基本概述
病毒性角膜炎病毒性角膜炎可由多種病毒引起,其臨床表現輕重不等,對視力的損害程度視病變位置、炎症輕重、病程長短、復發次數和有無混合感染而不同。
常見
臨床上常見的病毒性角膜炎有單純皰疹性角膜炎、牛痘性角膜炎、帶狀皰疹性角膜炎等。
單純皰疹性
為單純皰疹病毒引起的角膜炎,按抗原性及生物學特性將病毒區分為Ⅰ型和Ⅱ型。單皰病毒引起的角膜病變可侵及角膜各層,且相互轉化,多見的典型形態為樹枝狀、地圖狀、盤狀、角膜色素膜炎等。
牛痘性
由牛痘苗感染引起的角膜炎,多見牛痘苗濺入眼內,或經污染痘疹膿液的手指帶入眼內而致病。一般經3天潛伏期即發病,除表現為結膜及眼瞼的牛痘疹外,約有30%發生角膜炎。以表層角膜炎及淺層角膜潰瘍為主,基質層及盤狀角膜炎為少。80年代以來,全世界已消滅了天花,故已廢棄牛痘接種,今後本病也將絕跡。
帶狀皰疹性
為水痘-帶狀皰疹病毒侵犯三叉神經眼支所致淺層樹枝狀或基質性角膜炎,伴有劇烈神經痛,分布區域皮膚上有串珠狀皰疹。帶狀皰疹病毒與水痘病毒屬同一種病毒,所以又稱V-2病毒。帶狀皰疹病毒性角膜炎為潛伏性病毒感染疾病,靜止期帶狀皰疹病毒潛伏於三叉神經節中,在機體細胞免疫力下降及外界刺激誘發下而復發。此種角膜炎可表現為點狀、錢狀、樹枝狀及基質層角膜炎、盤狀角膜炎等。該病常並發於眼瞼帶狀皰疹,同時伴有較重的葡萄膜炎,引起前房積血或積膿,基質層渾濁區內常有類固醇沉積物,虹膜可有萎縮。
病理
主要是單純皰疹病毒為常見的致病原;帶狀皰疹病毒次之;還有在接種牛痘疫苗中牛痘病毒意外感染角膜所致;也有受腺病毒感染而發病。
當身體抵抗力減退時,如感冒或高熱等,是該病的誘發因素。帶狀皰疹病毒感染,它是沿三叉神經末梢顳支分布,在眼瞼的上瞼及顳部皮膚呈帶狀串珠狀的皰疹,且以患眼的同側為特點,一般皮膚病變絕不超越中線。單純皰疹病毒引起該病,常在感冒或高熱中,一般有口角或鼻翼部出現單純皰疹。牛痘病毒性角膜炎,有接種或接觸過牛痘疫苗病史。
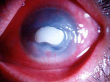
以上三種在角膜常呈樹枝狀角膜炎,浸潤後常發生潰瘍,嚴重病例則常引起虹膜反應,虹膜睫狀體炎,角膜後在裂隙燈檢查下可見有灰白色的沉澱物,甚至有前房積膿。潰瘍面擴大,可呈盤狀或地圖狀,少數病例還可引起角膜穿孔,或角膜葡萄腫、繼發性青光眼等,最終遭致失明。但以腺病毒為致病原的該病,常侵犯角膜基質淺層,呈點狀侵潤,一般不形成潰瘍,炎症消退後,常也留有點狀疤痕。
臨床診斷
病毒性角膜炎的診斷該病的診斷依據,帶狀皰疹病毒感染,它是沿三叉神經末梢顳支分布,在眼瞼的上瞼及顳部皮膚程帶狀串珠狀的皰疹,且以患眼的同側為特點,一般皮膚病變決不超越中線。單純皰疹病毒引起該病,常在感冒或高熱中,一般有口角或鼻翼部出現單純皰疹。牛痘病毒性角膜炎,有接種或接觸過牛痘疫苗病史。以上三種在角膜常呈樹枝狀角膜炎,浸潤後常發生潰瘍,嚴重病例則常引起虹膜反應,虹膜睫狀體炎,角膜後在裂隙燈檢查下可見有灰白色的沉澱物,甚至有前房積膿。潰瘍面擴大,可呈盤狀或地圖狀,少數病例還可引起角膜穿孔,或角膜葡萄腫.繼發性青光眼等,最終導致失明。但以腺病毒為致病原的該病,常侵犯角膜基質淺層,程點狀侵潤,一般不形成潰瘍,炎症消退後,常也留有點狀疤痕。
治療
西醫治療
西醫對該病治療,常用抗病毒眼藥水,配合抗菌素眼藥水,以防繼發細菌或真菌感染,有虹膜反應時,則加擴瞳藥。全身以示體質情況,衰落者或易感冒者,常輔以提高免役的藥物。
中醫治療
該病中醫稱為“聚星障”,此所見症,黑睛風輪有星翳,或聚或散,成簇排列,一旦星翳破潰,融合成片,呈樹狀的圖象,則中醫又稱“花翳白陷”。該病多因肝肺鬱熱,復受風邪,風火相扇,上攻於風輪為患,也有肝脾濕熱內壅,熏蒸黑睛罹病。常見畏光流淚,疼痛視糊,遷延不愈,日後黑睛留下翳障,視糊終身。若風邪上犯,引動內熱,常以散風清熱,若是肝脾濕熱內結,升擾於目,發為該病,則以清熱解毒.化濕退翳。治療該病,若瞳孔緊小,也需配合套用西藥擴瞳眼藥水滴眼,以防瞳孔緊小之病變。該病常以體弱外邪侵襲而復發,故該病患者應在平時注意寒熱,以防外感。近來也有學者以該病病變部位的深淺來辨證立方,淺層以疏風清熱;位於中層,以清熱解毒化濕;病變累及瞳神,則清肝胃之火治之。
預防
病毒性角膜炎是眼科的常見病,其特點是反覆發作,每次發作視力就下降一點,有的最後導致失明,因此,做好保健養生,防止或減少復發是關鍵。要思想重視,做到預防為主;要及早治療,早期治療可以使視力得到保護;要正規治療,抗病毒治療為主,角膜營養治療為輔;要鍛鍊身體,增強體質,提高免疫力;要相對固定醫院和醫生治療,治療用藥要連續、有效、科學。
不要亂用眼藥水,許多病毒性角膜炎的發生是因為很多患者因為眼部的一時不適,沒用及時檢查,而是自己隨意使用眼藥水來緩解症狀,最後引起病毒性角膜。眼藥要在醫生的指導下用藥,而治療時要謹記不要症狀一緩解就停止用藥。
不要飲酒,酒精使眼血管擴張充血,使病毒蔓延,加重病情;不要吃羊肉、牛肉。由於病毒性角膜炎是免疫異常所致,而吃羊肉牛肉可加重這種免疫反應,導致病情加重;不要隨意減少用藥次數,抗病毒藥滴眼液滴眼一天要保證6~8次,早期甚至可以30分鐘到一小時點一次;不要吹風受涼感冒,感冒後免疫力下降,使病毒性角膜炎易復發;不要過早停藥,炎症控制後繼續用藥3-5天,鞏固治療效果,防止捲土重來;不要隨意用激素,激素可能使病毒感染擴散,加重病情;不要頻繁更換醫院或更換醫生就診,否則使治療不夠連貫,可能延誤病情;不要過勞和熬夜,因為過勞和熬夜使免疫力下降,也會使病毒性角膜炎復發。
十忌
一、忌酒。酒精能降低人體免疫力,使病毒加快繁殖的速度,因此病毒性角膜炎患者必須戒掉酒及含酒精的飲料;
二、忌羊肉。由於病毒性角膜炎患者角膜深層病變是免疫反應的表現,而吃羊肉可加重這種慢性免疫反應,導致病情加重,所以病毒性角膜炎患者不要吃羊肉;
三、忌熱敷。因為人的角膜每天大部分時間(睡眠除外)均處於較涼爽的環境中,已經習慣了,如果在其患病時突然對其施以較高溫度的處置,無異於火上澆油,使其遭受高溫缺氧的摧殘;
四、忌用藥偷工減料。抗病毒滴眼液滴眼次數一天要保證6~8次,不能減少。道理很簡單用,藥如用兵,這就好比打仗攻克一個城市,本來需要百萬精兵,如果只發一萬,結果可想而知;
五、忌滴藥時不壓住淚囊。病人在用藥時滴入眼內的滴眼液會流入淚囊,如果這時不堵住此通道,藥物的療效就會大打折扣;
六、忌包紮眼睛。包紮眼睛可使結膜囊溫度升高,分泌物增多,利於細菌病毒繁殖,而且所用紗布也有可能劃傷角膜;
七、忌閉目低頭。此動作有可能造成患者眼部淤血,加重病情;
八、忌見好就收。只有病被治癒後,患者方可遵醫囑停藥;
九、忌驟停激素。有的患者覺得治療用了激素,當病情得到迅速控制,角膜恢復透明,視力提高,療效比較滿意時,便誤以為自己的病已經治癒,自作主張停藥,結果導致嚴重後果,他們不了解激素用法,激素需要遞減停藥;
十、忌一條道跑到黑。患者在使用某種抗病毒藥如抑制型抗病毒藥效果不滿意時,可在醫生指導下換用其他類型的抗病毒藥。

