症狀
犬髖骨關節發育不良症canine hip dysplasia(CHD)是一種中大型犬的常見髖關節疾病,會引起犬的髖關節退行性關節炎,並且終身持續惡化。CHD的確切病因及發病機理至今尚不十分清楚,普遍認為犬髖關節發育不良是一種多基因性遺傳疾病,另外這種疾病的發生和發展還受到環境、營養狀況等因素的行銷。在國內,養犬的品種與國外不太一樣,犬髖關節發育不良以金毛尋回犬、拉布拉多犬、阿拉斯加犬和德國牧羊犬等較為常見。國際上有ofa標準的評分方法是在犬24月齡的時候拍攝2張標準的x光片(腹背位和腹背位蛙式),通過髖關節與股骨頭的位置關係和關節的炎症程度對犬進行評分。但是在臨床上,對2歲的成年犬進行診斷已經很晚,髖關節形態結構已經形成。美國賓夕法尼亞大學發明了pennihip方法和義大利獸醫歸納總結的distraction idexx的診斷方法可以使得CHD得以在幼年動物早期診斷,預計成年後動物的發病狀況,使得早期干預性治療獲得實施的依據。
早期幼犬髖關節發育不良,犬出現了關節失穩和關節亞脫位的情況,沒有出現嚴重的退行性關節病變和磨損,並不會十分疼痛。這個時候犬的主人能觀察到的症狀就是幼犬不愛運動,變得比較懶惰。仔細觀察的主人會發現動物有時候會出現兔子跳的動作,個別嚴重的幼犬會累及到其他關節,例如出現腳踝過度伸展,膝關節十字韌帶斷裂和前肢疼痛跛行等症狀。一旦退行性關節炎的發生,就會開始出現疼痛的症狀。成年犬出現較嚴重的髖關節發育不良,除了有上述的症狀之外,還會出現把身體重心移到前肢的症狀,此時患病犬會出現運動時頭頸伸展或低頭,使用前肢進行負重。動物運動時後肢,特別是大腿的擺動幅度下降,兩腳之間距離縮短,動物運動過後會出現疼痛明顯的症狀。使用止痛藥物症狀會改善。極個別非常嚴重的犬會出現癱瘓的症狀。
診斷方式
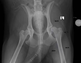
診斷方式主要是通過x光拍攝進行診斷,又分為早期診斷與後期診斷。早期診斷的拍攝x光方式有很多種,普遍被人認可的是美國賓西法利亞大學推廣的pennyhip方法。另外有背側髖臼緣角度(dorsal acetabulum rim angle,DARA) 。國際上有ofa標準的評分方法是在犬24月齡的時候拍攝2張標準的x光片(腹背位和腹背位蛙式),通過髖關節與股骨頭的位置關係和關節的炎症程度對犬進行評分。但是在臨床上,對2歲的成年犬進行診斷已經很晚,髖關節形態結構已經形成。
治療方式
治療犬髖關節發育不良包括了保守治療、早期干預治療和後期治療幾個方式。保守治療就是使用關節保健類藥物保護關節,降低體重,適當運動提高關節肌肉和韌帶的緊張度,使用水中跑步機或游泳的方式提供合理的理療措施。
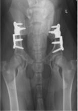
犬髖關節發育不良早期干預治療是建立在早期診斷的基礎上的手術治療,現在公認比較有效的早期治療方式包括了3.5-4.5月齡進行幼犬恥骨聯合吻合手術(juvenile pubic symphysiodesis,JPS) ,5-8月齡進行骨盆兩刀切(double pelvic osteomy,DPO) /骨盆三刀切手術(triple pelvic osteotmy,TPO)。其中DPO手術是義大利的獸醫在2006年首次報導的,這個手術改進了傳統的骨盆三刀切手術帶來的骨盆狹窄與坐骨面提升的併發症。
犬髖關節發育不良後期治療包括使用股骨頭頸切除手術( femoral head and neck ostectomy ,FHO)和犬全髖關節置換手術(total hip replacement THR)。使用股骨頭切除手術是一種通過股骨頭切除使得髖關節不會磨損和疼痛的手術,是在1965年開始使用的一種技術,至今仍被使用。有德國獸醫在1978年到1989年歸納總結了132隻狗和51隻貓進行FHO之後的情況,總結結果認為有83%的病例有腳變短的情況,75%的病例有肌肉萎縮,74%的病例有降低後肢伸展範圍,56%的病例有跛行,32%的病例在伸展腳的時候有疼痛反應,有10%的病例有關節捻發音。這這些病例中,只有少數的犬體重高於15kg,體重大的動物術後效果會變得更差。儘管如此,有78%的寵物主人仍然覺得這個手術的效果是可以接受的。 而在80年代開始出現了全髖關節置換手術(THR),最終在90年代變得相對成熟,在2000年後在歐美,這個手術已經廣泛被人接受。這個手術的成功率約95% 與人的全髖置換成功率相當,關節假體能使用15年以上,基本能滿足犬一生的使用需求。

