基本信息
幼年型類風濕關節炎幼年型類風濕關節炎(juvenilerhe-umatoidarthritis,JRA)年齡較小的患兒往往先有持續性不規則發熱,其全身症狀較關節症狀更為顯著。年長兒或成年患者較多限於關節症狀。 本病臨床表現差異較大,可分為不同類型,故命名眾多,如Still病(1897),幼年類風濕病反覆高熱型(Wissler Fanconi綜合徵),幼年慢性關節炎(juvenilechronicarthritis,JCA),幼年類風濕病(juvenilerheumatoid disease)及幼年型關節炎(juvenilearthritis,JA)等。
病因
至今尚未完全清楚。在發病機理上一般認為與免疫、感染及遺傳有關。幼年型類風濕性關節炎似屬於第Ⅲ型變態反應,造成結締組織損傷。可能由於微生物(細菌、支原體、病毒等)感染持續地刺激機體產生免疫球蛋白,血清IgA,IgM,IgG增高。部份病人抗核抗體滴度升高。病人血清中存在類風濕因子,它是一種巨球蛋白,即沉澱係數為19S的IgM,能與變性的IgG相互反應,形成免疫複合物,沉積於關節滑膜或血管壁,通過補體系統的激活,和粒細胞、大單核細胞溶酶體的釋放,引起炎體組織損傷。患者血清及關節滑膜中補體水平下降,IgM、IgG及免疫複合物增高,提示本病為一免疫複合物疾病。另外尚有細胞免疫失衡。外周血中單個核細胞中B淋巴細胞增多;白細胞介素IL-1增多,而IL-2減少。也參與發病機理。
今年來發現少關節炎型病兒中與組織相容性抗原HLAB27相關,認為染色體基因遺傳起一定作用。
病理
以關節病變為主,呈慢性非化膿性滑膜炎。早期關節滑膜充血,水腫,伴有淋巴細胞及漿細胞浸潤,滑膜積液增多,滑膜增生形成絨毛狀突出於關節腔中,滑膜炎繼續進展,進入晚期,滑膜絨毛狀增生波及關節軟骨,並形成血管翳,軟骨可被吸收,軟骨下骨被侵蝕,隨之關節面相互粘連,關節腔為纖維組織所代替,引起關節強直、畸形或半脫位。兒童類風濕性關節炎很少發生關節破壞。胸膜、心包膜及腹膜可發生非特異性纖維素性漿膜炎。類風濕性皮疹的組織學改變為上皮下小血管炎。
臨床表現
關節相關性本病臨床表現各型極為不同。嬰幼兒全身症狀主要表現為弛張熱及皮疹等,較大兒童可出現多發性關節炎或僅少數關節受累。根據起病最初半年的臨床表現,可分三型,對治療及預後有指導意義。
全身型
占 20%(5-10%),特徵是發熱、易消失的皮疹及許多體檢和化驗異常.關節症狀輕微,常常為全身性表現掩蓋
全身型又名Still病(過去曾用名變應性亞敗血症) 以全身性表現為特徵,起病較急。發熱呈弛張型,每日波動於36~41℃之間,高熱初可伴寒戰,患兒精神不振,數小時熱退後患兒活動如常。弛張熱可持續數周或數月而自然緩解,但於數周或數月後又復發。皮疹也是此型的典型
幼年型類風濕性關節炎症狀,常於高熱時出現,隨體溫的升降而時隱時現。皮疹通常為圓形充血性斑丘疹,約0.2~1.0cm大小,並可融合成片,分布於胸部及四肢近側。多數患兒有肝、脾增大及周身淋巴結腫大,可伴有輕度肝功能異常。約有1/2患者出現胸膜炎及心包炎。X線檢查可見胸膜增厚及小量胸腔積液,偶爾有間質性肺炎改變。心包積液不多,可出現心包摩擦音。心包炎逐漸恢復,很少發生縮窄性心包炎。心肌可受累,但罕見心內膜炎。此型患兒多數在發病時或數月後出現多發性關節炎,大小關節均可受累,起病時由於全身症狀重,關節炎往往被忽視。有些患者僅有關節痛、肌痛或一過性關節炎。少數病兒可於數月或數年後才發生關節炎。患兒可有輕度貧血,白細胞明顯增多,中性粒細胞有中毒顆粒,並可出現類白血病樣反應。此型病兒約有1/4最終患有嚴重性關節炎。經研究發現發病時有肝脾腫大,漿膜炎,低血漿白蛋白,以及發病6個月後仍持續有全身症狀及血小板升高≥600×109/L者,易發生破壞性關節炎。
多關節炎型
占 30%(30-40%),多個關節(>4)受累,對稱性累及手足小關節,常有頸、脊柱受累,活動受限,有發熱但不明顯。
此型特點為慢性對稱性多發性關節炎,受累關節≥5個,尤以指趾小關節受累比較突出。女孩發病多於男孩。起病緩慢或急驟,表現為關節僵硬、腫痛和局部發熱,一般很少發紅。通常從大關節開始,如膝、踝、肘,逐漸累及小關節,出現梭狀指。約1/2病兒頸椎關節受累,致頸部活動受限。顳頜關節受累造成咀嚼困難。少數發生環、杓(喉部軟骨)關節炎,致聲啞及喉喘鳴。晚期可出現髖關節受累及股骨頭破壞,發生運動障礙。關節症狀反覆發作、持續數年者關節僵直變形,關節附近肌肉萎縮。此型全身性症狀較輕,僅有低熱、食慾 不振、乏力、貧血,也可有輕度肝、脾和淋巴結腫大,但罕有心包炎或虹膜睫狀體炎。此型中約有1/4患兒類風濕因子陽性,於兒童晚期發病,關節炎較重,最終有一 半以上病兒患嚴重關節炎。
少關節炎型
占 50%(40-50%),間歇性,≤ 4個關節受累,常是大關節:膝、肘、踝。系統表現輕微。30%病人(主要是女孩)有性虹膜睫狀體炎風險,大齡男孩有脊椎關節病風險。
受累關節不超過四個,以大關節為主。此型可分為二型:①Ⅰ型:女孩發病較男孩多,發病年齡多在4歲以前。膝、踝、肘關節為好發部位,有的只單一膝關節受累,偶爾侵犯顳頜關節或個別指趾關節。若發病6個月內受累關節不超過四個,則一般不發展為多關節炎型。關節炎可反覆發作,但很少遺留嚴重功能障礙。此型病兒除關節症狀外主要是慢性虹膜睫狀體炎,約半數患者受累,早期常無症狀,用裂隙燈始能檢出,多發生在關節炎症狀出現之後,甚至見於關節炎已靜止時。慢性虹膜睫狀體炎可致失明,故對少關節炎型患者應每3~4月定期進行裂隙燈檢查,以便早期發現,及時治療。在關節炎發作期,患者可無關節痛,有低熱、乏力、輕度肝脾及淋巴結腫大和輕度貧血等。②Ⅱ型:男孩發病多,好發年齡一般在8歲以後,常有家族史,家中可有少關節型類風濕病、強直性脊椎炎或Reiter氏綜合徵(包括關節炎、尿道炎及結膜炎)或銀屑病的患者。常以下肢大關節受累為主,早期即發生髖關節炎及骶髂關節炎。多有足跟痛及跟腱炎。偶爾出現一過性踝、腕、肘關節炎。經過多年以後,患者常出現腰背部強直性脊椎炎。約75%患者為組織相容性抗原B27(HLA-B27)。部分患者發生急性虹膜睫狀體炎,但一般不造成視力障礙。
輔助檢查
化驗室
此病缺乏特異性化驗檢查。在活動期常有貧血、白細胞增多(20,000~40,000之間較多見)及血沉明顯增快。白細胞最高可達60,000,並有核左移。血小板增高,在嚴重全身型可高達100萬。血漿白蛋白減低,α2和γ球蛋白增高。C反應蛋白大都陽性。在多關節炎型中類風濕因子陰性者有25%抗核抗體陽性,類風濕因子陽性者75%陽性,在少關節炎型I型中,60%抗核抗體陽性。有時可找到紅斑狼瘡細胞。類風濕因子是對IgG具有特異性的抗體,為19S的IgM分子,能凝集致敏的羊紅細胞,凝集效價在1:32以上為陽性。幼年類風濕關節炎中類風濕因子陽性率低,僅在多關節炎型,發病年齡較大(約8歲以上)的女孩中,以及關節症狀嚴重者多見陽性。血清中IgG、IgM及IgA增高,補體正常或增高。關節滑膜滲出液檢查:外觀混濁,白細胞增高,可達5,000~80,000/mm3,以多形核白細胞為主,蛋白增高,糖正常或減低,IgG、IgM增高,補體減低,細菌培養陰性。
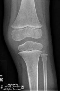
影像學
早期可見關節附近軟組織腫脹,骨骺部骨質稀疏。晚期嚴重關節炎患者可見骨表面破壞,關節腔變窄,骨囊性變,骨膜反應及關節半脫位等。
鑑別診斷
強直性脊椎炎
強直性脊柱炎這是一種兒童時期較少見的脊椎疾病。與類風濕病的區別點如下:①本病主要累及骶髖、腰背關節,類風濕病的關節變化則涉及全身;②往往出現眼症狀;③男童發病較多,家族中往往有同樣關節及眼症狀患者。
萊姆病
因較多病例在美國東北部萊姆鎮發生,故命名為萊姆病(Lymedisease)。我國黑龍江省海林梁林區曾有成人病例的流行病學觀察。由於蜱傳播的螺旋體(BorretiaBurgdorferi)病,出現多系統疾病,包括暫時性急性關節炎,其症狀近似類風濕性關節炎、風濕熱、傳染性單核細胞增多症、無菌性腦膜炎及病毒性肝炎,須作鑑別。有蜱咬史。多在背、腋、大腿或臀部出現典型的紅色小斑丘疹,漸擴大成環狀,中央蒼白,其中央可發生水泡或壞死。同時有全身不適、疲乏、常見寒戰、發熱和間歇性頭痛,並出現肌痛、背痛、頸強直、噁心、嘔吐及非滲出性咽炎。偶見腹痛及面神經麻痹等中樞神經系統併發症。皮疹可遷延數日至數周,然後發生關節炎及腦病。關節炎屬少髮型,大多涉及膝部,常易復發。血清中類風濕因子一般為陰性,抗核抗體常為陰性。約半數病人血沉增快及血清IgM增高。診斷主要依靠早期皮疹的典型表現,從患者血液、皮膚及腦脊液發現病原體及血清學抗體測定,可以證實本病。在早期套用青黴素治療可減輕關節症狀。對青黴素過敏者可用紅黴素。為防止併發症,療程約需2周或更久。
治療
本症病程可遷延數年,急性發作及緩解交替出現,大多數到成年期自行緩解。但也有少數仍持續發作。 1、一般治療 急性發熱期應臥床休息,待病情好轉應適當活動,部分病例可進行適當體療或理療及功能鍛鍊,以防止關節畸形。
2、腎上腺皮質激素對全身症狀較重或合併心肌炎、虹膜睫狀體炎者需早
期套用潑尼松,開始劑量每日1.5~2mg/kg,分3~4次口服,待病情好轉,血沉正常時可逐漸減量,並改為隔日頓服或間歇用藥,療程4~6月或更長。
3、阿司匹林是非類固醇類抗炎藥物中的首選藥,療效肯定,容易耐受,開始可較大劑量,每日80~100mg/kg,分3-4次飯後服用,應測定血清水楊酸濃度以維持血濃度在20~30mg/dl,治療過程中可能出現血清穀草轉氨酶升高,然而一旦停藥即可恢復正常。僅在無效或有毒性反應才換用其他藥,如消炎痛用量每次0.5~1mg/kg,每日2~3次,飯後服用。
4、金製劑對活動性關節炎有效。金能減少新骨的侵蝕,硫羥蘋果酸金鈉(goldsodiumthiomalate)或硫葡萄糖金(goldthioglucose)肌內注射,開始劑量每周1mg/kg,以後逐漸減至每月1mg/kg。有肝、腎、血液疾病者禁用。毒性反應包括瘙癢、皮炎、口炎、蛋白尿、粒細胞減少、血小板減少性紫癜和再生障礙性貧血等,均應停止服藥。
5、免疫抑制劑如環磷醯胺、甲氨蝶呤、硫唑嘌呤等,對嚴重病例不僅可抑制炎症,加強激素療效,並可減少激素用量。 占50%(40-50%),間歇性,≤ 4個關節受累,常是大關節:膝、肘、踝。系統表現輕微。30%病人(主要是女孩)有性虹膜睫狀體炎風險,大齡男孩有脊椎關節病風險。 占50%(40-50%),間歇性,≤ 4個關節受累,常是大關節:膝、肘、踝。系統表現輕微。30%病人(主要是女孩)有性虹膜睫狀體炎風險,大齡男孩有脊椎關節病風險。

