疾病簡介
布氏錐蟲病,又稱拿乾拿病,是非洲所有家畜的一種寄生性原蟲病。最早由Livingstone於1857年記載此病為一種殺傷性很大的牛疫,並發現它在病原上與采采蠅有關。後由布魯斯發現該病的病原體,並對其臨床症狀做了詳細的描述。
本蟲的宿主以馬、騾患病最多,牛、綿羊、山羊、猴、駱駝、豬、犬、驢、貓等均可感染。對實驗動物大鼠、豚鼠和兔子作人工感染均可引起慢性疾病。
地理分布
主要分布於東非和中非,以東非的各大湖和尚比亞河沿岸以及中非的東部流行最劇,但在西非也能引起嚴重的損失。
病原體
布氏錐蟲生活史布氏錐蟲病是由布氏錐蟲指名亞種(Trypanosoma brucei Brucei)引起的,在形態上與岡比錐蟲和羅得西亞錐蟲形態相似。過去一直視為獨立的3個種。後經Hoare(1967)等學者論證,認為這3種均屬布氏錐蟲一個種。岡比錐蟲和羅得西亞錐蟲均屬布氏錐蟲的亞種。但它們感染的宿主和發病的症狀有所不同。布氏錐蟲指名亞種引起的動物的錐蟲病。岡比錐蟲種和羅得西亞錐蟲引起人的非洲錐蟲病(睡覺病)。
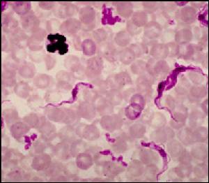
布氏錐蟲在自然感染的脊椎動物宿主體內是一種多形的蟲體,在血液中可見到沒有鞭毛的短粗型和具有鞭毛的細長型以及過渡型。因此蟲體的大小不一致,長度介於12~35um,寬度介於1.5~3.5um、錐蟲體扁無色。體形似葉,前端逐漸變為細尖,後端較圓。在體中部或中部附近,有1較大的核;近後端有1扁圓形的動基體。蟲體的一側有寬而呈波浪狀的波動膜,有1根鞭毛自毛基體發出,沿波動膜的邊緣向前延伸,在前端伸出,成游離的鞭毛。錐蟲很活潑,借鞭毛和波動膜運動。錐蟲借縱分裂繁殖,在塗片檢查時可見到正在分裂的蟲體。
生活史
采采蠅布氏錐蟲的傳播媒介是舌蠅屬中的多種舌蠅。舌蠅又稱采采蠅。舌蠅屬中的刺舌蠅、須舌蠅、白色舌蠅是主要的傳播媒介,其他如長翅舌蠅、有飾舌蠅和似寄舌蠅等也能傳播布氏錐蟲病。當采采蠅叮咬病畜的血液時,錐蟲被吸入蠅體,先在消化道內,後至唾液腺內,其間經過2~3周複雜的周期性發育繁殖,經過短膜型至後錐型或後循環錐蟲型。後循環錐蟲是感染期蟲體,它們大量地積聚於唾液腺中。當采采蠅再次吸血時,後循環錐蟲隨同采采蠅唾液注入動物體內,使之遭受感染。從采采蠅吸入含錐蟲的血液發育至具感染性的後循環錐蟲需經過一定的時間,在刺舌蠅至少需11天,在須舌蠅至少為15~18天。除采采蠅之外,其它吸血昆蟲也可能機械性地傳播此病,即通過這些吸血昆蟲刺患病家畜血液的數小時內,由污染的口器而傳播給另外的家畜。也曾有先天性感染和通過性交而傳染本病的報導。
臨床症狀
布氏錐蟲的血液塗片自然感染病例的潛伏期約為10天。馬屬動物發病時體溫迅速升高至40~41℃ ,患畜精神不振,食慾下降,脈搏快而弱;結膜潮紅,結膜有時雜有小出血,眼中流淚;鼻孔中流出漿性鼻液;四肢、腹下、外陰部周圍、喉部和眼瞼發生界限明顯的水腫。
發熱維持2~3天,有時1周,然後體溫迅速下降至正常或甚至正常以下,臨診症狀減輕或消失。經過一定時間後又重新發熱。如此反覆發作後,患畜日益消瘦,逐漸發生在高度貧血,白紅蛋白量可降至正常值的25%,紅細胞數可降至250萬,白細胞中度增多。黏膜初期蒼白,後期黃疸。最後患畜極度瘦弱,運動失調後搖擺不定,最終因極度衰竭而死亡。在頭幾次發熱時,血液中有大量布氏錐蟲,後來減少。只有當重新發熱時才又大量出現。
病程一般為1.5~2個月,但也可能拖延4~6個月甚至1年。有些病畜可能於發生最初的症狀後1~2周即發生死亡。患畜康復的可能性極小。
在牛和其它反芻獸,通常要在感染後數周甚至幾個月才出現明顯的症狀,其表現為消瘦,貧血、弛張熱、水腫、流淚、水樣鼻涕、被毛松亂和脫落以及暫時性腹瀉,患畜緩慢地惡化。血液中僅有少量錐蟲、急性病例極少,痊癒者常見。
在豬也常發生嚴重的疾病,有些病豬在尚未出現臨診症狀前而突然死亡;犬錐蟲病的後期可見消瘦、呼吸困難、淋巴結急性腫脹,四肢水腫、運動失調、角膜炎、虹膜炎及全身脫毛。此外,許多野生動物,如野牛、羚羊、斑馬、斑驢等均可感染布氏錐蟲,但多為帶蟲者。非洲的小羚羊是錐蟲的主要儲藏宿主之一。
病理變化
解剖時,在馬屬動物可見高度貧血和消瘦,皮下膠樣浸潤,漿液腔中有滲出液。黏膜和漿膜面上有小點出血。腎臟和膀胱上也可能有小點出血。脾臟有時急性腫脹,有時慢性腫脹,脾髓常呈銹棕色。淋巴結髓樣腫脹。在死後24h內,在血液、滲出液、骨髓和內臟中常有大量蟲體,但在脾臟中只有少量蟲體。除肉食動物外,其它動物的病理變化較不顯著。
臨床診斷
根據流行病學特徵,臨診症狀、病原學檢查和動物接種實驗等進行綜合判斷,但找到病原體是診斷本病的最確切的根據。
(1)流行病特徵。本病流行於中非和東非的熱帶地區,在北緯15度至南緯25度,西至維多利亞湖,東達坦尚尼亞的坦噶尼喀湖以及尚比亞河西岸附近地區。
采采蠅稍大於家蠅,呈黃褐色或灰褐色,或近似黑色。停息時,刺刀狀的口器向前伸出,翅膀疊起,這是識別本蠅的主要特徵。雌采采蠅產幼蟲於泥土中,每次產1條,一生約產10條,需時15~30天。在泥土中經蛹發育為成蠅。采采蠅喜居於河流湖泊之旁,選擇雨量不大的有雜草和矮樹的丘陵的帶孽生繁殖。雌雄采采蠅均吸血。一般靠野生動物和家畜的血液生活,也吸人血。刺吸含有錐蟲的血液後,僅有少於10%的采采蠅可感染,但一旦感染後,便終身具有傳染性。成蟲壽命可達4~8個月。
(2)病原學檢查。取病畜1滴血液加等量生理鹽水直接在顯微鏡下檢查。也可取病畜血液、淋巴液、腦脊液後骨髓穿刺液作塗片鏡檢。患畜在發熱期間常能在外周血液中查到蟲體。
(3)接種實驗動物。將布氏錐蟲病畜的血液、淋巴液或腦脊液,腹腔接種於小鼠、大鼠、豚鼠或兔子等實驗動物。錐蟲可在動物體內大量繁殖,4天后鏡檢動物血液,一直查到60天,可檢查到蟲體。但應注意大鼠和小鼠常本身感染有路氏錐蟲,故因預先檢查,以免與本蟲混淆,若有路氏錐蟲的大鼠或小鼠均不能用於實驗動物。
(4)補體結合反應。用於檢查慢性病例。補體結合反應操作方法與微生物操作技術相同。
治療
所用藥物與治療原則與伊氏錐蟲病的基本相同。最佳治療藥物為拜耳205(納加諾爾),早期使用更為有效,肌肉注射戊烷脒,用於殺死血液淋巴期蟲體。
預防
在疫區及早發現病畜和帶蟲動物,進行隔離治療,控制傳染源,同時定期噴灑殺蟲藥,儘量消滅吸血昆蟲,對控制疫情發展有一定效果。必要時可進行藥物預防。

