概述
肝細胞瘤病因病理
肝細胞腺瘤多見於成年女性。本病與生育期婦女口服避孕藥有密切關係。
腫瘤一般為單發,多為圓形,被覆被膜,大小不一,鏡下觀察腫瘤細胞比正常肝細胞體積稍大,可有空泡形成。間質為纖維的毛細血管及結締組織。
肝腺瘤多位於肝右葉,常為孤立結節,也可多發。大多有包膜,少數包膜不完整。與周圍肝組織界限清楚,質軟,表面血管豐富。病灶大小不等,小者直徑l~2cm,大者可達20cm。切面呈棕黃色,如被膽汁著色則呈綠色。偶有帶蒂
光鏡下瘤細胞呈索狀排列,由分化良好的肝細胞組成,細胞較正常肝細胞大,細胞內有糖原及脂肪沉積,核漿比例正常,很少有分裂象及異形。電鏡檢查可見瘤細胞線粒體減少,高爾基體變小,內質網發育不全。
類型
可分為以下幾種:
1、混合型腺瘤。由肝細胞和膽管細胞構成。肝腺瘤可為單發性或多發性,而膽管囊腺瘤可發生惡性變。
2、膽管腺瘤和膽管囊腺瘤。來自膽管上皮。
3、肝細胞腺瘤(肝腺瘤)。來自肝細胞。
診斷要點
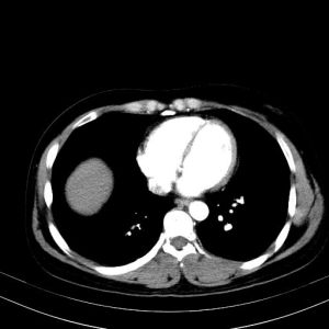
肝細胞腺瘤 實驗室檢查肝功能、AFP多正常。B超檢查病灶多呈低回聲區或等回聲區,少數呈高回聲區。CT平掃病灶一般呈圓形或橢圓形低密度影,邊界清楚,少數可呈等密度。增強後血供豐富的肝腺瘤在動脈期可有明顯的強化,延遲掃描可見腫瘤強化迅速消退,至門靜脈期腫瘤多呈等密度或低密度影。當有瘤體內出血時,可見高密度的出血區。MRIT1加權病灶呈等信號或略低信號,T2加權圖像上腫瘤多呈略高信號區。
由於肝腺瘤缺乏特徵性影像學表現,常與原發性肝癌相混淆。對於長期口服避孕藥物的育齡期婦女,發現肝臟腫塊,結合實驗室和影像學檢查,應考慮到本病的可能。值得注意的是,由於肝腺瘤存在明顯破裂出血的傾向,在診斷不明、藉助細針肝穿刺細胞學檢查時極易造成肝腺瘤的破裂出血,尤其對位於肝表面的肝腺瘤應慎用肝穿刺活檢。
臨床表現
腫瘤小時無任何症狀,腫瘤大時,出現腹部腫塊、腹脹及鈍痛。合併出血則可產生出血性休克。
肝腺瘤多發生於20~39歲口服避孕藥物的育齡期婦女,早期可無任何臨床症狀,常在體檢或剖腹手術中被發現。隨著病程的推移,腫瘤逐漸增大,部分患者可發現上腹部腫塊,腫塊表面光滑,質硬,多無壓痛。腫瘤增大至一定程度可產生上腹脹悶、進食飽脹、噁心等壓迫症狀,部分可發生瘤內出血,表現為右上腹疼痛,伴發熱,右上腹壓痛、腹肌緊張,易被誤診為急性膽囊炎。約1/3的肝腺瘤可發生自發性破裂引起腹腔內大出血,嚴重者可致出血性休克而危及生命。
影像學表現
肝細胞腺瘤 CT平掃1.超聲表現:
顯示邊界清楚的回聲增強區,內部回聲分布不均,其內可見更強的回聲斑點。
2.CT表現:
(1)平掃:肝內低密度或等密度占位性病變,出血、鈣化可為不規則高密度,邊緣光滑,周圍可見“透明環”影,常為特徵性表現。病理基礎一般為是由瘤周被擠壓的肝細胞內脂肪空泡增加而致。
(2)增強:早期可見均勻性增強,之後,密度下降與正常肝組織呈等密度。晚期呈低密度。其瘤周之透明環無增強表現。
(3)腫瘤惡變可呈大的分葉狀腫塊或大的環死區,偶爾可見鈣化。
鑑別診斷
需與肝細胞癌鑑別。肝細胞腺瘤增強較為均勻,無結節中結節徵象,也無被膜之環形增強徵象 。
HCA的臨床表現和影像學結果特異性不強,致使絕大多數HCA誤診,文獻報導誤診率可高達90%。本組2例術前診斷HCA,1例術前診斷為肝臟血管平滑肌脂肪瘤,1例術前診斷為肝局灶性結節增生,1例術前診斷為腹膜後神經纖維瘤,其餘3例術前性質待定懷疑原發性肝癌。HCA主要需與原發性肝癌、肝局灶性結節增生等鑑別。原發性肝癌患者多有慢性B肝病史,B肝表面抗原多陽性;60%~70%患者AFP陽性;影像學上腫瘤增強後動脈期多表現不均勻強化,而大的腺瘤病灶除出血區外強化均勻。肝局灶性結節增生患者也多無B肝病史,血供豐富,其強化方式和腺瘤相似,但典型的局灶性結節增生多見中央瘢痕。由於本病臨床表現缺乏特異性,發病年齡差異較大,多種輔助檢查又不能確診,而確診必須依靠病理學檢查。HCA的病理學特點為多見於肝右葉單個結節,界限清楚,多有完整的纖維包膜,血管豐富,瘤內易出血,切面可呈分葉狀。鏡下見瘤細胞呈索狀排列,見不到匯管區及中央靜脈,腺瘤細胞無核分裂相及細胞異型性。B超和CT引導下穿刺活檢,有定性診斷的價值,適合於體積較大且鄰近體表的病灶,但因受術者經驗和腹腔出血危險性的限制,不能廣泛開展。總之,HCA診斷不能偏信於某一項檢查結果,要進行綜合的分析判斷,術前詳細的綜合檢查對確診尤為重要。
輔助檢查
常規實驗室檢查對HCA的診斷無幫助,通常HCA患者的血細胞、肝功能在正常範圍內,HBsAg多陰性,AFP檢測絕大多數病例正常。影像學超聲檢查可見病灶邊界清晰,瘤內回聲不均,周邊有聲暈。HCA的CT典型表現是平掃為等密度或略低密度,增強掃描動脈期均明顯強化,門脈期呈略高或等密度影,延遲期為等密度。有時腺瘤表現不規則密度影可能與瘤內出血壞死有關。
治療
儘管有文獻報導停用避孕藥物後肝腺瘤有明顯縮小,甚或消失的病例,但由於存在破裂出血的危險,個別病例尚有惡變的可能,因此,手術切除仍是首選的治療方法。根據腫瘤的大小、數量和位置,施行相應肝葉、肝段或局部切除。如腫瘤貼近第一、第二肝門,或與大血管、膽管部近,手術切除困難時,也可行一側肝動脈或肝固有動脈結紮,以減少腫瘤的血供,限制腫瘤的進一步增大,並預防破裂出血。

