一、病因及常見疾病:
本病是由畸變顯性基因引起的神經外胚葉異常,導致周圍神經的多發性腫瘤樣增生和神經鞘、神經纖維中的結締組織增生。
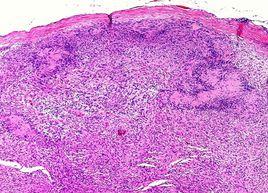
二、鑑別診斷:
此瘤系由惡性神經鞘細胞和神經膜細胞組成,包膜常不完整,大都有瘤細胞浸潤。瘤細胞呈梭形,浸潤性生長,排列成交織條索狀,有時呈羽毛狀,偶或呈柵欄狀或網狀結構,伴有出血和壞死灶。瘤細胞核呈卵圓或梭形,有些為多邊形,大小不一,有明顯異型,有時見巨核或多核。核有絲分裂象多見。
應與下列疾病區別:(1)纖維肉瘤,常無包膜,較少出血和壞死。瘤細胞核兩端稍尖,胞質和間質內膠原纖維較多。(2)平滑肌肉瘤,瘤細胞內含有肌原纖維,對PTAH染成紫藍色,三色染色著紅色。
三、檢查:
(一)體格檢查:
腫塊為常見症狀,多為無痛性,與其他肉瘤難以鑑別。有的表現為疼痛性腫塊,或腫塊壓迫出現遠處肢體麻木及放射痛。深部腫瘤為局部受侵所表現出相應症狀,如胸痛、憋氣(後縱隔),腰腿痛(腰椎神經根受侵),復視(眼球後受侵)等。有的則可無症狀,在體檢中發現腫塊。
(二)X片:
X片可見部分腫瘤有鈣化現象,有時可見繼發性骨破壞。
(三)超聲與CT檢查:
可觀察腫瘤範圍與周圍組織關係,確診依靠病理檢查。
四、治療原則:
(一)手術切除:
手術切除是最有效的治療方法。但惡性神經鞘瘤的治療與其它軟組織腫瘤略有不同,由於腫瘤起源於神經乾,並累及一段神經組織,難以確定腫瘤的邊緣,手術時應在累及神經段的上下切緣做冰凍切片檢查。低度惡性的表淺腫瘤行廣泛切除可達到治癒,高度惡性的腫瘤累及較大神經乾時,可能犧牲此神經或截肢。單用外照射腫瘤常不敏感,需加大放射劑量,副作用較大。
(二)放化療檢查:
單用外照射腫瘤不敏感,常需加大劑量,化療療效不肯定,有報告認為可以起到減少局部復發與控制遠處轉移的作用。

