原理
溫敏性水凝膠與其它水凝膠的不同之處在於它可以跟隨溫度變化進行可逆性溶膠-凝膠轉換。當溫度降低時,為溶膠狀態(像液體),當溫度較高時形成水凝膠。
在實驗操作中,該特性特別有利於進行細胞操作,比如可輕鬆向冷確的溫敏性水凝膠中加入培養基,可通過給培養瓶降溫的方式進行細胞離心收集。
在凝膠狀態時,它的高親脂性為細胞增殖、細胞信號轉導、氣體質量交換以及細胞和組織對剪下力的防禦等提供了非常有效的生長環境。
優點
●易於操作
● 無毒性,生物相容性好
● 100%合成,無病原體
● 透明度高,利於細胞觀察
● 性能完善
套用
● 幹細胞和多能幹細胞培養,增殖和分化
● 3D細胞培養
● 細胞移植
● 器官和組織再生
● 藥物傳遞
● 非細胞培養套用
使用案例
1. 培養原發性腫瘤細胞
選取人腫瘤組織中的原發性腫瘤細胞進行培養該技術能夠鑑定來自患者的原發性腫瘤細胞的表征,因此可根據其主要細胞化學敏感性,惡性腫瘤,轉移酶活性和其它參數對患者的治療進行評估。在膠原或者3D凝膠中培養原發性腫瘤細胞,纖維細胞的過度生長可能對其產生抑制作用。而成纖維細胞在溫敏性水凝膠中不容易增殖,因此能選擇性增殖原代腫瘤細胞,以便後續進一步分析鑑別。
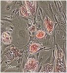
溫敏性水凝膠人結腸癌組織在溫敏性水凝膠中培養10天。只有原發性腫瘤細胞增殖。
圖 1:人體癌變結腸組織培養10天。
(提供者:Dr. S. Kubota, Dept. of General Surgery, St.Marianna University School of Medicine)
成纖維細胞在溫敏性水凝膠中生長受到抑制,而在膠原蛋白和其它許多3D凝膠培養基質中,長滿成纖維細胞,阻止癌細胞的增殖。
溫敏性水凝膠圖 2:細胞生長曲線
2. 幹細胞培養
獼猴胚胎幹細胞用不含LIF的溫敏性水凝膠培養(右圖),和2D飼養層培養(左圖)相比,發現形態學和鹼性磷酸酶染色均未分化。
溫敏性水凝膠圖 3提供者:Dr. K. Hishikawa, Dept of Clinical Renal Regeneration, University of Tokyo.
溫敏性水凝膠
合併圖冊圖 4
左圖:2D 飼養層培養。
右圖:不含LF的3D 溫敏性水凝膠培養(5天)。
3.球狀體形成
溫敏性水凝膠溫敏性水凝膠可支持腫瘤細胞系和iPS細胞形成球體。
圖 5:粘液表皮樣癌(膽管癌)衍生細胞系在溫敏性水凝膠中形成球狀體。
(提供者: Dr. S. Kubota, Dept. of General Surgery, St. Marianna University School of Medicine)
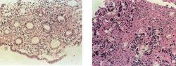
4. 保持組織結構
溫敏性水凝膠溫敏性水凝膠提供的環境,有利於維護組織結構在長期培養。 (圖6)
左圖:正常結腸黏膜組織在溫敏性水凝膠中培養7天后。
右圖:轉移性肝癌組織在溫敏性水凝膠中培養21天后。
(提供者:Dr. S. Kubota, Dept. of General Surgery, St. Marianna University School of Medicine)
5.體幹細胞選擇性分離培養
Epithelial Stem Cells fromDermis by a Three-dimensional Culture System
6.體外3D軟骨細胞培養再生軟骨組織
Chondrocytes Containing Growth Factors in a Novel Thermoreversible Gelation Polymer Scaffold
7.體外3D培養hMSC進行骨誘導
Gene expression profile of human mesenchymal stem cells during osteogenesis in three-dimensional thermoreversible gelation polymer
8.人類肝細胞3D培養HCV
Production of infectious hepatitis C virus particles in three-dimensional cultures of the cell line carrying the genome-length dicistronic viral RNA of genotype 1b
9.局部加熱控制通道(晶片細胞分選系統)
On-Chip Cell Sorting System Using Laser-Induced Heating of a Thermoreversible Gelation Polymer to Control Flow

