疾病簡介
精神障礙
器質性精神障礙作為臨床概念,精神障礙一詞含義廣泛,界限模糊。較輕者如人格障礙及神經症同正常心理通常只有量的差別,而某些不符合現行社會規範的行為如同性戀、反抗社會規範的人格障礙以及藥物依賴是否應視為精神障礙,一直存在爭議。
但由司法角度來看,精神障礙的定義關係到病人強迫收檢問題以及判定涉法當事人是否具有責任能力和行為能力,因此非常重要。在一般司法條文中,精神障礙的定義較嚴格,一般只重視那些思維或情感有嚴重障礙而對其行為性質、意義及其後果失去認識和判斷能力,對行為表現失去控制能力的情況。
精神障礙不同於一般內科疾病,診斷主要依靠症候群及病程的識別。幾類最常見的精神障礙並無器質性病理基礎,也未找到特異性病因。所謂器質性精神障礙雖有器質基礎,但它實為相應器質性疾病的症狀的一部分,並非獨立實體。因而習用障礙一詞來概括。
精神障礙可自幼年便持續存在,如精神發育遲滯;也可自青春期表現明顯且持續存在,如人格障礙。但大多數障礙卻是發生在原來心理表現正常的人群中,誘因可明顯或不明顯,但都有明確的發病階段。這後者又稱精神病患,以別於前者。
一般精神障礙雖無明確器質性病理基礎,但卻可用病理心理特徵來解釋。精神症狀實為各種心理過程發生障礙的外在表現。所以精神障礙的內容包括:心理過程障礙,如感知覺障礙,屬於症狀水平;典型綜合徵,如焦慮狀態及精神分裂症;以及某些嚴格講來不屬於上屬二者,但卻因存在某種聯繫而習慣合併在此討論的臨床情況,如依賴行為等。
疾病病因
可概括為:
1、器質性因素,包括後天的各種軀體病和先天的腦發育障礙,此時,精神障礙是軀體病的一部分。
2、社會心理因素,如神經症和反應性精神病。
3、病因尚未查明,如精神分裂症和情感性精神病。但後天的環境因素如家庭失和,不合理的教養及生活中的惡劣處境,對於許多類別的人格障礙者具有形成的作用。
病理現象
正常大腦結構精神活動異常是各類精神障礙重要標誌之一。精神障礙累及個體的基本心理過程,表現出繁多的精神病理現象。精神障礙時常表現在認知、情感和意志活動等幾個環節之中,有時也會涉及到注意、記憶和智慧型。識別和掌握精神病理特徵目前仍然是研討各類精神障礙的診治規律的重要方法。精神症狀也可按精神活動的過程來分類。
認識過程的障礙
1、感覺障礙。如感覺過敏、感覺減退、感覺倒錯、內感性不適等。
2、知覺障礙。如幻覺(客觀現實中不存在刺激物時產生的各有關感官的知覺映象,主要見於重精神病)、錯覺(歪曲的知覺)。
3、思維障礙。思維活動數量和速度方面的障礙,如思維遲緩、思維鬆散、思維破裂、思維雲集、思維不連貫等。思維邏輯障礙如獨特性聯想、象徵性思維、自創新語、邏輯倒錯性思維、病理性詭辯症等。思想內容異常,如妄想,即產生錯誤的而不能經現實糾正的牢固信念。
4、注意障礙。如注意增強(注意可指向外在事物或自己的某些生理狀態)、注意減弱、注意緩慢、注意渙散、注意狹窄、注意固定、注意轉移等。
5、記憶障礙。如記憶增強、記憶減退、遺忘症、錯構症、虛構症、似曾相識症、舊事如新症等。
6、智慧型障礙。智慧型全面減退稱為痴呆。
7、自知力障礙。自知力指對本身精神病態的認識能力,精神病患者一般有自知力缺陷。
8、定向障礙。如時間定向障礙、空間定向障礙。
情感過程障礙
如情感淡漠、情感遲鈍、情感高漲、抑鬱、情感爆發、情感倒錯、矛盾情感等等。
意志過程障礙
如意志減退、意志喪失、意志增強等。
運動和行為障礙
包括精神運動性興奮(如躁狂性興奮、緊張性興奮)和精神運動性抑制如木僵、蠟樣屈曲、緘默症、違拗症、刻板動作、刻板言語、作態等。也可見各種本能行為的障礙,如飲食障礙、睡眠障礙、性本能障礙等。
意識障礙
包括譫妄狀態、昏睡狀態、意識模糊(如朦朧狀態、夢樣狀態、酪酊狀態)、漫遊性自動症和自我意識障礙(如雙重人格、人格分離、人格解體、被泄露感)。
主要分類
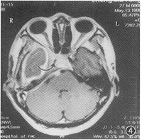
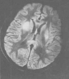
腦梗塞器質性精神障礙是一組由腦部疾病或軀體疾病導致的精神障礙。由腦部疾病導致的精神障礙,包括腦變性疾病、腦血管病、顱內感染、腦外傷、腦瘤等所致精神障礙。軀體疾病導致的精神障礙只是原發軀體疾病症狀的組成部分,也可與感染、中毒性精神障礙統稱為症狀性精神障礙。一般常見類型有:
1、癲癇伴發的精神障礙。癲癇患者所伴發的精神障礙可發生在癲癇發作前,發作時和發作後,亦可在發作間歇期內呈現持續性的精神障礙。有的學者還按精神障礙發作的特點分為:
① 體驗性精神性發作;
② 發作性精神障礙;
③ 慢性精神障礙第三類。
2、多發腦梗塞性精神障礙。由於腦動脈硬化影響大腦血液供應,特別是反覆發作的腦血管意外所致的痴呆綜合徵。腦外部動脈(頸動脈或錐基底動脈)硬化斑的微栓子或缺血引起大腦白質中心散在性多數小梗塞灶所致,因而稱為多發梗塞性痴呆。本病多在中老年起病,據上海的資料,約占住院的精神病人的1%左右,男性略多於女性。病程多呈階梯式發展,常可伴有局限性神經系統體徵。
3、甲狀腺功能減退伴發的精神障礙。甲狀腺功能減退是由於甲狀腺素不足或缺乏引起的全身性疾病,精神障礙是甲狀腺功能減退的常見徵象,隨發病的年齡不同,臨床上一般分為三種類型:克汀病(呆小病)、幼年粘液水腫、成人甲狀腺功能減退症。
4、甲狀腺功能亢進伴發的精神障礙。甲狀腺功能亢進疾病是甲狀腺素分泌過多導致的軀體症狀和神經精神障礙。本病患者幾乎都伴有不同程度的精神症狀,精神障礙是本病全部臨床表現的一個固定組成部分。
5、腦外傷所致精神障礙。腦外傷所引起的精神障礙常見的有兩類患者。一類以持續的心理功能缺損為主,如記憶障礙;另一類為情緒障礙與無力狀態較為常見,由於症狀不容易被發現而常被忽視。
6、軀體疾病伴發的精神障礙。軀體感染所致精神障礙是指由病毒,細菌、螺鏇體、真菌、感蟲或其他微生物、寄生蟲等所致的腦外全身性感染,如敗血症、梅毒、傷寒、斑疹傷寒,惡性瘧疾、血吸蟲病、人類免疫缺陷性病毒(HIV)感染等所致的精神障礙。顱內未發現直接感染的證據。
精神活性物質所致精神障礙
精神活性物質是指來自體外,可影響精神活動,並可導致成癮的物質。常見的精神活性物質有酒類、阿片類、大麻、催眠藥、抗焦慮藥、麻醉藥、興奮劑、致幻劑和菸草等。精神活性物質可由醫生處方不當或個人擅自反覆使用導致依賴綜合徵和其他精神障礙,如中毒、戒斷綜合徵、精神病性症狀、情感障礙,及殘留性或遲發性精神障礙等。常見類型有:
1、精神活性物質使用障礙(物質依賴障礙和物質濫用)。
2、精神活性物質所致的障礙,包括:精神活性物質中毒,精神活性物質戒斷反應,精神活性物質所致譫妄,精神活性物質所致的持久性痴呆,精神活性物質所致的持久性遺忘障礙。精神活性物質所致的精神病性障礙,精神活性物質所致的心境障礙,精神活性物質所致的焦慮障礙,精神活性物質所致的性功能障礙和精神活性物質所致的睡眠障礙。
指來自體外的某些物質,雖不產生心理或軀體性成癮,但可影響個人精神狀態,如產生攝入過量所致的中毒症狀(過去稱為中毒性精神障礙)或突然停用所致的停藥綜合徵(如反跳現象)。常見類型有:
一氧化碳中毒1、一氧化碳所致精神障礙。
2、非成癮藥物所致精神障礙。如:
① 抗抑鬱劑(如三環類、四環類,及單胺氧化酶抑制劑)[F55.0];
② 緩瀉劑[F55.1];
③ 止痛藥(沒指定為精神活性物質的,如阿斯匹林,非那西丁)[F55.2];
④ 制酸藥[F55.3];
⑤ 維生素類[F55.4];
⑥ 類固醇或激素[F55.5];
⑦ 特殊的草藥或民間驗方[F55.6]等。
3、有機化合物所致精神障礙。如:
① 有機磷;
② 苯。
4、重金屬所致精神障礙。如:
① 鉛;
② 汞。
5、食物所致精神障礙。如蕈類等。
6、其他或待分類的非成癮物質所致精神障礙。如二氧化碳。
情感性精神障礙
心境障礙(情感性精神障礙)以明顯而持久的心境高漲或低落為主的一組精神障礙,並有相應的思維和行為改變。可有精神病性症狀,如幻覺妄想。大多數病人有反覆發作的傾向,每次發作多可緩解,部分可有殘留症狀或轉為慢性。
1、躁狂發作。躁狂發作以心境高漲為主,與其處境不相稱,可以從高興愉快到欣喜若狂,某些病例僅以易激惹為主。病情輕者社會功能無損害或僅有輕度損害,嚴重者可出現幻覺、妄想等精神病性症狀。
2、抑鬱發作。以心境低落為主,與其處境不相稱,可以從悶悶不樂到悲痛欲絕,甚至發生木僵。嚴重者可出現幻覺、妄想等精神病性症狀。某些病例的焦慮與運動性激越很顯著。
3、雙相障礙。發作符合某一型躁狂或抑鬱標準,以前有相反的臨床相或混合性發作,如在躁狂發作後又有抑鬱發作或混合性發作。
4、環性心境障礙。反覆出現心境高漲或低落,但不符合躁狂或抑鬱發作症狀標準。
5、惡劣心境。持續存在心境低落,但不符合任何一型抑鬱的症狀標準,同時無躁狂症狀。
精神分裂症
是一組病因未明的精神病,多起病於青壯年,常緩慢起病,具有思維、情感、行為等多方面障礙,及精神活動不協調。通常意識清晰,智慧型尚好,有的病人在疾病過程中可出現認知功能損害。自然病程多遷延,呈反覆加重或惡化,但部分病人可保持痊癒或基本痊癒狀態。常見類型有:
1、偏執型分裂症。符合分裂症診斷標準,以妄想為主,常伴有幻覺,以聽幻覺較多見。
2、青春型(瓦解型)分裂症。常在青年期起病,以思維、情感、行為障礙或紊亂為主。例如明顯的思維鬆弛、思維破裂、情感倒錯、行為怪異。
3、緊張型分裂症。以緊張綜合徵為主,其中以緊張性木僵較常見。
4、單純型分裂症。以思維貧乏、情感淡漠,或意志減退等陰性症狀為主,從無明顯的陽性症狀;社會功能嚴重受損,趨向精神衰退;起病隱襲,緩慢發展,病程至少2年,常在青少年期起病。
感應性精神病
以系統妄想為突出症狀的精神障礙,往往發生於同一環境或家庭中兩個關係極為密切的親屬或摯友中(如母女、姐妹、夫妻、師生等),其妄想內容相似。
周期性精神病
是一組急性起病,反覆發作,症狀相仿,以內分泌失調與自主神經症狀,以及思維、情感、行為紊亂為主的精神障礙,病程短暫,抗精神病藥物療效不顯著,多見於青少年女性。如果常與月經周期相聯繫,則稱月經周期性精神病。
疾病診斷
主要靠與病人接近的人的病歷報告和臨床觀察、檢查和分析。對精神障礙本身還沒有客觀的診斷手段。現有的實驗室方法只是為了排除器質性疾病或查明可能引起某些精神障礙症狀群的軀體病,最終確定精神障礙性質還是靠臨床精神狀況檢查和分析。1960年代以來出現了許多心理測量方法和量表,但實踐證明,這些僅可作為臨床觀察、診斷的輔助手段,不能僅靠量表來確定診斷。
疾病治療
精神障礙的治療1、藥物治療。20世紀50年代以來,許多精神疾病的治療已經進入化學治療的年代。所用藥物包括抗焦慮藥、抗精神病藥、抗抑鬱藥、抗躁狂藥等。
2、休克療法,如電休克。
3、心理治療。在若干精神障礙的治療中從來都占有重要地位和作用,目前主要用於神經症、心身疾病和人格障礙等。
4、工療。或稱職業療法。即每日給病人安排力所能及的勞動或工藝性操作作業,以輔助或促進病情緩解。急性精神障礙患者,病情好轉時期應參加工藝品製作、縫紉、書法或繪畫等活動,以提高生活興趣和信心。對慢性病人則宜安排工業工療,即參加一些帶有流水作業性質的集體勞動作業。這樣的工療才接近現實生活,有助於他們的精神康復。工療的另一個重要目的是有助於患者勞動就業或職業康復。其中包括著管理家務和教育子女。對神經症,也可合理選用鎮靜藥物,但最主要的是心理療法。心理諮詢和心理治療在神經症的治療、精神病恢復期病人的保健和其他心理疾病的預防中越來越顯示其重要作用。
5、1930年代出現前額葉切斷術,以治療頑固的焦慮緊張、強迫觀念、妄想狀態等,即精神外科。現又有前額葉超聲治療,立體定向手術等,正在探索確切的療效 。
6.“腦神經免疫修復療法”是解放軍部隊醫院神經內科診療中心專家們經過數十年科研攻關首創的全國治療精神疾病前沿療法。該療法治療精神疾病療效顯著,專業權威。截止目前,該療法以其較高的治癒率和良好的療效已為來自全國各地十萬多名精神疾病患者解除了困擾,重獲了健康。該療法的套用於臨床,徹底打破了精神疾病治癒難的歷史,開啟了人類治療精神疾病的新紀元。
三級預防
一級預防
一級預防旨在消除或減少病因或致病因素,以防止或減少精神障礙的發生。這是最積極、最主動的預防措施。但由於有些精神障礙的病因未明,因此,一級預防除了主要是對病因已明的精神障礙。有可能針對病因,採取果斷的預防措施。最終消滅疾病的發生外,還可利用現有的知識,積極進行精神障礙的一級預防。
二級預防
二級預防的目標是早期發現、早期診斷、早期治療。爭取完全緩解與良好的愈後,防止復發。對目前尚不能通過~級預防措施消滅的精神障礙,應給予二級預防措施。早期發現病人並早期診治對各種精神疾病的病程轉歸及預後都起到良好作用,乃是精神病防治工作中極其重要的一環,尤其是逐漸起病而症狀隱匿,不易被人發現的病人,如能早診斷、早治療而不延誤病情,則對預防復發以及使慢性率下降有很重要的意義。
三級預防
三級預防的目標是做好精神殘疾者的康復安排,最大限度地促進病人社會功能的恢復,儘可能地減少精神殘疾的發生,把精神殘疾的預防和康復作為重要內容納入到初級衛生保健系統中去。
重度危害
1、明顯的幻覺妄想等陽性症狀:病人能夠聽到有人命令他去自殺,或覺得周圍的人要陷害他而沒有出路,只能自殺等;
2、同時出現嚴重的抑鬱情緒;
3、沒有得到恰當的治療,精神症狀得不到有效控制;
4、病人缺乏照護或照護不夠,容易出現自殺等意外;
5、伴有慢性軀體疾病,導致身心的疲憊;
6、具有良好的教育背景、具有較高的職業期待者,能夠意識到自己精神病的問題和未來可能遭受的歧視與恐懼。

