病毒濕疣的臨床表現
潛伏期為1~8個月,平均3個月,主要發生在性活躍的人群。
1.典型的濕疣
生殖器和肛周為好發部位,男性多見於包皮、系帶、冠狀溝、龜頭、尿道口、陰莖體、肛周、直腸內和陰囊,女性多見於大小陰唇、後聯合、前庭、陰蒂、宮頸和肛周。偶可見於陰部及肛周以外的部位,如腋窩、臍窩、口腔、乳房和趾間等。女性陰道炎和男性包皮過長是尖銳濕疣發生的促進因素。
損害初起為細小淡紅色丘疹,以後逐漸增大增多,單個或群集分布,濕潤柔軟,表面凹凸不平,呈乳頭樣、雞冠狀或菜花樣突起。紅色或污灰色。根部常有蒂,且易發生糜爛滲液,觸之易出血。
2.HPV亞臨床感染
指HPV感染後在臨床上肉眼不能辨認,但以醋酸白試驗(用5%醋酸溶液塗抹或濕敷後發現局部發白)、組織病理或核酸檢測技術能夠發現HPV感染的證據。
3.與腫瘤的關係
大量流行病學資料表示,HPV感染(主要是高危型HPV,如HPV-16、18型)與生殖器癌的發生有密切的關係,如宮頸癌、陰莖癌等。
治療後一般預後良好。但不論何種方法治療,均可能復發。
病毒濕疣的好發部位
男性好發於冠狀溝、龜頭、包皮、系帶、尿道口,少數見於陰莖體部,同性戀者可發生於肛周及直腸。但很少見於陰囊。尤其易發生於有慢性淋病、包皮過長者。而且HPV病毒的復發性很強,最好使用中藥如憂康等外用藥治療效果最好。除以上部位外,人體的其他部位也可患病,如口腔、腋窩、臍窩、足趾間等。也可以從身體的其它部位自身接種到生殖器部位,但很少見。
病毒濕疣的檢查
1.醋酸白實驗
用3%~5%醋酸液局部外塗或濕敷5~10分鐘可在HPV感染區域發白,即所謂“醋酸白現象”。但特異性不高,有些慢性炎症,如念珠菌性外陰炎、生殖器部位外傷和非特異性炎症均可出現假陽性。
2.細胞學檢查
用陰道或宮頸疣組織塗片,巴氏染色,可見到兩種細胞,即空泡化細胞及角化不良細胞同時存在,對尖銳濕疣有診斷價值。
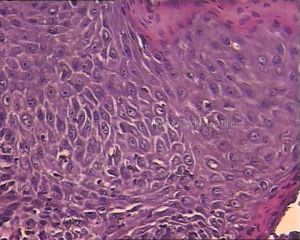
3.組織病理檢查
如在棘層上方及顆粒層出現空泡化細胞,是診斷HPV感染的重要證據。
4.免疫學試驗
採用抗HPV蛋白的抗體檢測病變組織中的HPV抗原。該方法敏感度不高,檢出率只有50%左右。
5.核酸雜交試驗
是檢測HPV感染的重要的手段,包括斑點印跡法(dotblothybridization)、組織原位雜交法、核酸印記法(Southernblothybridization)。這些方法的特異度和敏感度均較高,是診斷HPV感染的敏感而可靠的方法。但技術操作繁瑣,臨床上沒有普遍開展。
6.聚合酶鏈反應(PCR)
是目前檢出HPV感染的最敏感的方法,又可做型特異度分析,具有敏感度高、方法簡便迅速的特點。已在臨床上廣泛使用。
病毒濕疣的診斷
1.典型皮損為生殖器或肛周等潮濕部位出現丘疹,乳頭狀、菜花狀或雞冠狀肉質贅生物,表面粗糙角化。
2.輔助檢查:醋酸白試驗陽性,核酸雜交可檢出HPV-DNA相關序列,PCR檢測可見特異性HPV-DNA擴增區帶等。
3.患者多有不潔性生活史或配偶感染史,少數尖銳濕疣通過接觸污染的用具感染,新生兒亦可通過產道受感染。潛伏期1~8個月不等,平均為3個月。
病毒濕疣的治療
尖銳濕疣的治療必須採用綜合治療。
1.治療誘因(包皮過長、陰道炎、包皮龜頭炎、淋病等)。
2.提高機體免疫力。
3.化學治療
(1)0.5%鬼臼毒素酊(或0.15%霜)適用於治療直徑≤10mm的生殖器疣,臨床治癒率可達90%左右。用藥疣體總面積不應超過10cm2,日用藥總量不應超過0.5ml。用藥後應待局部藥物自然乾燥。副作用以局部刺激作用為主,可有瘙癢、灼痛、紅腫、糜爛及壞死。另外,此藥有致畸作用,孕婦忌用。
(2)5%咪喹莫特霜治療尖銳濕疣,疣體的清除率平均為56%。該療法的優點為復發率低,約為13%。出現紅斑不是停藥指征,出現糜爛或破損需要停藥並複診,由醫生處理創面及決定是否繼續用藥,副作用以局部刺激作用為主,可有瘙癢、灼痛、紅斑、糜爛。妊娠期咪喹莫特的安全性尚未確立,孕婦忌用。
(3)80%~90%三氯醋酸或二氯醋酸需由醫生實施治療。使用時,在疣損害上塗少量藥液,待其乾燥,此時見表面形成一層白霜。在治療時應注意保護周圍的正常皮膚和黏膜,如果外用藥液量過剩,可敷上滑石粉,或碳酸氫鈉(蘇打粉)或液體皂以中和過量的、未反應的酸。此藥不能用於角化過度或較大的、多發性以及面積較大的疣體。不良反應為局部刺激、紅腫、糜爛等。
4.冷凍療法
利用-196℃低溫的液氮,採用壓凍法治療尖銳濕疣,促進疣組織壞死脫落,操作簡便、高效,病人易耐受。本法適用於數量少,面積小的濕疣,可行1~2次治療,間隔時間為一周。
5.雷射治療
通常用CO2雷射,採用燒灼法治療尖銳濕疣,對單發或少量多發疣體可行一次性治療,對多發或面積大的疣體可行2~3次治療,間隔時間一般為一周。
6.電灼治療
採用高頻電針或電刀切除濕疣。本療法適應數量少,面積小的濕疣。
7.氨基酮戊酸光動力學療法(ALA-PDT療法)
本法可選擇性殺傷增生旺盛細胞,不僅對肉眼可見的尖銳濕疣有破壞作用,還可清除亞臨床損害和潛伏感染組織。具有治癒率高、復發率低、不良反應少且輕微、患者依從性好等優點。
8.手術治療
適用於巨大尖銳濕疣,對疣體整個或分批切除。
9.免疫療法
不主張單獨使用,可作為輔助治療及預防復發。可用干擾素肌內、皮下和損害基底部注射,白介素-2皮下或肌內注射,聚肌胞肌內注射等。
病毒濕疣的預防
1.堅決杜絕性亂
尖銳濕疣患者中主要是通過性接觸感染。家庭中一方從社會上染病,又通過性生活傳染給配偶,還通過密切生活接觸傳給家人,既帶來生理上的痛苦,又造成家庭不和。因此提高性道德,不發生婚外性行為是預防尖銳濕疣發生的重要方面。確保性伴也獲得診療。
2.防止接觸傳染、注意個人衛生
不使用別人的內衣、泳裝及浴盆;在公共浴池不洗盆浴,提倡淋浴,沐浴後不直接坐在浴池的坐椅上;在公共廁所儘量使用蹲式馬桶;上廁所前後用肥皂洗手。
3.配偶病了禁止性生活
如果配偶僅為物理醫治,儘管可見生殖器尖銳濕疣消失了,但病人的人乳頭狀瘤病毒,也必然接受口服藥和外部洗藥醫治,醫治後全面審查。在此期間如果發生性行為,安全套能夠用於保護。
4.加強自身鍛鍊
身體素質加強才能夠起到對一切疾病的防範作用,能夠對病毒產生非常強的抑制作用,在飲食上也要多加關注,多吃蔬菜水果和喊蛋白質高的食物,加強體內的免疫細胞活性和加強自身抗體的力度,從而從人體自身方面來防範該病的傳染上身。
病毒濕疣的飲食注意
1.忌辛辣刺激性食物,如辣椒、蔥、蒜、韭菜、煙、酒、姜、海鮮、狗肉、牛肉、羊肉、鯉魚、香菜、蝦、蟹、筍類等。
2、個人衛生:內衣、褲單獨洗後用開水泡30分鐘;自家洗澡間及馬桶用後“84”消毒
3、在治療期間3個月內禁止性生活,以免交叉感染。3個月不復發可以帶套性生活。

