病因
胃穿孔最常見的原因是消化性潰瘍。由於潰瘍不斷加深,穿透肌層,漿膜層,最後穿透胃或十二指腸壁而發生穿孔。穿孔後可發生幾種不同後果。如穿孔前潰瘍底已與胰肝等鄰近臟器發生粘連,形成穿透性潰瘍,此為慢性穿孔,少數病例潰瘍底與橫結腸粘連,穿孔後形成胃結腸瘺。以上兩種情況大多發生在胃,十二指腸後壁潰瘍穿孔,如潰瘍穿孔後迅速與大網膜或附近臟器發生粘連,則可穿孔周圍形成膿瘍。
診斷
1.腹痛
突然發生劇烈腹痛是胃穿孔的最初最經常和最重要的症狀。疼痛最初開始於上腹部或穿孔的部位,常呈刀割或燒灼樣痛,一般為持續性,但也有陣發生性加重。疼痛很快擴散至全腹部,可擴散到肩部呈刺痛或酸痛感覺。
2.休克症狀
穿孔初期,患者常有一定程度休克症狀,病情發展至細菌性腹膜炎和腸麻痹,病人可再次出現中毒性休克現象。
3.噁心、嘔吐
約有半數病人有噁心、嘔吐,並不劇烈,腸麻痹時嘔吐加重,同時有腹脹,便秘等症狀。
4.其他症狀
消化道穿孔 發燒、脈快、白細胞增加等現象,但一般都在穿孔後數小時出現。
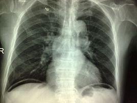
消化道穿孔檢查
1.體格檢查:腹壁壓痛,反跳痛、肌緊張腹膜炎症狀,肝濁音區縮小或消失。
2.腹腔穿刺抽出膿性液體,診斷結果較為明確。
3.X線,B超,CT檢查,確診疾病。
鑑別
急性胃炎
一、過去多有典型的胃病史。就是心窩部有規律性燒灼樣痛、反酸、噯氣,進食或服鹼性藥後疼痛可緩解。有的經醫院檢查已確診為潰瘍病,近日多因飲食不節、受涼或精神緊張等原因使胃病復發。
二、感到心口窩部持續劇烈刀割樣疼痛,並迅速蔓延到右下腹或全腹部。
三、腹痛同時伴有噁心嘔吐,病人常用面色蒼白、四肢發涼、出冷汗、心慌氣短、脈搏快而弱、血壓下降等表現。
四、因腹膜受刺激,全腹部有壓痛,腹部硬如木板,按壓腹部的手突然抬起,腹痛劇烈難忍。急性胃穿孔的處理要根據病人的年齡、潰瘍病史長短、估計流出消化液少,可能穿孔小,閉合可能性大,可先行非手術治療。
如果病人年齡大、病史長,穿孔不易閉合,即使閉合也易復發,或者在非手術治療中,病情加重,應進行手術治療。
1.腹痛
突然發生劇烈腹痛是胃穿孔的最初最經常和最重要的症狀。疼痛最初開始於上腹部或穿孔的部位,常呈刀割或燒灼樣痛,一般為持續性,但也有陣發生性加重。疼痛很快擴散至全腹部,可擴散到肩部呈刺痛或酸痛感覺。
2.休克症狀
穿孔初期,患者常有一定程度休克症狀,病情發展至細菌性腹膜炎和腸麻痹,病人可再次出現中毒性休克現象。
3.噁心、嘔吐
約有半數病人有噁心、嘔吐,並不劇烈,腸麻痹時嘔吐加重,同時有腹脹,便秘等症狀。
4.其他症狀
發燒、脈快、白細胞增加等現象,但一般都在穿孔後數小時出現。
檢查
1.體格檢查:腹壁壓痛,反跳痛、肌緊張腹膜炎症狀,肝濁音區縮小或消失。
2.腹腔穿刺抽出膿性液體,診斷結果較為明確。
3.X線,B超,CT檢查,確診疾病。
預防
1.少吃油炸食物:因為這類食物不容易消化,會加重消化道負擔,多吃會引起消化不良,還會使血脂增高,對健康不利;
2.少吃醃製食物:這些食物中含有較多的鹽分及某些可致癌物,不宜多吃;
3.少吃生冷食物刺激性食物:生冷和刺激性強的食物對消化道黏膜具有較強的刺激作用,容易引起腹瀉或消化道炎症;
4.規律飲食:研究表明,有規律地進餐,定時定量,可形成條件反射,有助於消化腺的分泌,更利於消化;
5.定時定量:要做到每餐食量適度,每日3餐定時,到了規定時間,不管肚子餓不餓,都應主動進食,避免過飢或過飽;
6.溫度適宜:飲食的溫度應以“不燙不涼”為度;
7.細嚼慢咽:以減輕胃腸負擔。對食物充分咀嚼次數愈多,隨之分泌的唾液也愈多,對胃黏膜有保護作用;
8.飲水擇時:最佳的飲水時間是晨起空腹時及每次進餐前1小時,餐後立即飲水會稀釋胃液,用湯泡飯也會影響食物的消化;
9.注意防寒:胃部受涼後會使胃的功能受損,故要注意胃部保暖不要受寒;
10.避免刺激:不吸菸,因為吸菸使胃部血管收縮,影響胃壁細胞的血液供應,使胃黏膜抵抗力降低而誘發胃病。應少飲酒,少吃辣椒、胡椒等辛辣食物;
11.補充維生素C:維生素C對胃有保護作用,胃液中保持正常的維生素C的含量,能有效發揮胃的功能,保護胃部和增強胃的抗病能力。因此,要多吃富含維生素C的蔬菜和水果。

