竇時形成肝紫癜症。
膽管腺瘤很少見常為單發,多位於肝包膜下,直徑多小於1cm偶爾可大至2cm少數病例為分布於肝左右葉的多個結節。鏡下腫瘤無包膜但境界清楚腫瘤位於門管區由小膽管樣的腺瘤樣細胞組成。瘤細胞大小一致胞漿豐富,核較深染核分裂象罕見腺管之間為膠原纖維間質內還可見淋巴細胞等炎性細胞浸潤腫瘤可沿門管區延伸但不破壞肝索。
膽管囊腺瘤是發生於肝內的多房性腫瘤,內含澄清液體或黏液多發生於右葉,腫瘤邊界清楚,囊腔內襯單層立方上皮或無纖毛的柱狀上皮胞漿呈細顆粒狀淡染胞核的大小和形狀相當位於細胞中央。
混合腺瘤是肝腺瘤和膽管腺瘤兩者同時存在一體的腺瘤。一般多見於兒童發展較快。
臨床表現
瘤細胞臨床表現隨腫瘤大小、部位及有無併發症而不同。5%~10%無任何症狀,系查體或手術時偶然發現。約1/3的肝腺瘤病人有腹塊及近期發生的右上腹疼痛性質可為隱痛,並有噁心納差等不適;但當腫瘤發生破裂出血時,病人可出現突發的右上腹劇痛,查體可發現腹肌緊張局部壓痛反跳痛,嚴重者病人可有失血性休克的表現;黃疸及發熱偶見應引起臨床工作者注意的是HCA不僅有破裂出血的傾向而且還有惡變為肝細胞肝癌的潛能。早期可無任何症狀,待腫瘤長大到一定程度時,才會出現下列臨床徵象:
1.腹塊型 此型較多見,患者除發現上腹包塊外,常無任何症狀體檢時可捫及腫瘤,其表面光滑、質硬、多無壓痛腫塊隨呼吸上下移動。如為囊腺瘤觸診時可有囊性感。當腫塊逐漸增大而壓迫鄰近臟器時,可出現上腹部飽脹不適噁心、上腹隱痛等症狀,超聲或肝CT檢查,可發現肝臟占位性病變,邊界較清楚多有包膜。
2.急腹症型 腺瘤由單獨動脈供血動脈一般沒有結締組織支持,瘤內出血經常出現,有時會導致包膜破裂在一項研究中表明50%的病人經歷過腺瘤內急性出血病死率為6%,大的病灶與小的病灶相比出血危險性更高。瘤內出血時患者可有突發性右上腹痛,伴有噁心嘔吐、發熱等,體檢時可有右上腹肌緊張壓痛及反跳痛,往往誤診為急性膽囊炎而行手術,術中才發現肝腺瘤腫瘤破裂引起腹腔內出血,患者可出現右上腹劇痛,腹部有壓痛和反跳痛等腹膜刺激症狀,嚴重者可因出血過多造成休克。
併發症:
腹腔內出血是最為嚴重的併發症須急診處理。
1.腫瘤發生破裂出血時,病人可出現突發的右上腹劇痛嚴重者病人可有失血性休克。
2.HCA有惡變為肝細胞肝癌的潛能。
診斷
本病術前診斷較難,誤診率高,國內報導50例其誤診率達85.7%。對於右上腹出現腫塊緩慢增大平時無症狀,或僅輕微隱痛、上腹脹痛、噁心等,全身情況較好體檢時發現腫塊大小不等的結節,其表面光滑質硬、無壓痛隨呼吸上下活動應考慮本病的可能對右上腹有長期腫塊的患者,突然發生右上腹劇痛或有腹內出血徵象時應考慮腺瘤破裂的可能。若出現上述表現的為已婚女患者且有長期口服避孕藥史則對本病的診斷有參考價值。
鑑別診斷:
1.肝癌 本病應與原發性和繼發性肝癌相鑑別一般根據病史病程、病情進展AFP及B超動態觀察有助於鑑別肝腺瘤主要應與原發性肝癌相鑑別,因肝腺瘤易誤診為肝癌特別是低度惡性的肝癌,肉眼亦很難區別需病理多處切片反覆仔細鏡檢原發性肝癌多有慢性B型肝炎、肝硬化的病史,有肝功能異常和AFP升高。如有口服避孕藥病史應懷疑本病。
2.局灶性結節性增生 局灶性結節性增生,彩色都卜勒示血流增強可顯示從中心動脈放射向周圍的血管。病理肉眼可見中心星狀瘢痕。
檢查
實驗室檢查:
化驗檢查肝功能多正常或表現為輕度GGT或ALP升高AFP陰性,如果AFP升高多提示肝腺瘤惡變。
其它輔助檢查:
1.B超檢查 顯示病灶邊界清楚,回聲依周圍肝組織不同而不同。為低回聲腫塊,如果內有出血和壞死則呈混合回聲邊界清楚,無聲暈。
2.CT平掃 腫瘤呈低密度區,增強後可顯示不同密度增強CT示腺瘤一般為等密度或輕度低密度因腺瘤富含血管在造影的動脈期獲得CT影像更容易發現腺瘤。伴有糖原累積病或其他致脂肪浸潤的病人,腫瘤可以表現為高密度。中心壞死鈣化偶爾也很明顯。腫瘤內出血在非增強CT檢查上表現為高密度靜脈造影后腫瘤增強多不均一
3.肝動脈血管造影很敏感腫瘤表現為血運豐富並且呈向心性供血也可見中央為低血運區,這表明有腫瘤內出血。肝穿刺活組織檢查因可致出血應避免。
4.MRI上腺瘤在T1像上有均一增強的信號和邊界清楚的低密度包膜這種影像表現也可見於局灶性結節性增生及肝細胞癌。這種病灶也可在T1像上表現比正常實質密度低,這種情況下很難與肝轉移癌區分。如亞急性出血發生,在T1T2像上為增強的局灶區域。以上檢查缺少腺瘤的特異性徵象,故輔助檢查結果尚需與臨床相結合才能作出正確的診斷。
治療
治療用藥凡經檢查發現肝內有占位性病變擬診為肝腺瘤者,不論其有無症狀,均應爭取儘早手術治療由於在口服避孕藥的女性中,也有肝細胞肝癌的發生,所以不排除肝細胞腺瘤有惡變的可能對肝細胞腺瘤病人僅僅停用避孕藥有一定的風險加上腫瘤還有破裂的危險,因此一旦確診應行手術切除,不能手術者則應避免妊娠。腫瘤破裂時必須急診手術,可先夾閉肝動脈以止血,若腫瘤因位於肝門或鄰近較大血管及膽管而不能切除時,應結紮或栓塞肝固有動脈或一側肝動脈。本病對放療和化療均不敏感放療和化療無治療價值。手術方法可有以下幾種:
1.肝葉切除術 腫瘤侵犯肝的一葉或半肝,可作局部、肝葉或半肝切除由於多數腫瘤有包膜,故可沿包膜切除腫瘤療效滿意
對多發性肝腺瘤可將大的主瘤切除餘下的小瘤可逐一挖除近期療效亦滿意。
2.囊內剜除術 腺瘤位於第一、二肝門或緊鄰大血管不能將腫瘤完整切除時,可作腫瘤囊內剜除術手術較為簡單、安全出血少近期療效滿意。但本病與低度惡性肝癌肉眼難以區別一般應爭取作完整切除為宜。
3.肝動脈結紮或栓塞術 腫瘤位於第一二肝門,位置深在或緊鄰大血管或膽管無法行局部切除,或腺瘤與鄰近臟器有緊密粘連不易分開時可結紮患側肝左或右動脈,亦可在肝動脈結紮的同時用吸收性明膠海綿等行肝動脈栓塞。這樣對控制腺瘤生長或防止腺瘤破裂,可能起到一定的作用。
預後預防
預後:
肝腺瘤手術切除後,一般預後良好但少數報導有腺瘤惡性變和術後復發者。Henson等報導5例肝腺瘤中有2例術後復發其中1例17年內作了3次肝切除術。Glemon等報導1例腺瘤囊內剜除5年後復發第2次手術切除標本的病理報告為肝腺瘤惡性變肝腺癌故為預防術後復發,應爭取徹底切除,包括切除部分正常的肝組織。有服避孕藥史者,應立即停藥。有報導停服避孕藥後腫瘤明顯縮小Anderson報導1例停藥18個月後,複查肝腺瘤縮小50%有報導肝腺瘤行右肝切除術後懷孕致腺瘤復發且發生腺瘤出血者。
預防:
現認為HCA女性與口服避孕藥有著密切的關係;男性則與糖尿病糖原貯積症及使用雄性激素等有關因此,針對明確的病因進行預防是目前本病預防的關鍵。
對青壯年育齡婦女,經常口服避孕藥者應定期檢查肝臟動態觀察肝臟形態變化一旦發現肝占位病變首先停服避孕藥密切觀察腫瘤的變化,若腫瘤繼續增大仍應爭取手術治療。
