一、臨床表現
1、主要症狀有聲嘶、語音含混、咽喉梗阻感。急性梗阻感。急性感染性喉水腫伴有發燒、喉痛,嚴重者可有喉梗阻表現。非感染性者有原發疾病的臨床表現。如遺傳性血管神經性喉水腫,多數在10歲時開始反覆出現無痛性水腫,皮膚於瞼、唇、面部、四肢部位出現硬性水腫,並伴有淺紅色斑。上呼吸道、消化道黏膜亦出現水腫並伴有相應的症狀。泌尿生殖系常有會陰皮下、陰道黏膜水腫,腦水腫可引起頭痛等顱內壓增高表現。
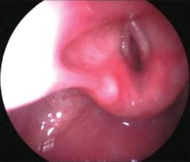
2、局部檢查急性炎症性喉水腫可見喉黏膜廣泛紅腫並附以分泌物。非感染性喉水腫黏膜呈蒼白水腫狀,杓會厭襞、聲帶尤為明顯。遺傳性血管神經性喉水腫有數小時發病,一般72h後逐漸消退的特點。
(1)感染性:可於數小時內發生喉痛、聲嘶、喉喘鳴和呼吸困難,並可伴發熱惡寒,咽喉疼痛,喉鏡下可見黏膜呈深紅色水腫、表面發亮。
(2)非感染性:可有誘因或有原發病,變應性和遺傳血管性尤其發病迅速,發展較快,患者常於數分鐘內發生喉喘鳴,聲嘶,呼吸困難,甚則窒息,喉鏡下可見喉黏膜瀰漫性水腫,蒼白。
二、病因
有感染性和非感染性兩大類:
1、感染性喉水腫可因急性喉炎、急性會厭炎、急性喉軟骨膜炎、喉部膿腫、喉結核、喉梅毒等以及咽部或頸部的急性化膿性炎症所引起。
2、非感染性喉水腫可因心臟並腎炎、肝硬化、甲狀腺功能低下,過敏性或遺傳性如注射青黴素,口服碘化鉀、阿斯匹林等藥物以及過敏體質者食用致敏食物如魚、蝦、蟹等原因,或患者血中C1脂酶抑制物缺乏,或功能缺陷的染色體顯性遺傳病等原因所引起。另外外傷和化學氣體傷也可引起喉黏膜水腫。
a、變態反應:藥物如注射青黴素、口服碘化鉀、阿司匹林等;有過敏體質者食用致敏的食物如蟹、蝦等易引起變應性喉水腫。
b、遺傳血管性:患者血中C1脂酶抑制物(C1-INH)缺乏或功缺陷,為染色體顯性遺傳病,常反覆作喉水腫。
c、喉部急性感染、外傷、化學氣體傷等亦能引起喉黏膜水腫。
d、心臟病、腎炎、肝硬化、黏膜性水腫等全身性疾病。
三、治療方案.
1、有重度喉阻塞征者,應及時作氣管切開術。
2、立即給予足量類固醇激素,咽喉局部噴霧1:2000腎上腺素,使水腫儘快消退。
3、感染性者可予足量抗生素控制,若已形成膿腫,可作切開排膿術。
4、檢查水腫原因,針對病因進行治療。
四、用藥安全
1、治療注意保持呼吸道通暢,吸氧,喉阻塞症狀明顯時需立即行氣管切開。
2、口腔、咽喉、頸部有急性感染應及時控制。感染性喉水腫可因急性喉炎、急性會厭炎、急性喉軟骨膜炎、喉部膿腫、喉結核、喉梅毒等以及咽部或頸部的急性化膿性炎症所引起。
3、非感染性喉水腫可因心臟病、腎炎、肝硬化、甲狀腺功能低下,過敏性或遺傳性如注射青黴素,口服碘化鉀、阿斯匹林等藥物,以及過敏體質者食用致敏食物如魚、蝦、蟹等原因,或患者血中C-1脂酶抑制物缺乏,或功能缺陷的染色體顯性遺傳病等原因所引起。另外外傷和化學氣體傷也可引起喉黏膜水腫。

