死亡病因
死於瀰漫性肺泡損傷的病人在屍檢時,當打開胸腔後,見兩肺膨隆,整個肺葉發實,觸之較韌,呈灰紅或灰黑色,含氣少,肺表面皺紋減少,體積增大,重量增加,有時兩肺可重達2000餘克,肺切面呈灰紅色,含氣少。
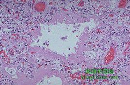
根據疾病的發展過程,可將瀰漫性肺泡損傷病理改變分為急性期(或稱滲出期)和增生期(或稱機化期)。在同一個病人的病變肺臟,可同時存在兩起的病理改變,它是一個連續的過程,兩者沒有明顯的分界。
急性期
早期的顯微鏡下改變是滲出性改變,在肺損傷12~24小時,主要表現為肺間質和肺泡內水腫伴有不等量的紅細胞滲出和纖維素沉積。透明膜發生在疾病開始的1天至數天,一般在第3~7天以後透明膜數量增多。在肺間質有炎性細胞浸潤,主要為淋巴細胞、漿細胞和吞噬細胞,有時在肺毛細血管或肺小動脈內可見纖維素血栓。
增生期
增生期開始在發病後的一周后或更長時間,其特點是肺泡間隔內有成纖維細胞浸潤,Ⅱ型肺泡細胞增生明顯,但間質和肺泡腔水腫和透明膜數量減少,肺泡腔內吞噬細胞包漿內有透明膜碎片和其他碎片。病變最終可導致肺間質纖維化和支氣管周圍纖維化。嚴重病人由於肺間質纖維化進展,廣泛破壞肺實質而形成蜂窩肺。
鑑別診斷
(1)瀰漫性肺泡損傷與急性間質性肺炎:急性間質型肺炎的病理組織學改變與瀰漫性肺泡損傷機化期相同,單從病理形態不能區分。一般要從臨床尋找病因,臨床無原因的急性呼吸窘迫綜合症,病理組織學為瀰漫性肺泡損傷機化期改變,且病理排除各種治病因子,則診斷為急性間質性肺炎。瀰漫性肺泡損傷與急性間質性肺炎不同的是瀰漫性肺泡損傷可以找到病因。瀰漫性肺泡損傷晚期為蜂窩肺要與尋常間質性肺炎鑑別。
(2)瀰漫性肺泡損傷與放射性肺炎:放射性肺炎常是由於胸部手術後,經放射治療而並發的繼發性肺部病變,大部分病變其本質是由於放射線引起的瀰漫性肺泡損傷,可分為急性和慢性兩期。急性放射性肺炎組織病理表現為瀰漫性肺泡損傷急性或機化期表現。早期透明膜和Ⅱ型肺泡上皮細胞增生為主,晚期可表現間質成纖維細胞增生,可見不典型肺泡上皮、核大、核染色質多、核仁明顯,但它無特異性。較特殊的病變是血管內膜和中膜內有泡沫細胞聚集。但在早期病變僅少數病例可見此病變。慢性期組織病理表現為非特異性纖維化,Ⅱ型肺泡上皮細胞和不典型增生,較急性期有明顯的血管病變,包括血管透明變和泡沫細胞沉積。
(3)嚴重急性呼吸綜合徵:嚴重急性呼吸綜合徵肺臟的病理改變,實質上是由變異的冠狀病毒感染引起的瀰漫性肺泡損傷,包括其急性期和機化期病理改變,由於是病毒感染,所以在肺泡上皮細胞或單核細胞內可見病毒包涵體樣物。
(4)系統性疾病累及肺:全身系統性疾病,如系統性紅斑狼瘡、多發性皮炎核皮肌炎均可引起肺損傷,可表現為瀰漫性肺泡損傷。

