簡介
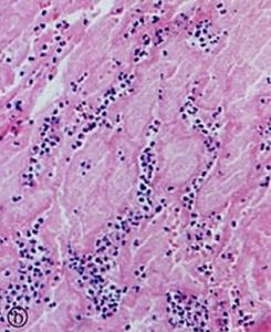
紅色血栓無論心臟或血管內的血栓,其形成過程都是以血小板粘附於內膜裸露的膠原開始,所以血小板粘集堆的形成是血栓形成的第一步,嗣後血栓形成的過程及血栓的組成、形態、大小都取決於血栓發生的部位和局部血流速度。
紅色血栓主要見於靜脈,隨著混合血栓逐漸增大阻塞血管腔,使血流下游局部血流停止致血液凝固,常構成延續性血栓的尾部。紅色血栓形成過程與血管外凝血過程相同。肉眼上呈暗紅色、濕潤、有彈性、與血管壁無粘連,與死後血凝塊相似。經過一段時間,紅色血栓由於水分被吸收,變得乾燥、無彈性、質脆易碎,可脫落形成栓塞。
主要成分
紅色血栓的主要成分為:主要為血液的有形成分在血管內皮暴露纖維蛋白原後引發的凝血而形成,所見到的是纖維素網路大量的紅細胞,見於血栓的尾部。

