概述
妊娠合併甲狀旁腺功能減退輕症者出現煩躁、易激動、抑鬱、指端或口唇部麻木和刺痛、手足與面部肌肉痙攣。血清鈣低於2mmol/L時,可出現手足搦搐症。嚴重者出現全身骨骼肌及平滑肌痙攣,喉頭及支氣管痙攣,窒息等危象,特別是兒童可出現癲癇樣大發作。少數患者可出現顱內壓增高和視盤水腫。
上述症狀可在感染、勞累或情緒激動時發作,女性在經期前後更易發作。可出現錐體外系神經症狀,包括帕金森病。有些輕症或久病患者不一定出現手足搐搦,其神經肌肉興奮性增高主要表現為Chevostek征與trousseau征陽性。
病因
甲狀旁腺功能減退1.頸部手術後,如甲狀腺切除術後,誤切除了甲狀旁腺;甲狀旁腺手術後。
2.甲狀腺131I照射同時對甲狀旁腺造成破壞,照射後致甲狀旁腺功能減低
3.特發性甲狀旁腺功能減低(家族性或散發性)。
4.患有自身免疫性疾病如阿狄森(Addison)病、慢性淋巴細胞性甲狀腺炎卵巢早衰的患者同時合併有甲狀旁腺功能減退。
5.假性甲狀旁腺功能減退,即甲狀旁腺腺體正常靶器官對甲狀旁腺激素不起反應。
發病機制
妊娠合併甲狀旁腺功能減退甲狀旁腺功能減退的婦女,不影響生育能力:
1.對孕婦的影響甲旁減時PTH降低,造成腎臟對25(OH)D3向1,25(OH)2D3的轉換受阻125(0H)2D3的主要生理功能是促進腸道吸收鈣。而妊娠期母兒需鈣量增加較非孕期增加1倍。嚴重低血鈣可造成妊娠及產褥期原有甲旁減症狀加重,孕婦發生嚴重手足搐搦症。低鈣還可造成妊高征的發病率上升,因為鈣進入平滑肌細胞後可加速前列腺素的合成,干擾血管收縮劑的增壓作用。研究資料提示PTH是血管擴張劑。
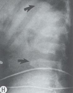
2.對胎兒新生兒的影響本病孕婦出生的嬰兒有發生甲狀旁腺功能亢進症的報導其原因是母體血鈣低,向胎兒移行的鈣減少,胎兒血鈣低刺激甲狀旁腺呈過度增生,使PTH分泌亢進所致。在出生後1周的新生兒,X線攝片可見鎖骨、腕骨、下肢和大腿骨的骨膜下皮質重吸收相及囊狀纖維性骨炎,以及大腿骨骨幹端緣骨折等。可有胎死宮內及新生兒死亡未見致胎兒畸形的報導。手術後者大多孕前已獲診斷及治療,新生兒一般均正常。
病理生理
本症可由多種原因所引起。較常見者為手術後甲狀旁腺功能減退症與特發性甲狀旁腺功能減退症兩種。前者主要是由於甲狀腺手術誤將甲狀旁腺卻切除或損傷所致,但也可因甲狀旁腺手術而引起。偶或可因頸部放射治療,或其他原因進行頸部手術而損傷甲狀旁腺所致。特發性甲狀旁腺功能減退症的病因尚未明確。可能與自身免疫有關。本病患者血中可檢出甲狀旁腺抗體,同時也可有腎上腺皮質、甲狀腺或胃壁細胞抗體。還可伴有其他自身免疫性疾病如原發性甲狀腺功能減退、惡性貧血、特發性腎上腺皮質萎縮所致的Addison病等,本病可有家族史。
嚴重低鎂血症有時可引起甲狀旁腺功能減退。因為鎂離子為釋放PTH所必需。缺鎂時,血清PTH明顯降低或測不出。補充鎂後,血清PTH立即增加。低鎂血症還可影響PTH對周圍組織的作用。甲狀旁腺功能亢進症母親所生新生兒可出現甲狀旁腺功能減退,可能由於母親高鈣血症抑制胎兒甲狀旁腺功能所致。
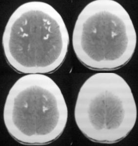
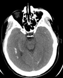
由於PTH缺乏,骨吸收降低,同時因1,25(OH)2D形成減少而腸道鈣吸收減少,由於腎小管鈣重吸收降低而尿鈣排出增加。所以血清鈣降低,當血清鈣降至約1.75mmol/L以下時,尿鈣濃度顯著減低或消失。同時由於腎臟排磷減少,血清磷增高。低鈣血症與高磷血症是甲狀旁腺功能減退症的臨床生化特徵。由於PTH缺乏,尿cAMP降低,但注射外源性PTH後,尿cAMP立即上升。由於血清鈣濃度降低主要是因鈣離子濃度降低,神經興奮性增加,可出現搐搦,甚至驚厥,長期低鈣血症可引起白內障,基低神經節鈣化,皮膚、毛髮、指甲等外胚層病變。在兒童可影響智力發育。
症狀
細胞圖長期血鈣降低伴陣發性加劇引起神經肌肉系統應激性增加。輕症者出現煩躁、易激動抑鬱指端或口唇部麻木和刺痛、手足與面部肌肉痙攣血清鈣低於2mmol/L時,可出現手足搦搐症典型表現為雙側拇指強烈內收,掌指關節屈曲,指間關節伸展,腕、肘關節屈曲形成鷹爪狀。嚴重者出現全身骨骼肌及平滑肌痙攣,喉頭及支氣管痙攣,窒息等危象特別是兒童可出現癲癇樣大發作。少數患者可出現顱內壓增高和視盤水腫。上述症狀可在感染、勞累或情緒激動時發作,女性在經期前後更易發作。可出現錐體外系神經症狀包括帕金森病。
有些輕症或久病患者不一定出現手足搐搦,其神經肌肉興奮性增高主要表現為Chevostek征與Trousseau征陽性。
甲旁減時間過長可出現皮膚粗糙毛髮脫落、指(趾)甲脆軟萎縮、白內障。特發性甲旁減患者易發生白色念珠菌感染貧血等表現。
併發症:
妊娠合併甲狀旁腺功能減退,母兒併發症均高。孕婦發生各種低鈣高磷的併發症;胎兒發生因繼發性甲狀旁腺功能亢進而導致頭顱脫鈣。胎兒、新生兒死亡率高孕期如治療恰當,使血鈣保持正常則很少發生嚴重併發症。
診斷:
有甲狀腺手術史伴反覆手足搐搦症,不難診斷。特發性甲旁減起病緩慢早期病情輕不易診斷,易誤診為神經官能症或癲癇。
鑑別診斷:
本病須與假性甲旁減鑑別,後者屬遺傳性疾病。PTH受體後有缺陷,體內PTH正常或增高注射外源性PTH後尿磷及尿cAMP不增加,常伴有其他發育異常。
檢查
實驗室檢查:
1.血清鈣在發作期降低(常低於2mmol/L),應反覆多次抽取,並同時檢測血漿蛋白,以排除蛋白濃度低下所引起的鈣總量減低。血磷升高(常高於2mmol/L)。低鎂血症者,血鎂低於0.4mmol/L。
2.PTH明顯減低或不能測得。
3.尿鈣明顯降低或消失。
其它輔助檢查:
X線頭顱攝片多數可見基底神經節鈣化,骨質較密,小腦出現鈣化點。
治療
妊娠合併甲狀旁腺功能減退甲狀旁腺功能減退產婦在臨產和分娩時,由於高通氣和屏氣用力,常發生手足搐搦。如血鈣低時可靜脈給予葡萄糖酸鈣安慰產婦,避免高度通氣。產後需要調整鈣劑和維生素D的用量,因為一則是胎兒需求中止,二則是哺乳或不哺乳產婦對鈣和維生素D的需求有所不同,哺乳婦女需要補充更多的鈣和維生素D,不哺乳的母親一般恢復到孕前鈣和維生素D的用量。
