概述
絲狀真菌黴菌並不是一個生物分類學的名稱,而是絲狀真菌的通稱,意即“發霉的真菌”。
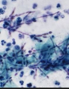
絲狀真菌的菌絲呈長管、分枝狀,寬度2~10微米,可不斷自前端生長並分枝,無橫隔壁,具多個細胞核,並往往能形成分枝繁茂的菌絲體,但又不象蘑菇那樣產生大型的子實體。在潮濕溫暖的地方,很多物品上長出一些肉眼可見的絨毛狀、絮狀或蛛網狀的菌落,那就是絲狀真菌。絲狀真菌常用孢子的顏色來稱呼,如黑黴菌、紅黴菌或青黴菌。
菌落特徵
A、形態較大,質地疏鬆,外觀乾燥,不透明,呈現或松或緊的形狀。
B、菌落和培養基間的連線緊密,不易挑取,菌落正面與反面的顏色、構造,以及邊緣與中心的顏色、構造常不一致。
C、菌絲有營養菌絲和氣生菌絲的分化,而氣生菌絲沒有毛細管水,故它們的菌落必然與細菌或酵母菌的不同,較接近放線菌。
菌絲
絲狀真菌構成絲狀真菌營養體的基本單位是菌絲。菌絲是一種管狀的細絲,把它放在顯微鏡下觀察,很像一根透明膠管,它的直徑一般為2~10微米,比細菌和放線菌的細胞約粗幾倍到幾十倍。菌絲可伸長並產生分枝,許多分枝的菌絲相互交織在一起,就叫菌絲體。
類型
根據菌絲中是否存在隔膜,可把菌絲分成兩種類型:
無隔膜菌絲:菌絲中無隔膜,整團菌絲體就是一個單細胞,其中含有多個細胞核。這是低等真菌(即鞭毛菌亞門和接合菌亞門中的黴菌)所具有的菌絲類型。
有隔膜菌絲:菌絲中有隔膜,被隔膜隔開的一段菌絲就是一個細胞,菌絲體由很多個細胞組成,每個細胞內有1個或多個細胞核。在隔膜上有1至多個小孔,使細胞之間的細胞質和營養物質可以相互溝通。這是高等真菌(即子囊菌亞門和半知菌亞門中的黴菌)所具有的菌絲類型。
菌絲變態
絲狀真菌為適應不同的環境條件和更有效地攝取營養滿足生長發育的需要,許多絲狀真菌的菌絲可以分化成一些特殊的形態和組織,這種特化的形態稱為菌絲變態。
吸器:由專性寄生黴菌如鏽菌、霜黴菌和白粉菌等產生的菌絲變態,它們是從菌絲上產生出來的旁枝,侵入細胞內分化成根狀、指狀、球狀和佛手狀等,用以吸收寄主細胞內的養料。
假根:根霉屬黴菌的菌絲與營養基質接觸處分化出的根狀結構,有固著和吸收養料的功能。
菌網和菌環:某些捕食性黴菌的菌絲變態成環狀或網狀,用於捕捉其它小生物如線蟲、草履蟲等。
菌核:大量菌絲集聚成的緊密組織,是一種休眠體,可抵抗不良的環境條件。其外層組織堅硬,顏色較深;內層疏鬆,大多呈白色。如藥用的茯苓、麥角都是菌核。
子實體:是由大量氣生菌絲體特化而成,子實體是指在裡面或上面可產生孢子的、有一定形狀的任何構造。例如有三類能產有性孢子的結構複雜的子實體,分別稱為閉囊殼、子囊殼和子囊盤。
繁殖
絲狀真菌絲狀真菌有著極強的繁殖能力,而且繁殖方式也多種多樣。雖然其菌絲體上任一片段在適宜條件下都能發展成新個體,但在自然界中,絲狀真菌主要依靠產生形形色色的無性或有性孢子進行繁殖。孢子有點像植物的種子,不過數量特別多,特別小。絲狀真菌的繁殖包括有性生殖和無性生殖。
無性生殖:匍匐菌絲向上分枝為直立菌絲,頂端的孢子囊可產生孢子,孢子落在有機物上,便可萌發菌絲。
有性生殖:正、負交配型的匍匐菌絲互相靠近,彼此各長出短側枝,經接合成為合子。合子成熟萌發時,經減數分裂產生孢子囊,孢子囊破裂釋出孢子,再萌發為菌絲。
套用
一些絲狀真菌也被刻意培殖來用於食物的生產,例如:藍起司是發酵後再加入青黴菌所製成的;醬油、豆瓣、豆豉和味噌等需要米曲菌發酵;紅糟、豆腐乳和紅露酒等則是由紅曲菌所發酵製造;發酵臭豆腐的臭鹵水也含有多種菌種。
危害
發霉的食物絲狀真菌毒素對人和畜禽主要毒性表現在神經和內分泌紊亂、免疫抑制、致癌致畸、肝腎損傷、繁殖障礙等。雞天生對絲狀真菌毒素敏感,飼料中較低的毒素含量就會造成雞群大量死亡。
2012年8月8日,中國疾控中心、上海市疾控中心等機構對上海、北京、深圳進行實地家用空調入戶調研發現:84%的空調散熱片黴菌總數超標;空調散熱片中檢出細菌超標最高可達1000倍以上。空調等散熱片的黴菌隨出風口噴出後,會隨呼吸道進入人體,容易導致頭暈乏力,甚至患上感冒、鼻炎、哮喘等呼吸道疾病。
預防
絲狀真菌在生活中無處不在,其較青睞於溫暖潮濕的環境,一有合適的環境就會大量繁殖,必須採取措施來阻止黴菌的繁殖或切斷其傳播途徑,來擺脫黴菌感染。
1.注意身體部位絲狀真菌的滋生,比如指甲等。
2.不要濫用抗生素,大量吃抗生素可能會將有益人體健康的菌群抑制住,破壞人體的天然防禦屏障,造成絲狀真菌的大量繁殖。
3.警惕洗衣機中隱藏絲狀真菌,洗衣機用的久了肯定會滋生黴菌,最簡單的方法就是用60度左右的水徹底清洗。
4.公共場所最好不用公用的或者別人用過的洗具。
5.控制血糖,女性糖尿病人陰道糖原含量和酸度偏高,易於被黴菌侵害。
相關事件
2012年10月9日,湖南省工商局進行食品抽檢,抽檢整體合格率83.8%。在5組不合格樣品名單中,湖南知名品牌人人家和桂林智仁麥片榜上有名,不合格指標為黴菌、大腸桿菌和菌落總數。湖南人人家食品公司稱不合格原因為“天氣太潮”。抽檢後,所有不合格的同批次產品均下架召回,進行了銷毀。
防治對策
1加強飼料生產的管理首先要嚴把原料採購關,杜絕霉變原料入庫;控制倉庫的溫度濕度,注意通風,做好對倉庫邊角清理工作,防止原料在儲存過程中變質;控制飼料加工、配製、運輸等環節,控制飼料的儲存環境,儘量縮短儲存時間,防止飼料在禽舍中發霉變質。
2合理使用飼料防霉劑
飼料防霉劑,要具備抑制黴菌生長,但又對動物無毒的特點。因此,作為飼料防霉劑,必須符合以下三個原則:一是具有較強的廣譜抑菌效果;二是pH值低,在低水分的飼料中能釋放出來;三是操作方便,使用安全、經濟、無致癌、致畸、致突變作用,有效添加量不影響動物健康及飼料的適口性。常用的防霉劑主要有以下三大類:第一類為有機酸,如丙酸、山梨酸、苯甲酸、乙酸、脫氫醋酸和富馬酸等;第二類為有機酸鹽及其酯,如丙酸鹽、山梨酸鈉(鉀)、苯甲酸鈉和富馬酸二甲酯等;第三類為複合防霉劑。有機酸防霉效果較好、但腐蝕性較大;有機酸鹽防霉效果較有機酸差,且必須在有一定的水分和pH值的條件下才能進行,但腐蝕性小;複合防霉劑防霉效果作用強、腐蝕性小。
3中毒蛋雞的治療
更換飼料無疑是最有效解決黴菌中毒的方法,在提供無污染的飼料後再使用一定量的黴毒清或制黴菌素,大多數黴菌毒素中毒的家禽很快會恢復健康。此外,補充維生素,例如維生素E和維生素C可以部分抑制T-2毒素和赭曲毒素對蛋雞的毒害;N-乙醯半胱氨酸和硫胺能降低黃麴黴毒素的毒性,其機理是增加了谷光苷肽的合成。
![絲狀真菌[黴菌] 絲狀真菌[黴菌]](/img/7/c31/nBnauM3XzIzM2MzNwIDN4UDO5MTMwUDO4ETNyQTNwAzMwIzLyQzL0gzLt92YucmbvRWdo5Cd0FmLzE2LvoDc0RHa.jpg)
