細胞學檢查
cytological examination
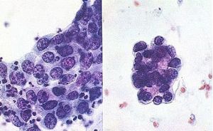
由於惡性腫瘤細胞比正常細胞容易從原位脫落,故可用各種方法取得瘤細胞或組織顆粒,鑑定其性質。例如:用濃集法收集痰、腹水、腦水或沖洗液等的細胞;用拉網法收集食管和胃的脫落細胞;用印片法取得表淺的瘤體表面細胞,還可用穿刺法取得比較深在的瘤細胞。

細胞學檢查是取材方便,已廣泛套用,其方法有:①體液自然脫落細胞:腫瘤細胞易於脫落,因而可取胸水、腹水、尿液沉渣、痰液和陰道分泌物塗片找腫瘤細胞。②黏膜細胞:通過食管拉網、胃黏膜洗脫液、宮頸刮片及內鏡下腫瘤表面刷脫細胞。③細針穿刺或超聲導向穿刺塗片,例如乳腺腫物穿刺和肝腫物經皮穿刺後的細胞學檢查。
細胞學檢查
cytological examination
由於惡性腫瘤細胞比正常細胞容易從原位脫落,故可用各種方法取得瘤細胞或組織顆粒,鑑定其性質。例如:用濃集法收集痰、腹水、腦水或沖洗液等的細胞;用拉網法收集食管和胃的脫落細胞;用印片法取得表淺的瘤體表面細胞,還可用穿刺法取得比較深在的瘤細胞。
