疾病特徵
肝血管肉瘤疾病病因
絕大多數肝血管肉瘤病因不明。Folk 等調查168 例,其中75%的病例原因不明。國外報導一些與化學物質有關的肝血管肉瘤,認為與接觸氯乙烯有關,美國一個氯乙烯廠1183 名工人中有7 例發生肝血管肉瘤,平均潛伏期為17 年。少數還可發生於服用合成類固醇、雌激素及避孕藥後,其潛伏期在10 年以上。
病理生理
肝細胞肝血管肉瘤的演變過程可能有下列5 個主要途徑:
①肝小葉竇內皮細胞從非典型增生到間變細胞增生;
②肝細胞初期增生,隨之萎縮和消失;
③竇周間隙纖維組織增生;
④進行性竇擴張到血腫形成;
⑤竇壁細胞和匯管區毛細血管內皮細轉化為肉瘤細胞。
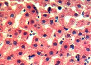
1.大體檢查
腫瘤多為單個圓形灶,邊界較清,可有纖維包膜。切面為灰白或棕黃凍膠狀發亮組織,與出血、壞死灶交錯排列,瘤體內可見充滿不凝血液的大腔隙。在同膠質二氧化釷或氯化烯接觸的病例還常見有網質狀纖維化,脾臟也常腫大。
2.病理組織學檢查
腫瘤由紡錘狀或不規則形狀的惡性內皮細胞構成,其邊界不清。細胞質嗜酸性、核深染,形態狹長或不規則,胞核核仁可大可小,同樣嗜酸性。亦可見大而異形的細胞核以及多核細胞,核分裂象常見。薄壁靜脈散布於腫瘤內,約半數病例見有造血細胞灶。免疫組織學檢查可見瘤細胞中存在有Ⅷ因子相關抗原。腫瘤細胞沿著原有血管腔增殖,肝終端小靜脈和門靜脈分支亦顯示增殖。腫瘤細胞在肝血竇內增殖可導致進行的肝細胞萎縮,肝板斷裂,血管腔增大形成大小不一的空腔。腔壁粗糙不平,內壁襯以腫瘤組織細胞,有時為息肉樣或乳頭狀突出物,腔內充滿凝血塊和腫瘤細片。腫瘤侵及肝終端小靜脈和門靜脈分支可導致這些血管的堵塞,此可解釋為何腫瘤常易發生出血、梗死和壞死。有時腫瘤細胞密聚成小結節狀實性團塊,類似纖維肉瘤。
診斷檢查
白細胞診斷:
有氯乙烯接觸史,常有白細胞、血小板減少,凝血酶原時間延長,肝功能異常,ALP 升高,高膽紅素血症,X 線、CT、肝核素掃描發現肝占位和充盈缺損等變異。Burston 提出3 項診斷標準可供參考:①病理形態似庫普弗細胞;②有血管形成傾向;③有吞噬現象。診斷依靠病理檢查,以肝組織活檢為最可靠。
實驗室檢查:
包括貧血、白細胞增多(65%)或白細胞減少(25%),血小板減少(62%)。約2/3 的病人有肝功能異常。一組病例磺溴酞鈉瀦留試驗(BSP)陽性者占100%,ALP 升高占85%,凝血酶原時間延長占72%,高膽紅素血症60%,部分病人有ALT升高。
其他輔助檢查:
胸部X線片可示有肺不張或胸膜腫塊,在同膠質二氧化釷有關的血管肉瘤病例中,腹部平片能發現不透明的肝、脾和腹腔淋巴結影。CT 可發現不勻質低密度占位病變及腫瘤破裂影像。肝血管造影顯示異常血管形態,腫瘤周邊持續染色和中央放射透光區。
鑑別診斷
臨床上肝血管肉瘤易與肝瀰漫性毛細血管瘤相混淆,也很難與肝母細胞瘤相鑑別,在成年人肝血管肉瘤須與未分化肝細胞癌鑑別,前者如前述病理部分,瘤細胞質呈嗜酸性,後者呈嗜鹼性,而且異質明顯。多處取材可見癌細胞帶有肝細胞性狀,可資鑑別。
治療方案
局限性結節不伴有肝硬化者,爭取早期發現,早期手術切除。不能切除的腫瘤,可採用化療藥物氟尿嘧啶、長春新鹼、環磷醯胺、多柔比星(阿黴素)、表柔比星(表阿黴素)和(或)放療,可延長病人生存期。
併發症
本病約25%合併肝硬化。腫瘤破裂可致血腹。因腫瘤記憶體在動靜脈分流可引起心力衰竭。血小板在腫瘤內大量消耗,可引起彌散性血管內凝血。
預防措施
1、設備密閉氯乙烯製造和聚氯乙烯製造過程中,都必須做好管道的密閉。注意設備的維修和保養,杜絕跑、冒、滴、漏。2、清釜技改以往聚合釜人工清釜,一釜一清,清釜工要接觸大量氯乙烯。技術改造後,聚合釜壁塗防結劑,幾十釜甚至上百釜清一次。清釜用高壓水(10MPa)清洗,避免了工人直接接觸氯乙烯。
3、抽取單體從聚氯乙烯樹脂成品中經冷卻真空抽取氯乙烯單體,使成品中的氯乙烯單體含量由原來的1%左右,降到10ppm以下。這樣使聚氯乙烯成品的熱加工中,釋放氯乙烯單體的量極大減少,減少了污染和危害。
4、做好個體防護進入聚合釜操作或檢修時,必須戴空氣呼吸器,嚴密防護,並加強換班,縮寫縮短接觸。
5、定期檢測氯乙烯作業環境的空氣中氯乙烯濃度要定期檢測。國家的衛生標準為30mg/m3。
6、做好職業性體檢對氯乙烯作業工人應認真進行就業前和定期性(每年一次)體檢。
