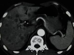
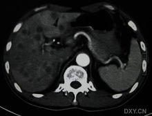
B超:肝內單發或多髮結節,可為低回聲、強回聲或不均勻回聲,腫塊內部回聲為高回聲,周圍包繞寬0.5~1cm的低回聲聲暈,偶爾有的高回聲中央可有少許低回聲區或無回聲區,為癌腫中心出血、壞死所致,此即為“牛眼征”,或稱“靶環征”。CT增強示:腫瘤強化,境界清楚,中央密度多低於周圍部,腫瘤邊緣可顯示環形不規則強化,部分可見“牛眼征”,表現為病灶中心為低密度,邊緣為高密度強化,最外層密度又低於肝實質。
該徵象被認為是轉移性肝癌典型影像表現,可見於任何轉移型肝癌,但多見於腺癌的肝轉移。
CT“牛眼征”
超聲“牛眼征”
