原因
先天性缺牙發生在牙齒髮生的早期,即牙蕾形成期。其產生可有不同的原因:
1、胚胎期牙板發育受到物理障礙或者牙板斷裂。例如,口-面-指(趾)綜合徵,下切牙區被增殖的系帶所覆蓋而對牙板產生機械性干擾。
2、空間受限,產生壓力,使牙胚得不到最低限度的營養而退化,特別是第三磨牙。
3、造成上皮組織功能缺陷和/或其下方的間充質誘導失敗。
檢查
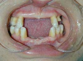
臨床上口腔內缺牙,不足以證明無牙,可能是因為牙齒沒有萌出(如埋伏牙,遲萌)或外傷早失。這要經過詢問病史,照X線片等輔助檢查後方能做出診斷。
先天缺牙可發生在乳牙列,也可發生在恆牙列。乳牙列缺失情況較少發生。一般為上頜乳側切牙,下頜乳側切牙和乳尖牙。恆牙列最常缺失的牙齒為:下頜第二雙尖牙,上頜側切牙,第三磨牙,上頜第二雙尖牙,下頜側切牙和切牙。缺失數目最常見為2顆,其次是1顆,缺失5顆以上少見。缺牙少的沒有明顯的全身意義。相反,缺牙數目多時,應檢查全身有無其他方面的異常,如皮膚,毛髮等。常是外胚葉發育不全綜合徵的一種表現,是一種全身性的先天畸形。患兒先天性缺失乳牙和恆牙,並伴皮膚和毛髮的發育異常。是屬於退化性的發育畸形,多數為男性。根據患兒是否出汗,臨床上分成有汗型外胚葉發育不全和無汗型外胚葉發育不全兩種類型。
無汗型:
全身皮膚汗腺缺乏,故患兒不出汗或很少出汗,體溫調節障礙,畏熱,皮脂腺,毛囊和汗毛全無或稀少,以致皮膚乾燥,粗糙。頭髮,眉毛稀疏,細又黃,似胎兒毛,鼻樑下陷,沒有鼻毛。因此不能過濾空氣中的灰塵;鼻腔黏膜乾燥,並容易引起慢性萎縮性鼻炎。口腔內由於牙齒大多缺失,僅有的幾顆牙,殘存的牙距離稀疏,牙形小,呈園錐狀,口唇突出。
有汗型:又稱毛髮-指甲-牙齒綜合徵。
患兒在溫度升高時,有汗排出,說明有部分汗腺存在。同時,頭髮,汗毛,鬍鬚等稀疏,纖細或捲曲,易斷。指(趾)甲發育不良,薄而脆。有條紋而無光澤,常可出現甲溝感染而使指(趾)甲基質崩解,使指甲缺失或變厚。牙齒先天缺失或發育畸形或釉質發育不良,釉質薄易出現橫紋或小陷窩。有的患兒皮膚表現鱗屑樣或手腳出現胼胝或雞眼,皮下脂肪少等早老現先象。
鑑別診斷
牙齒數目不足易混淆的症狀
牙齒形態異常:包括彎曲牙、雙牙畸形、畸形舌窩、畸形舌尖、畸形中央牙、過大牙、過小牙等。
牙齒結構異常:較常見的有牙釉質發育不全、四環素染色牙、牙本質發育不全症。
牙齒萌出異常:多見於恆牙。包括牙齒早萌、牙齒遲萌、牙齒異位萌出。
緩解方法
1、預防:母親妊娠期注意營養、過量放射線照射及藥物,定期進行口腔檢查,早期發現問題,進行早期預防。
2、治療:先天性缺牙治療方案的選擇,必須在做全面檢查後,根據患兒側貌,缺牙的位置、數目及牙列排列情況決定。一般前牙先天性缺失的患者首先應考慮美觀問題,後牙先天缺失的患者以功能為主。目前常用正畸方法是關閉間隙、集中間隙或保持間隙以種植體或義齒修復,對於牙槽骨發育不足的多數缺牙和無牙的患者可採用外科手術植骨,術後種植體或義齒修復。

