名詞解釋
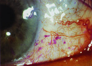
本病為眼部赤腫不顯,而只覺眼內乾澀不舒的慢性眼病,《審視瑤函》稱之為白澀病,藥物治療難取速效,類似於西醫學之慢性結膜炎或淺層點狀角膜炎。
白澀病發生規律
真菌引起的病害。病菌在病殘體上越冬,隨風雨傳播,在植株的下部葉片首先發病。高溫多雨季節、氮肥過多時容易發病。
防治措施
(1)發病地塊實行2年以上的輪作。
(2)收穫後清除病殘體,集中燒毀,並深翻土壤。
(3)採用高支架管理,合理密植,改善田間小氣候。
(4)加強田間管理,適時中耕除草,鬆土排漬;合理施肥,以腐熟的有機肥為主,適當增施磷鉀肥,少施氮肥,培育壯苗,增強植株抗病性。
(5)播種前用50%多菌靈可濕性粉劑600倍液浸種。
(6)出苗後噴灑1:1:50的波爾多液預防,每10天一次連噴2-3次。
(7)發病初期用58%甲霜靈•錳鋅可濕性分劑500倍液、68%金雷多米爾水分散粒劑1000倍液、80%炭疽福美可濕性粉劑800倍液、50%翠貝乾懸浮劑3000倍液、70%甲基托布津可濕性粉劑1500倍液、50%撲海因可濕性粉劑1000倍液、50%施保功可濕性粉劑1500倍液、25%火把可濕性粉劑1000倍液等,上述藥劑與天達2116混配交替使用,7-10天一次,連噴2-3次,噴後遇雨及時補噴,收穫前10天停止用藥,效果更佳。
診查要點
診斷依據
1、乾澀不爽,不疼痛,怕見強光,頻頻眨目,不耐久視。2、眵多色白或無眵。
3、胞瞼、白睛不紅不腫,黑睛外觀端好,或見白睛赤脈隱隱,或黑睛有細小星點。
病證鑑別
1、椒瘡:胞瞼內有明顯細小顆粒如椒似粟,且有癢澀眵淚。
2、瞼內結石:胞瞼內可見明顯的黃白色堅硬小粒,有異物磨擦感或刺痛。

