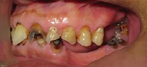
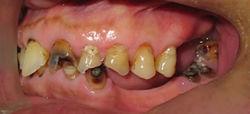
危害
1、一旦形成了殘冠、殘根,牙齒的髓腔、根管就暴露於口腔的有菌環境之中,細菌可以通過根管而到達根尖,形成根尖周圍炎,使牙齒成為病灶牙,進一步還可以引起全身的其它疾病。
2、殘根殘冠繼續發展,不斷剌激黏膜,口腔黏膜甚至可能惡變,形成口腔癌。
3、童乳牙的殘冠、殘根可能引起恆牙的牙釉質發育不全,遺留的殘根還可以引起恆牙萌出過早或過晚,影響恆牙萌出的時間和位置,導致牙列畸形。
治療
殘根殘冠1、乳牙的殘冠、殘根,引起根尖周炎,或影響恆牙的萌出時,應予拔除。
2、恆牙的殘冠、殘根,根尖周病損較大,牙周情況不良,或對口腔黏膜有長期慢性刺激時,應予拔除。
3、牙周情況較好,根尖周病損不大的殘冠,可以先進行徹底的根管治療,然後可通過根管打樁進行修復,最後進行全冠修復恢復其外型和功能。
4、牙周情況較好,根尖周病損不大,牙根粗壯的殘根,可以先予徹底的根管治療,後進行樁冠修復,或保留進行覆蓋義齒修復。
殘根處理方法
殘根,即由於牙冠被破壞後留下的牙根,多數患者看到自己殘缺不全,並且不時作痛的牙根,不以為然,覺得它沒什麼用,應該拔掉,但如果您殘留的牙根能得到及時妥善處理,充分利用,會給您帶來很大的益處。
1、利用殘根做單純根樁或金屬核樁來恢復牙冠,這種方式叫樁冠,既舒適又美觀,足以亂真。
2、在殘根兩側少數牙缺失時,適用處理後的牙根做樁冠固位體或金屬核固位體,將大大提高義齒的質量。
3、將殘根做金屬蓋帽後,再做活動覆蓋義齒,此時,不僅可以保存牙槽嵴的功能,減緩牙槽骨吸收,且有利於咬壓力傳導,並能防止義齒下沉,這好像水中的暗橋墩樣。對橋的穩固起著重要作用。
4、全口多數牙缺失時,保留殘根有利義齒的固位及增加義齒的穩定性,提高修復效果。

