介紹
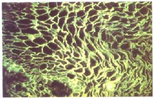
相鄰的棘細胞以橋粒相接。靠近淺層的棘細胞逐漸變成扁平形。棘細胞的細胞核位於中央,呈圓形或卵圓形,細胞質較豐富,嗜鹼性。電鏡觀察,有很多粗大的排列不規則的張力細絲,附著在橋粒的附著板上。此外,還有少量的卵圓形的膜被顆粒(membramecoating granules)。 棘細胞癌
是從表皮的棘細胞發生的皮膚癌這種癌的特徵是發生在面部、手腳等暴露部位,有各種各樣的癌前病變。所謂癌前病變包括有作為誘因的燒傷和外傷後的瘢痕、放射線損害、日光性角化病、鮑溫(Bowen)病、慢性炎症、化膿性肉芽腫和化學物質等。但是原因不明的也有不少。
棘細胞癌的發生頻率就數量而言,在皮膚癌中是最多的,最近稍微有些減少。一般認為,一年的患病數在1500人左右,根據國家癌症中心的統計,男性比女性多1.5倍左右,發病的高峰年齡在60~69歲。
如不進行處理,可轉移至淋巴結和內臟。70%以上有淋巴結轉移的可以治療,但已有內臟轉移的,有死亡的危險。
相關圖片
棘細胞
棘細胞
棘細胞
