概念
核磁共振,是指核磁矩不為零的原子核,在外磁場的作用下,核自旋能級發生塞曼分裂(Zeeman Splitting),共振吸收某一特定頻率的射頻輻射的物理過程。
核磁共振信號是大量核的貢獻的總和。
受激輻射和受激吸收 的幾率相同,此外,在射頻場作用下的淨躍遷由上下能級的布居數之差決定。
發展歷史
核磁共振技術的歷史
1930年代,物理學家伊西多·拉比發現在磁場中的原子核會沿磁場方向呈正向或反向有序平行排列,而施加無線電波之後,原子核的自旋方向發生翻轉。這是人類關於原子核與磁場以及外加射頻場相互作用的最早認識。由於這項研究,拉比於1944年獲得了諾貝爾物理學獎 。
1946年兩位美國科學家布洛赫和珀塞爾發現,將具有奇數個核子(包括質子和中子)的原子核置於磁場中,再施加以特定頻率的射頻場,就會發生原子核吸收射頻場能量的現象,這就是人們最初對核磁共振現象的認識。為此他們兩人獲得了1950年度諾貝爾物理學獎。
工作原理
核磁共振的基本原理是:原子核有自旋運動,在恆定的磁場中,自旋的原子核將繞外加磁場作迴旋轉動, 叫進動(precession)。進動有一定的頻率,它與所加磁場的強度成正比。如在此基礎上再加一個固定頻率的電磁波,並調節外加磁場的強度,使進動頻率與電磁波頻率相同。這時原子核進動與電磁波產生共振,叫核磁共振。核磁共振時,原子核吸收電磁波的能量,記錄下的吸收曲線就是核磁共振譜(NMR-spectrum)。由於不同分子中原子核的化學環境不同,將會有不同的共振頻率,產生不同的共振譜。記錄這種波譜即可判斷該原子在分子中所處的位置及相對數目, 用以進行定量分析 及分子量的測定,並對有機化合物進行結構分析。
學科分支
核磁共振技術主要有兩個學科分支: 核磁共振波譜(Nuclear Magnetic Resonance Spectroscopy)和 磁共振成像(Magnetic Resonance Imaging,簡稱MRI )。核磁共振波譜技術是基於化學位移理論發展起來的,主要用於測定物質的化學成分和分子結構。磁共振成像技術誕生於 1973年,它是一種無損測量技術,可以用於獲取多種物質的內部結構圖象。由於核磁共振可獲取的信息豐富,因此套用領域十分廣泛,如分析化學、生 命科學、材料檢測、石油勘探和水資源探查等等。
在這諸 多套用中,生命科學方面的套用是近年來發展最為迅速的,已經成為當前核磁共振技術研究的熱點。據不完全統計,從1985 年到 2001 年間發表在《Science》上的與核磁共振有關的 602 篇文獻中有 80 % 屬於生命科學。
相關科研及成果
人們在發現核磁共振現象之後很快就產生了實際用途 ,化學家利用分子結構對氫原子周圍磁場產生的影響,發展出了核磁共振譜,用於解析分子結構,隨著時間的推移,核磁共振譜技術不斷發展,從最初的一維氫譜發展到13C譜、二維核磁共振譜等高級譜圖,核磁共振技術解析分子結構的能力也越來越強,進入1990年代以後,人們甚至發展出了依靠核磁共振信息確定蛋白質分子三級結構的技術,使得溶液相蛋白質分子結構的精確測定成為可能。
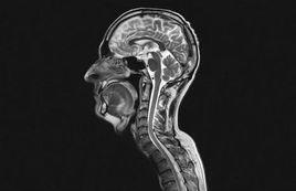
另一方面,醫學家們發現水分子中的氫原子可以產生核磁共振現象,利用這一現象可以獲取人體內水分子分布的信息,從而精確繪製人體內部結構,在這一理論基礎上1969年,紐約州立大學南部醫學中心的醫學博士達馬迪安通過測核磁共振的弛豫時間成功的將小鼠的癌細胞與正常組織細胞區分開來,在達馬迪安新技術的啟發下紐約州立大學石溪分校的物理學家保羅·勞特伯爾於1973年開發出了基於核磁共振現象的成像技術(MRI),並且套用他的設備成功地繪製出了一個活體蛤蜊地內部結構圖像。勞特伯爾之後,MRI技術日趨成熟,套用範圍日益廣泛,成為一項常規的醫學檢測手段,廣泛套用於帕金森氏症、多發性硬化症等腦部與脊椎病變以及癌症的治療和診斷。2003年,保羅·勞特伯爾和英國諾丁漢大學教授彼得·曼斯菲爾因為他們在核磁共振成像技術方面的貢獻獲得了當年度的諾貝爾生理學或醫學獎。
從70年代後期起,隨著計算機和NMR在理論和技術上的完善,NMR無論在廣度、深度上都獲得了長足的發展,它已成為物理、化學、生物、醫學和地學研究中必不可少的實驗手段。
在生物研究上的套用
生物膜上含有的H、C、P等具有非零自旋的磁性核 ,當與外磁場和射頻場相互作用,並且滿足共振條件時,將吸收射頻場能量而發生自旋能級間的躍遷,這就是核磁共振(NMR)的基本原理。由於NMR技術可以對含水樣品進行非破壞性測量,從而使觀測能在接近生理條件下實現,並可通過生物膜上H、C和P進行綜合研究,尤其是可以從原子或基團水平上提供分子的動態結構和運動的信息,是研究生物膜結構的有力工具。
生物膜主要由蛋白質和脂質組成,結構比較複雜,而磷脂脂質體卻能表現出生物膜結構的許多性質,是生物膜的理想模型。磷脂脂質體主要以凝膠相和液晶相存在,在凝膠相,分子的局部運動很慢,分子間和分子內的偶極相互作用沒有被有效地平均,所以NMR譜線很寬,得到的信息非常少;而在液晶相,分子局部運動受到的限制減少,運動加快,從而使NMR譜線窄化,得到高分辨的NMR譜。
NMR技術在生物膜結構研究中套用非常廣泛。用H、C和P NMR譜可以鑑定磷脂的種類。通過弛豫時間測定的方法可以研究磷脂雙分子層不同部位的流動性。將磷脂分子不同位置的氫選擇氘代,用H四極分裂和P化學位移各向異性的方法可以研究磷脂脂醯鏈的流動性、極性基團的構象以及磷脂與其它分子的相互作用(蛋白質、藥物和金屬離子等),利用P化學位移各嚮導性方法可以研究磷脂的多形性。近年來,隨著NMR技術的發展,二維(2D)和固體高分辨NMR技術也被套用於生物膜研究領域,並且已成為非常重要的手段。利用通過化學鍵建立的相關譜(如COSY等)可以進行多組分磷脂或磷脂與其它分子混合體系每個基團的譜線歸屬。而通過空間建立的相關譜(如NOESY等)可以直接提供基團之間距離的信息,是研究膜脂結構以及與其它分子相互作用的有力工具。固體高分辨技術不僅可以研究液晶態的磷脂,而且可以套用於凝膠態磷脂的研究中。
對於某一種磁性核,其磁矩在磁場中可以有不同的取向。對於質子而言,可以有兩種取向,即與靜磁場平行和反平行,前者屬於低能態,後者屬於高能態。如果在垂直於靜磁場的方向上加一個射頻場,當射頻場的頻率與核的Larmor頻率(核磁矩繞磁場方向進動頻率)相等時,處於低能態的核子便吸收射頻能,躍遷到高能態。射頻場去掉後,高能態的核子通過弛豫過程又回到低能態,從而就能觀察到NMR的信號。弛豫過程有兩種,一種是自旋—晶格弛豫,此過程用T1表示;另一種是自旋—自旋弛豫,用T2表示。T1是描述自旋體系吸收能量後將其能量轉移給它周圍環境而恢復到平穩態的時間,T2過程中自旋體系內部有能量的偶合,自旋體系總能量沒有變化。弛豫時間與分子運動有關,通過弛豫時間的測定,可以研究生物膜各部位的流動性。
生物膜C和P化學位移各向異性與運動有很大關係。所謂化學位移各向異性,是指核所處的靜磁場方向改變,核的共振頻率(即化學位移)就發生變化,由於I=的核周圍電子密度分布是球對稱,所以如果靜磁場方向改變, 核的有效感應磁場也就隨之變化,處於不同形態,其運動方式不同,因而化學位移被平均的取向也不同。通過P化學位移各向異性可以研究磷脂的多形性;此外,還可以用I=1的H各向異性(四極分裂)譜研究磷脂分子空間取向的平均分布信息。
2D NMR有別於常規一維(1D)NMR的主要點在於1D NMR只涉及一個頻率變數,是吸收峰強度對一個頻率變數作圖;而2D NMR譜則代表兩個獨立頻率,是吸收峰強度對兩個頻率變數作圖。一般將2D NMR實驗分4個區域,即預備期、發展期(t1)、混合期(可以沒有)和檢測期(t2)。預備期是為了使磁化矢量達到適當的初始態而設定的,接著在發展期磁化矢量進行演化,在混合期內自旋系統發生相干轉移,最後在檢測期信號被檢測。逐次改變t1反覆循環累加,最後將所得數據進行兩次傅立葉變換:即可得到2D NMR譜。2D NMR譜可分為通過化學鍵和空間建立起來的兩類相關譜,兩類2D NMR譜對譜線歸屬都非常重要,後者對於生物膜分子空間構象研究也非常有力。
綜上所述,核磁共振分析方法在生物研究 上的套用主要有以下幾個方面:
•測定溶液中生物大分子的三維空間結構;
•分析生物大分子在溶液狀態下的分子動力學;
•研究蛋白質的相互作用和酶的作用機理等;
•解析固體膜蛋白和纖維蛋白的結構和運動性質;
•基於蛋白質靶點的藥物篩選和設計;
•研究活體狀態下生物分子的功能活動和生理代謝。
NMR發展動向
NMR在21世紀的發展動向為以下幾個方面:
•提高磁體的磁場強度:預期21世紀將會出現大於1GHz的NMR 譜儀,將使生物大分子的結構研究有重大突破。
•發展三維核磁共振技術(3D-NMR):隨著NMR譜在生物大分子結構分析中的套用,NMR技術所提供的結構信息的數量和複雜性呈幾何級數增加。對三維空間的構象和大分子與小分子(或小分析與小分子)之間的相互作用等,二維核磁共振(2D-NMR)已顯得無能為力了,因此要發展分子建模技術,利用NOE所提供的分子中質子間的距離信息來計算三維空間結構。
•固體NMR 和NMR成像技術:這在生命科學、生物醫學和材料學中將是至關重要的,將會在分子結構特徵和動態特徵研究方面有所突破。

