疥瘡結節簡介

疥瘡
疥瘡結節治療方法
用【玫顏舒】全身加局部使用,前8天全身加局部塗抹, 8天以後局部塗抹結節部位,每日塗抹4-5次。一般10-14天就可以 好。疥瘡感染過的物品要徹底消毒,周圍有疥瘡患者要同時治療,徹底治好就不會反覆。
疥瘡症狀疥瘡結節的形成
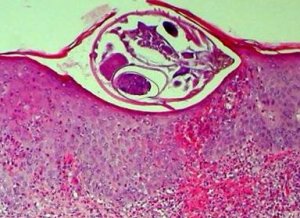
疥瘡患者在陰部特別是男性的陰囊可見黃豆大小的結節,質地較硬,瘙癢劇烈,這種結節是由於人體局部對疥蟲的一種反應所致。嚴格來說,疥瘡結節是由於人體對疥蟲的一種過敏反應,組織病理顯示疥瘡結節主要以嗜酸性白細胞
疥瘡結節確實有一些疥瘡結節頑固不消,全身疥瘡已經治癒,但陰囊的結節則經久不消,患者常為此痛苦。下面介紹幾種治療疥瘡結節的方法。
(1)冷凍採用液氮冷凍的方法,可治療疥瘡結節。具體的方法是用直接接觸法或噴霧的方法治療,每周1次,每次2~3個結節。
(2)局封取強的松龍注射液加入2%普魯卡因注射液局部封閉,每周1次,共3~4周。
臨床表現
當感染疥瘡之後,首先出現的症狀是皮膚刺癢,在瘙癢部位同時出現小皮疹,小水皰或結痂等皮疹。其癢甚劇,一般白天稍輕,夜晚加重,往往由於搔抓,遍體搔痕,甚至血跡斑斑,病人難以入睡疥蟲穿入表皮之後,一般需經20-30日的潛伏期才出現皮疹及瘙癢症狀。初起皮疹多見於皮膚潮濕柔軟處,如手指間、手腕部位的皮膚容易穿主寄生,繼之傳播到身體其他部位,如肘、腰部、腋窩、腹部及陰部等處。解放前民間流傳的“疥瘡像條龍,先在手上行,腰中繞三圈,腿上扎大營”。
疥瘡的症狀

疥瘡初期
疥瘡的中期症狀:夜間會陣發性的劇烈瘙癢。皮膚薄嫩處(如大腿內側、腋窩下、手指縫、乳房、小腹部、會陰部、生殖器部位等)常出現皮疹,為粟米大小的丘疹或丘皰疹。症狀部位可見疥蟲掘的隧道,呈灰褐色不規則曲線。
疥瘡嚴重期症狀:疥瘡如果治療不及時,在皮膚薄嫩地方出現黃豆大或綠豆大的硬疙瘩(疥瘡結節),通常發生在陰囊、陰莖、陰唇、腹股溝等處發生黃豆大小的淡紅色結節。這種結節往往經久不消,常伴有劇烈瘙癢。
疥瘡原理圖傳播途徑

疥蟲
間接感染:是通過間接接觸到疥瘡患者的衣物、用品、患者接觸到的家具、物品等被感染,最嚴重的疥瘡傳播強到(疥瘡患者拿的錢被其他人接觸都會感染疥瘡,坐公車疥瘡患者抓過的扶手其他人接觸都會被感染疥瘡),但好多人和疥瘡患者在一起生活而沒有發病,主要與人體的自身免疫力有很大的影響。疥瘡患者發病多發生在自身免疫力降低的情況下。
發病機制
免疫螢光研究提示在皮膚血管中有血管炎樣改變並出現IgM和C3補體結合物說明疥瘡有體液免疫成分組織學則提示一般疥瘡的皮損中細胞免疫反應引發例如皮損丘疹結節等周圍的浸潤細胞大多數為淋巴細胞而且主要是T淋巴細胞 。
注意事項
一、把皮下的疥蟲、蟲卵徹底殺滅;疥瘡治療時一定不要亂聽胡說,口服藥、輸液、打針是不能徹底殺滅疥蟲的。疥蟲在皮下(除了外用藥外,其他方法如果把疥蟲殺滅,人也被滅了)所以只能外用藥使用。使用口服藥不但治不好疥瘡反而會對人體肝臟、腎臟造成很大的損害。
二、疥蟲感染的物品要及時消毒,並保證不再接觸;疥蟲傳染性極強,疥蟲感染的物品如果不及時消毒,不免再次感染疥蟲,導致疥瘡的二次發病。
三、對症治療,止癢、消炎,快速緩解症狀;疥瘡患者瘙癢比較明顯,導致疥瘡患者長時間撓抓增加患者的痛苦,同時導致感染皮炎、濕疹等其他皮膚病,增加治療的難度。
四、做好疥瘡的預防及宣傳工作,避免再次感染。作好家人朋友之間隔離治療,避免導致周圍其他人群同時感染疥瘡,減少疥瘡患者的二次感染幾率,減輕患者家庭的經濟負擔。
五、治療越早效果越好,時間越長,治療時間也會延長。
預防措施

酒店
(2)杜絕不潔性交。
3)出差住店要勤洗澡,注意換床單。
(4)凡是與病人密切接觸的家屬與朋友應同時就診、治療。如果其中任何一個人未徹底治癒,那么其他人會被再次傳染,使得治療前功盡棄。對未被傳染的家人要進行必要的隔離,對病人所用的物品要經常消毒。(5)患了疥最好用芥樂寧塗抹頸部以下全身。幫助搔抓、塗藥、洗曬衣被後,套用硫黃皂等洗手,以防傳染。抹藥之後不宜勤換衣服洗澡。最好兩天或三天在洗澡換衣再進行全身塗抹。

