定義
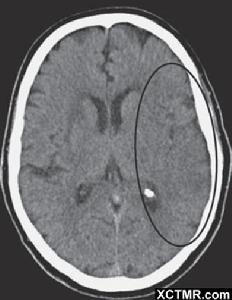
大腦中動脈閉塞早期CT平掃,出現患側腦島、最外囊和屏狀核密度減低,與鄰近腦白質密度相仿的現象。是島葉皮質缺血的特徵性表現,預示著大面積大腦中動脈梗死。
島帶徵MCA缺血發作時,CT平掃基底節層面見腦島側面灰質-白質界限不清。
大腦中動脈閉塞早期CT平掃,出現患側腦島、最外囊和屏狀核密度減低,與鄰近腦白質密度相仿的現象。是島葉皮質缺血的特徵性表現,預示著大面積大腦中動脈梗死。
島帶徵《夢想島》夢想島是一款冒險類的單機版手機遊戲,遊戲大小71K。
遊戲簡介 故事背景 遊戲背景 職業介紹 操作指南這部讓人感動的作品描畫了一個善良重視生命的好醫生,一座充滿陽光的小島,一群純樸的島民,交織著一段段關於人性和生命的美好故事。
第二部 分集劇情這部讓人感動的作品描畫了一個善良重視生命的好醫生,一座充滿陽光的小島,一群純樸的島民,交織著一段段關於人性和生命的美好故事。
第二部 分集劇情濟州島(済州島、Jeju island)是韓國第一大島,別名:奎爾帕特島,屬於濟州特別自治道管轄,面積1845.5平方千米,2010年島上人口超過60萬...
歷史沿革 地理環境 民俗文化 地方特產 節慶活動《尼姆島》由夫妻檔導演珍妮佛·弗萊基特(Jennifer Flackett)和馬克·萊文(Mark Levin)共同執導,同時他們還參與了劇本的改編工作...
概述 內容簡介 演職人員 導演 原著作者南三島濱海旅遊示範區於2013年11月6日成立,為湛江市政府派出機構,行政縣(市、區)級政府管理權,授權委託代管湛江市坡頭區南三鎮,但沒有完全脫離坡頭區...
風景名勝 交通發展 規劃建設 區政領導 人口數據寶帶橋又名長橋,是古代漢族橋樑建築的傑作,位於江蘇省蘇州市吳中區長橋鎮(今長橋街道),傍京杭運河西側,跨澹臺湖口,與趙州橋、盧溝橋等合稱為中國十大名橋。...
地理位置 地名典故 歷史沿革 橋樑現狀 文物保護歷史上操相同或相近方言的一部分人遷入操另一種方言的人的地盤,他們所帶來的方言在本地方言的包圍下,就如大海上的島嶼,即是通常所說的“方言島”。現存的漢語方...
成因 地理類型 影響 發展趨勢