發病機制
橈骨頭骨折多發生在平地跌倒或體育運動時致傷。跌倒時,肘關節伸直並在肩關節外展位手掌著地,使肘關節置於強度的外翻位,導致橈骨頭猛烈地撞擊肱骨小頭,引起橈骨頭骨折。有時,這種類似暴力可能導致肱骨小頭骨折或肘關節內側損傷,如肱骨內上髁撕脫骨折。
由於橈骨頭與其頸、乾並不排列在一條直線上,而是向橈側偏心地與頸部相接,故橈骨頭外側1/3的骨小梁不與頸、幹部垂直,形成力學上的薄弱部。當外力致使橈骨肱骨小頭撞擊時,橈骨頭外1/3骨小梁不與頸、幹部垂直,形成力學上的薄弱部。當外力致使橈骨肱骨小頭撞擊時,橈骨頭外1/3缺乏抗衡剪下力的作用,故該部骨折機會明顯增多。
症狀
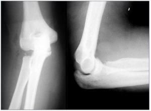
橈骨頭骨折橈骨頭骨折主要臨床表現是肘關節功能障礙及肘外側局限性腫脹和壓痛。尤其前臂鏇後功能受限最明顯。拍攝肘關節前後位和側位X線片可以診斷並能確定骨折類型。骨折的分類法能夠代表損傷程度,並可提供選擇治療方法的依據。必要時可做雙側對比攝片,藉此鑑別。
橈骨頭骨折有Mason分類、Keonconen分類、Morrey分類等。其中Mason分類為大家所接受:
Ⅰ型:為線狀骨折,即無移位型骨折,骨折線可通過橈骨頭邊緣或呈劈裂狀。
Ⅱ型:為有移位的骨折,有分離的邊緣骨折。
Ⅲ型:為粉碎型骨折,移位或無移位或呈塌陷性骨折。
Ⅳ型:為橈骨頭骨折伴有肘關節脫位。
外傷史,肘關節功能障礙及肘外側局限性腫脹和壓痛。尤其前臂鏇後功能受限最明顯。X線能確診骨折及分型。
檢查
肘關節正側位X線片和三維CT能夠顯示骨折及分型。
併發症
軟組織損傷嚴重時,可出現異位骨化。
治療
1.Ⅰ型
可以保守治療,套用肘關節石膏托,肘關節屈曲90°功能位,固定4周。
2.Ⅱ型
治療方法較多,眾家觀點不同,大致如下:
(1)骨折塊占橈骨頭的1/4以上(Mason)或2/3以上(Radin)時,手術治療。
(2)骨折有30°以上傾斜或3mm以上塌陷者,手術治療。
3.Ⅲ型
大多採用切開復位內固定手術治療。其中部分病例橈骨頭雖呈粉碎骨折,但無明顯移位,橈骨頭外形尚保持完整,可行保守治療。合併下尺橈關節以及肘內側副韌帶損傷時,是人工橈骨頭置換的適應證。
4.Ⅳ型
儘量保留橈骨頭,如果無法復位和內固定,則行橈骨頭置換。此外還需修復肘關節側副韌帶,並以石膏或外固定架固定肘關節。

