病理
該病具有特徵性膽管上皮增生和囊性擴張,上皮增生無異形性,在增生膽管可見厚壁血管、神經和淋巴濾泡等以及炎細胞浸潤和纖維組織細胞增生反應。病理學根據有無肝內纖維化和門脈高壓將Caroli's病分為I型、II型。病理學根據有無肝內纖維化和門脈高壓將Caroli's病分為I型、II型。病理學根據有無肝內纖維化和門脈高壓將Caroli's病分為I型、II型。I型表現為單純性肝內膽管擴張伴有膽囊炎、膽石症,少數可有膽總管囊腫,無合併肝硬化及門脈高壓,病理上病變多為局限性,以肝內膽管擴張、纖維增生和大量纖維組織細胞反應為特徵,並圍繞膽管周圍,膽管周圍的炎症細胞浸潤明顯,部分上皮呈乳頭狀生長,可發生上皮的不典型增生或癌變,故Caroli's病本身為一種癌前病變,癌變率約為7%。II型為合併肝纖維化型,除肝內膽管擴張外,還存在肝纖維化和門脈高壓,無肝內近端大膽管擴張及膽管結石或膽管炎病變,重症可發展至肝硬化。病理上以肝內末端小膽管擴張為其特徵。可見膽管擴張性變化或肝內纖維化伴末端小膽管增生,但肝實質細胞是正常的。
臨床表現
該病可發生於任何年齡,其中兒童及青少年多發,男性多於女性。比例約為2:1。臨床表現多種多樣,無特異性,典型者可表現有腹痛、黃疸和腹部腫塊三聯征。常因膽汁淤滯而導致反覆發作的持續性膽管炎,繼發感染者有發熱。病變壓迫十二指腸可引起食欲不振、噁心、嘔吐等消化道症狀。兒童可有膽汁樣便,偶可致肝膿腫,嚴重者可發生敗血症,常伴發多囊腎。 Ⅰ型與Ⅱ型Caroli’s病在臨床表現上有所差異。Ⅰ型:主要以膽道系統病變的臨床表現為主,可表現為右上腹反覆發作性疼痛,進行性加重,常與膽囊炎、膽結石難以鑑別,故易漏診、誤診。Ⅱ型:除膽道系統的表現外,尚伴有肝纖維化和門靜脈高壓的表現,如上消化道出血、脾腫大等。此型多於膽管炎或梗阻性黃疸出現前即有肝硬化,亦稱為Caroli綜合徵。
診斷
該病在臨床表現上缺乏特異性,故診斷主要依靠影像學資料作出。 B超檢查是常規的診斷方法之一,可見肝內多發性囊腫群,常呈簇狀分布,若發現囊腫內合併結石,可提高診斷率,但B超檢查存在一定的局限性,對於囊腫內未並髮結石者及其他類型的肝內囊性病變往往難以鑑別。 CT檢查優於超聲,可明確顯示病變部位及性質,如條狀或小分枝狀的低密度影,以肝右葉為主,肝門區及中心膽管區無擴張,囊腫與擴張的管狀結構相連通,中心點征常可以提供準確的診斷依據,同時可以顯示肝臟、門脈、脾臟及雙腎病變情況。 MRCP檢查優點為:1、無創,避免了細菌傳播的風險。2、能很好的顯示膽道與囊腫的關係,對於判斷病變範圍,明確肝實質、血管、膽管的改變具有重要意義。
治療
手術治療目前是Caroli’s病的主要治療方法,術式選擇依據病人病情而定,原位肝移植可取得較好預後。手術治療的適應證為;①有明顯臨床症狀。②囊腫群限於一葉或段,能以手術徹底切除。③合併有感染,肝內、外膽管結石。④合併膽總管囊狀擴張。⑤疑有惡性變而尚可手術切者。 傳統的非手術治療主要以保肝為主,輔以對症治療。非手術治療主要適用於:①無明顯臨床症狀者。②無嚴重併發症者。③無可疑惡變者。④肝纖維化晚期及肝功能不全者。⑤癌變晚期。此外,多發性病變不易手術切除者可僅作姑息性治療及相應對症處理而不手術。
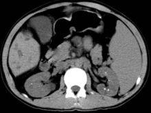
影像診斷
Caroli病 CT腹部平片肝內多個散在大小不等囊狀低密度影,CT值近似水,病灶與膽管相通,中央見稍高密度點狀影,以肝右葉病灶明顯,近端膽管及肝外膽管無擴張。肝裂增寬;脾臟明顯腫大,下極位於第1骶椎平面;門脈、脾血管明顯迂曲、擴張。雙側腎臟實質內見多發模糊低密度影,腎盂及腎盞內見多枚大小不等點狀高密度影。增強掃描,肝內囊狀病灶無明顯強化,其內點狀稍高密度影強化程度高於正常肝實質;雙側腎臟實質內低密度影無強化,境界顯示較平掃清晰。門脈及脾血管強化明顯。後腹膜區未見腫大淋巴結,腹腔無積液以肝內多個散在大小不等囊狀低密度影,CT值近似水,病灶與膽管相通,中央見稍高密度點狀影,以肝右葉病灶明顯,近端膽管及肝外膽管無擴張。肝裂增寬;脾臟明顯腫大,下極位於第1骶椎平面;門脈、脾血管明顯迂曲、擴張。雙側腎臟實質內見多發模糊低密度影,腎盂及腎盞內見多枚大小不等點狀高密度影。增強掃描,肝內囊狀病灶無明顯強化,其內點狀稍高密度影強化程度高於正常肝實質;雙側腎臟實質內低密度影無強化,境界顯示較平掃清晰。門脈及脾血管強化明顯。後腹膜區未見腫大淋巴結,腹腔無積液(以上內容為貴陽醫學院肝膽外科10級研究生王政 歸納整理)。
