疾病解釋
牙周-牙髓聯合病變(Periodontal-EndodonticCombinedLesions)即患牙同時存在牙髓炎症和牙周破壞。牙髓組織和牙周組織在解剖學方面是相互溝通的,因此兩者的感染和病變可以互相影響和擴散,導致聯合病變的發生。
疾病具體介紹
牙周組織與牙髓組織之間存在的交通途徑:1.根尖孔:是牙周組織和牙髓的重要通道,血管、神經和淋巴通過根尖孔相互通連,而感染和根管側支的解剖分布和副根管的位置(2張)炎症也易互動擴散。
2.根管側支(圖1,2):即牙根側壁上的交通支,在近根尖1/3處最多,故深牙周袋達根尖1/3處時,牙髓受影響的機會就大大增加。
牙周牙髓聯合病變3.牙本質小管:正常的牙根表面有牙骨質覆蓋牙本質,但約有10%-18%的牙齒在牙頸部無牙骨質覆蓋,牙本質直接暴露,在前牙更可高達25%。此外,牙頸部的牙骨質通常很薄,很容易被刮除或當有牙齦退縮時,薄層牙骨質被硬刷牙磨除,使下方的牙本質暴露,菌斑細菌的毒性產物、藥物及染料等均可雙向滲透而相互影響。
解剖異常:如上頜前牙的齶側畸形溝、牙骨質發育不良、牙根外吸收、根折裂等。
臨床表現
牙髓病變對牙周的影響
牙髓根尖周病對牙周組織的影響:本型的特點是○1牙髓無活力,或活力異常;○2牙周破壞較為局限;○3與根尖病變相連的牙周骨質破壞,呈燒瓶形,鄰牙的牙周基本正常或病變輕微。○4餘牙牙周破壞較輕
1.最常見的類型是根尖周感染的急性發作形成的牙槽膿腫,膿液可沿阻力較小的途徑向牙周組織排出。
此類型的牙周破壞的實質是牙髓炎症的排膿通道。膿液向牙周引流的途徑有二:○1沿牙周膜間隙向齦溝排膿,迅速形成單一的、窄而深達根尖的牙周袋(圖3)。○2膿液由根尖周組織穿透附近的牙槽骨達牙髓病變對牙周的影響(3張)到骨膜下,掀起軟組織向齦溝排出,形成寬而深的牙周袋,但不能探到根尖,多見於唇頰側骨板較薄處(圖4)。
其特點是:深牙周袋排膿是在短期內形成的,患牙無明顯的牙槽嵴吸收,余牙一般也沒有嚴重的牙周炎,患牙多為死髓牙,有牙髓、根尖周病引起的急性炎症。此型在臨床上易被誤診為牙周膿腫。
2.牙髓治療過程中或治療後造成的牙周病變
牙周牙髓聯合病變如根管治療過程中根管壁側穿或髓室底穿通、髓腔或根管內封入烈性要等,均可通過根分叉區或根管側支傷及牙周組織。
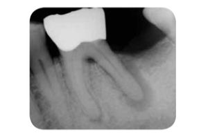
根管治療後,有些牙可能發生牙根縱裂。牙根縱裂也有不少發生在活髓牙。臨床表現為患牙有鈍痛、咬物痛、局限的深牙周袋,活髓牙的根縱裂還可見到典型的根管影像增寬(圖5),還可以反覆發生牙周膿腫,出現竇道。
牙周病變對牙髓的影響
1逆行性牙髓炎:由於深牙周袋內的細菌、毒素通過根尖孔或根尖1/3處的根管側支進入牙髓,牙周病變對牙髓的影響(2張)先引起根尖孔附近的牙髓充血和發炎,日久後,局限的慢性牙髓炎可急性發作,變現為典型的急性牙髓炎。檢查時可見患牙有深達根尖區的牙周袋或嚴重地牙齦退縮,牙齒一般鬆動度達Ⅱ度以上。牙髓有明顯的激發痛等。
2長期存在的牙周病變,袋內的毒素可對牙髓造成慢性、小量的刺激,輕者引起修復性牙本質形成,重者或持久後可引起牙髓的慢性炎症、變性、鈣化甚至壞死。這些牙可能一時尚未表現出牙髓症狀,但實際上已經發生病變。
3牙周治療對牙髓也有一定的影響。刮治和根面平整時,將牙根表面的牙骨質颳去,常使牙本質暴露,造成根面敏感和牙髓的反應性改變。牙周袋內或根面的用藥均可通過根管側支或牙本質小管刺激牙髓,在這些情況下,牙髓的反應長較局限且為慢性,臨床常無明顯症狀。某些高濃度的過氧化氫的牙齒漂白劑也可刺激牙髓引起症狀和頸部牙根吸收。
牙周病變與牙髓病變並存
指牙周炎和牙髓根尖周病同時發生在同一顆牙齒,各自為獨立病變。當病變發展到嚴重階段時,二者可相互融合和影響。[1-2]
治療方案
應儘量找出原發病因,積極地處理牙周、牙髓兩方面的病變,徹底消除感染源。牙髓根尖周病經徹底、正規的牙髓治療,預後較好;牙周病損的療效預測性則不如牙髓病,因此,牙周-牙髓聯合病變的預後在很大程度上取決於牙周病損的預後。由牙髓根尖病變引起的牙周病變預後一般較好。
1.由牙髓根尖病變引起牙周病變的患牙,應儘早進行牙髓治療。病程短者,牙周病變只是個排膿通道,經過根管治療後,牙周病變即可癒合。若病程長久,牙周排膿通道處就會有上皮長入,菌斑牙石深入袋內,牙周炎病變成立,其療效主要取決於牙周治療的效果。此時較合理的治療順序是:清除髓腔內的感染的牙髓—清除牙周袋內的感染—完善的根管充填。完成上述治療後數月後骨質仍無修復,或牙周袋仍深且炎症不能控制,可再行進一步的牙周治療如翻瓣術等。
2.患牙有深牙周袋,但牙髓活力測試顯示牙髓尚有活力時,可先行牙周治療觀察療效,效果不佳者,需再次明確牙髓的活力,對於檢查牙髓活力尚存但已遲鈍的患牙,不宜過於保守,應同時做牙髓治療,這有利於牙周病變的癒合。
3.逆行性牙髓炎:患牙能否保留主要取決於該牙的牙周病變和牙周治療的預後。治療順序:清除髓腔內的感染的牙髓—清除牙周袋內的感染—完善的根管充填。對於多根牙只有一個牙根有深牙周袋引起的牙髓炎,且患牙不松,則可在根管治療和牙周治療結束後,將患根截除保留患牙。如牙周病變已十分嚴重,或患牙過於鬆動,則可直接考慮拔牙。
在不能確定病原的情況下,死髓牙先做牙髓治療,配合牙周治療;活髓牙則先做牙周治療和調牙合,若療效不佳,再視情況行牙髓治療。

