

相關詞條
-
上皮
epithelium 動物體內外的所有游離面上被覆著的細胞層。構成它的組織稱為上皮組織,其細胞稱為上皮細胞。原則上在上皮內見不到血管,並且幾乎沒有非細胞...
-
宮頸鱗狀上皮增生
宮頸鱗狀上皮增生是指宮頸糜爛區的柱狀上皮轉變成鱗狀上皮的過程。這種轉化的鱗狀上皮的細胞,無論是從它的形狀結構上看,還是從它的生物學特性上看,都是屬於正常...
基本概況 症狀 -
上皮樣肉瘤
上皮樣肉瘤(ES)是臨床比較少見的上皮樣軟組織腫瘤,其組織來源不明,部分學者認為它可能是起源於具有多向分化潛能的原始間葉細胞的腫瘤。有報導稱占全部軟組織...
病因 臨床表現 檢查 診斷 治療 -
臀上皮神經痛
mg(或強的松龍1 ml)+維生素B12 mg,注畢後局部按摩片刻。
病理及症狀 相關條目 -
感覺細胞
感覺細胞(sen cell,sen cell)亦稱知覺細胞。
-
感覺終器
感覺終器是通過觀察靈長類動物指神經切斷後感覺終器的蛻變和不同時間修復神經後感覺終器的重建過程,發現觸覺小體失神經支配30周基本蛻變消失;在觸覺小體消失前...
感覺終器 相關資料 參考資料 -
感覺棍
在水母中,其感光器官被稱為感覺棍,有重力感。 在水母軟體動物中可見。 在水母中,其感光器官被稱為感覺棍,有重力感。
感覺棍 相關資料 -
臀上皮神經乾痛
臀上皮神經乾痛是一種疾病名,多發於寒冷地區及體力勞動者。臨床上十分多見,多發於寒冷地區及體力勞動者,坑道作業者發病率尤高。 臀上皮神經干係由腰1,2、3...
概述 病因 治療 -
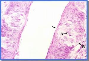
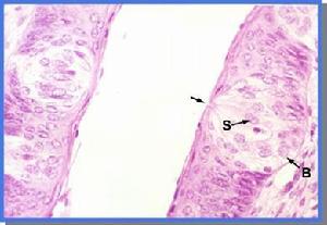
上皮組織
上皮含有感覺細胞(初生的、次生的),具有刺激的感受機能。是由上皮細胞特化...,因此感覺較靈敏。例如,皮膚的表皮和支氣管上皮就如此。細胞間連線在上皮細胞...分類被覆上皮 上皮組織整裝片 根據上皮細胞的排列層數和形狀,又將被覆...
分類 結構 再生 化生 實驗

