原因
牙齒咬合無力的發病原因
不良習慣雖然不是引發牙周病的主要因素,但它會影響牙周病的治療效果,甚至可以加速牙周病的發展,這些不良習慣大體可包括以下幾種:
(1)偏嚼習慣。它可以使廢用側牙齒表向堆積大量牙菌斑、牙結石,從而引發牙周病。同時慣用側牙齒可出現嚴重磨耗,造成塞牙,引發或加重牙周病。
(2)偏食習慣。它可造成蛋白質和維生素A、C、D的缺乏,從而引發或加重牙周病。
(3)夜磨牙、緊咬牙。它可造成牙齒的嚴重磨耗,加重牙周組織負擔,可造成食物嵌塞,或使原有的牙周病變加重。
(4)咬嘴唇、咬筆、咬指甲、張口呼吸等。這些都可加重牙周組織的負荷,還可使前牙移位,出現塞牙等症狀,或使牙周組織原有病變加重。
(5)吸菸習慣。吸菸對全身骨胳都有影響,可加重骨骼的吸收,牙槽骨的吸收是牙周病的一個病變過程。
(6)職業習慣。如補鞋匠、木工等在工作時,習慣用牙咬鐵釘、鞋針或線等,對牙體及牙周均有損害,如牙冠出現缺口或前牙出現鬆動、移位等。
因此,患有牙周病的患者尤其應當注意糾正已養成的不良習慣,只有這樣,才能鞏固牙周病的治療效果。無牙周病的人,也應當戒除以上習慣,以免牙周組織受損。
牙周病的病因比較複雜,總的分為局部和全身兩方面的因素。局部因素具有相當重要的作用,全身因素可影響牙周組織對局部刺激的反應,兩者之間有密切關係。
局部因素:
1.菌斑是指粘附於牙齒表面的微生物群,不能用漱口、水沖洗等去除。現已公認,菌斑是牙周病的始動因子,是引起牙周病的主要致病因素。
2.牙石是沉積在牙面上的礦化的菌斑。牙石又根據其沉積部位和性質分為齦上牙石和齦下牙石兩種。齦上牙石位於齦緣以上的牙面上,肉眼可直接看到。在牙頸部沉積較多,特別在大涎腺導管開口相對處如上頜磨牙的頰側和下頜前牙的舌側沉積更多。齦下牙石位於齦緣以下、齦袋或牙周袋內的根面上,肉眼不能直視,必須用探針探查,方能知其沉積部位和沉積量。齦下牙石在任何牙上都可形成,但以鄰面和舌面較多。
齦上牙石中無機鹽的主要來源是唾液中的鈣、磷等礦物鹽。齦下牙石主要是齦溝液和滲出物提供礦物鹽。
牙石對牙周組織的危害,主要是它構成了菌斑附著和細菌滋生的良好環境。牙石本身妨礙了口腔衛生的維護,從而更加速了菌斑的形成,對牙齦組織形成刺激。
3.創傷性咬合在咬合時,若咬合力過大或方向異常,超越了牙周組織所能承受的合力,致使牙周組織發生損傷的咬合,稱為創傷性咬合。創傷性咬合包括咬合時時的早接觸、牙合干擾、夜間磨牙等。
4.其他包括食物嵌塞、不良修復物、口呼吸等因素也促使牙周組織的炎症過程。
全身因素:
牙周病的發生,局部因素是主要的。全身因素在牙周病的發展中屬於促進因子,全身因素可以降低或改變牙周組織對外來刺激的抵抗力,使之易於患病,並可促進齦炎和牙周炎的發展。
全身因素包括有:內分泌失調、如性激素、腎上腺皮質激素、甲狀腺素等的分泌量異常。飲食和營養方面可有維生素C的缺乏、維生素D和鈣、磷的缺乏或不平衡、營養不良等。血液病與牙周組織的關係極為密切,白血病患者常出現牙齦腫脹、潰瘍、出血等。血友病可發生牙齦自發性出血等。某些藥物的長期服用如苯妥英鈉可使牙齦發生纖維性增生;某些類型的牙周病如青少年牙周炎患者往往有家族史,因而考慮有遺傳因素。總之,牙周病的病因比較複雜,在治療時不僅要注意局部因素的消除,也要考慮到全身的狀態,以便獲得較好的治療效果。
檢查
牙齒咬合無力的檢查診斷
早期自覺症狀不明顯,患者常只有激發生性牙齦出血或口臭的表現,與齦炎症狀相似。檢查時可見齦緣、齦乳頭和附著齦的腫脹、質鬆軟,呈深紅色或暗紅色,探診易出血。
隨著炎症的進一步擴散,出現下列症狀:牙周袋形成:由於炎症的擴展,牙周膜被破壞,牙槽骨逐漸吸收,牙齦與牙根分離,使齦溝加深而形成牙周袋。可用探針測牙周袋深度。X線檢查時可發現牙槽骨有不同程度的吸收。
牙周溢膿:牙周袋壁有潰瘍及炎症性肉芽組織形成,袋內有膿性分泌物存留,故輕按牙齦,可見溢膿。並常有口臭。
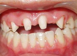
牙齒鬆動:由於牙周組織被破壞,特別是牙槽骨吸收加重時,支持牙齒力量不足,出現牙齒鬆動、移位等現象。
此時患者常感咬合無力、鈍痛,牙齦出血和口臭加重。當機體抵抗力降低、牙周袋滲液引流不暢時,可形成牙周脹腫。此時牙齦呈卵圓形突起,發紅腫脹,牙齒鬆動度增加,有叩痛。患者感局部劇烈跳痛,有時同時出現多個部位的膿腫,稱多發性牙周膿腫。此時患者可有體溫升高、全身不適,頜下淋巴結腫大、壓痛等症狀。
鑑別診斷
牙齒咬合無力易混淆的症狀
牙齒擁擠錯位排列不齊:牙列擁擠臨床表現為牙齒擁擠錯位排列不齊,主要為牙量大於骨量,而至牙弓形態異常。臨床表現為牙齒擁擠錯位排列不齊,主要為牙量大於骨量,而至牙弓形態異常。
牙齒縫隙大:是因為牙發育不好或後天牙損害造成的牙間大縫隙,導致吃東西塞牙縫或影響牙齒美觀。一是換牙的時候,恆牙生長出現偏差,而導致長出來的時候不齊導致稀疏和縫隙較大。二是牙齦可能發育不好,牙齦是牙齒支撐的基礎,如果出現營養不良也會導致牙齒髮育不良的。
牙齒結構異常:指牙齒髮育期間,在牙基質形成或基質鈣化時,受到各種障礙造成牙齒髮育的不正常,並且在牙體組織上留下永久性的缺陷或痕跡.常見的有:牙釉質發育不全,牙本質發育不全,氟斑牙和四環素染色牙。
牙齒鬆動和脫落:是指受外力撞擊、牙周病牙齦萎縮、年老牙齦營養性萎縮等因素造成牙齒鬆動,嚴重後造成牙齒脫落。多數成年人都患有牙周病,大多數牙周病進展緩慢,始發時多為牙齦炎,除偶有刷牙出血外並無多少自覺症狀,所以不引人注意。而牙齦炎發展到一定程度即為牙周炎,此時可出現嚴重口腔異味,牙周反覆膿腫,牙齒鬆動,牙縫越來越大,越來越稀疏,嚴重者牙齒脫落。患者若在此階段就診,醫生可以控制炎症惡化,但已破壞的牙周組織(包括牙齦萎縮)是不可逆的,很難完全恢復。
早期自覺症狀不明顯,患者常只有激發生性牙齦出血或口臭的表現,與齦炎症狀相似。檢查時可見齦緣、齦乳頭和附著齦的腫脹、質鬆軟,呈深紅色或暗紅色,探診易出血。
隨著炎症的進一步擴散,出現下列症狀:
牙周袋形成:由於炎症的擴展,牙周膜被破壞,牙槽骨逐漸吸收,牙齦與牙根分離,使齦溝加深而形成牙周袋。可用探針測牙周袋深度。X線檢查時可發現牙槽骨有不同程度的吸收。
牙周溢膿:牙周袋壁有潰瘍及炎症性肉芽組織形成,袋內有膿性分泌物存留,故輕按牙齦,可見溢膿。並常有口臭。
牙齒鬆動:由於牙周組織被破壞,特別是牙槽骨吸收加重時,支持牙齒力量不足,出現牙齒鬆動、移位等現象。
此時患者常感咬合無力、鈍痛,牙齦出血和口臭加重。當機體抵抗力降低、牙周袋滲液引流不暢時,可形成牙周脹腫。此時牙齦呈卵圓形突起,發紅腫脹,牙齒鬆動度增加,有叩痛。患者感局部劇烈跳痛,有時同時出現多個部位的膿腫,稱多發性牙周膿腫。此時患者可有體溫升高、全身不適,頜下淋巴結腫大、壓痛等症狀。
緩解方法
牙齒咬合無力的預防方法
牙周炎的治療以局部治療為主,首先是除去牙齦上方的牙石(醫學上稱為齦上牙石),然後除去牙周袋內的牙石(即齦下牙石),並刮除牙周袋內含有大量細菌毒素的病變牙骨質,經過這些治療後,牙齦紅腫可以消退,牙齦出血和牙周袋溢膿可消失。
形成了牙周袋後,通常對牙周袋進行藥物處理,可在牙周袋內置入各種藥物,如碘甘油、複方碘液或抗菌藥物,使牙周袋內保持較高的藥物濃度,消滅牙周袋的各種細菌,達到殺菌、消炎和收斂的作用。經上述治療後,療效不好者,則需進行牙周手術。
牙齒鬆動者,可採取不同方法,進行松牙固定術。對於病情嚴重,牙周組織破壞較多,無法保留的思牙,則需拔除。除局部治療外,症狀明顯嚴重者,可採取全身治療,即口服抗菌藥物,如甲硝哩,每天3次,每次0.2克,連服1周;螺旋黴素,每天4次,每次0.2克,連服1周;替硝唑,每天2次,每次0.5克。
牙周炎早期治療效果好,能使病變停止發展,牙周組織可得到一定程度的修復,因此,當牙齦出現紅腫,需及時到醫院檢查、診斷與治療。
治療初期:將口腔內所有髒東西儘量去除,包括病人本身口腔衛生清潔的完全配合,包括牙刷及牙線等,清潔工具的正確使用。而後以全口超音波洗牙,牙周囊袋深部結石的刮除及牙根整平術,去除不良物、咬合干擾等。
手術期:比較嚴重的患部,尤其牙周囊袋較深之處,需做牙周翻瓣術,方能徹底將結石及病變組織清除。牙周手術是一種局部而又安全的手術,在牙科門診即可施行。
局部麻醉下,將牙齦稍微翻開,牙周深部的結石、肉牙組織徹底清除,若有骨損失,可配合放置牙周再生膜及人工骨粉使破壞的骨組織再生,達到積極重建牙周組織的目的。
持期:再經歷上述的治療後,通常花了三個月至半年的時間,投注了這么多的時間與心力於其上,維持成果是極其重要的。除了要永久不間斷地做口腔清潔外,應依醫師指示,定期回診檢查,以充分掌握牙周及口腔情況。
1.局部治療(1)沽治:控制菌斑,去除局部刺激物,用沽刮術去除牙石。
(2)藥物:牙周袋及根面藥物處理,刮除齦下牙石後,對內壁的病理性肉芽用探針蘸腐蝕性藥物(如碘酚)進入牙周袋達到治療效果。
(3)手術:手術清除牙周袋,牙周袋不深者可將牙周袋切除,深牙周袋可採用內壁刮除術、切除新附著術、翻辨術等。
(4)固定松牙,形成牙周夾板,注意控制菌魔,拔除不能保留的病牙。
2.全身治療:選用促使牙周組織修復及輔助改善炎症的藥物,如牙周寧、中藥固齒劑、維生素類藥、滅滴靈、螺旋霉索等。

