腦梗塞解釋
而無論腔息性腦梗塞、間歇性腦梗塞、間隙性腦梗塞等都是民間叫法,科學統稱其腔隙性腦梗塞,屬於腦梗塞症型中症狀最輕微,也是一種能夠通過可靠用藥、飲食調節、康復鍛鍊、控制血壓血脂等綜合性治療措施達到徹底治癒的腦梗塞。
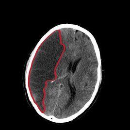
而多數腔隙性腦梗塞由於一般發病部位多,病灶面積小,所以又稱為多發腔隙性腦梗塞。腔隙性腦梗塞的臨床診斷一般是指直徑在15—20毫米以下的新鮮或陳舊性腦深部小梗塞的總稱。這些小動脈閉塞後,可引起多個大小不同的腦軟化灶,最後形成大大小小的腔隙,它可通過頭部CT確診。常見3—10毫米的低密度區,小於2毫米的病灶CT不能顯示。
腔隙性腦梗塞的可靠治療藥物同腦梗塞其他症型的治療一樣,都是應該包括合理具有針對性的中西藥物。已知臨床驗證取得較好效果的有具有抗血小板聚集作用的拜阿司匹林,活血化瘀,芳香開竅降脂抗凝的道地中藥。都是治癒腔隙性腦梗塞的臨床必備藥物,能夠達到增效減毒從而全面治療的作用,規避了拜阿的47%人群的用藥抵抗,在起效快及長效優勢強等方面都是同類藥品中的首選。
病因
腔隙性腦梗塞的病因根據栓子來源可以分為:
1.心源性:占60%~75%, 常見病因為慢性心房顫動,栓子主要來源是風濕性心瓣膜病、心內膜炎贅生物及附壁血栓脫落等,以及心肌梗死、心房粘液瘤、心臟手術、心臟導管、二尖瓣脫垂和鈣化,先天性房室間隔缺損(靜脈反常栓子)等。
2. 非心源性:如動脈粥樣硬化斑塊脫落、肺靜脈血栓或凝塊、骨折或手術時脂肪栓和氣栓、血管內治療時血凝塊或血栓脫落等;頸動脈纖維肌肉發育不良(女性多見);肺感染、敗血症、腎病綜合徵的高凝狀態等可引起腔隙性腦梗塞。
腦梗塞手術3. 來源不明:約30%的腔隙性腦梗塞。
預防護理
飲食營養問題
發病的當天需禁食,以靜脈輸液維持營養,48h後根據病情而定,可給予鼻飼飲食,供給藥物和營養。每天要準確記錄患者液體出入量,以便了解每日輸入量和排出量是否平衡,能否滿足機體需要。
臥床休息
患者絕對臥床休息,儘量減少探視和不必要的搬動,以降低腦代謝,減少腦需氧量,減少感染的機會。病室要保持安靜,空氣流通。有躁動不安者特別注意環境安靜,適當避光,減少刺激,並加床欄以防墜床碰傷。
消化道出血的防治
急性腦血管病均有發生消化道出血的可能,如果患者出現意識障礙加重、體溫持續升高、心率快、血壓低、頻繁呃逆、有咖啡樣胃液從口角流出,或者從鼻飼管內抽取咖啡樣胃液,提示有消化道出血。應及時報告醫生進行處理。
褥瘡防治
由於昏迷,老年人皮膚乾燥多皺、彈性差、抵抗力差,皮膚損傷後修復能力弱,易發生壓迫損傷或褥瘡。因此,要做好皮膚護理,定時更換臥位,翻身1次/2h,同時給受壓部位做環形按摩,以減輕體重對局部的壓迫,促進局部血液循環。給患者擦浴2次/d,隨時清洗大小便,保持皮膚清潔、乾燥、舒適,防止褥瘡發生。
保持呼吸道通暢
有意識障礙的患者呼吸道分泌物多、不易咳出,且因舌肌鬆弛易引起舌後墜、吞咽反射遲鈍或消失,鼻咽部及口腔的分泌物、嘔吐物等易積聚在喉頭而發生呼吸道阻塞,並易被吸入肺內引起吸入性肺炎。注意保持口腔清潔及呼吸道通暢,隨時清除呼吸道分泌物,定時翻身拍背,患者取側臥位或平臥頭偏向一側,利於分泌物排出。必要時用吸痰器吸出呼吸道分泌物。如果有舌根後墜現象,就用舌鉗將舌輕輕拉出。
發病先兆
1、頭暈、頭痛突然加重或由間斷性頭痛變為持續性劇烈頭痛。一般認為頭痛、頭暈多為缺血性腦梗塞的先兆,而劇烈頭痛伴噁心、嘔吐則多為出血性腦梗塞的先兆。
2、短暫性視力障礙,表現為視物模糊,或視野缺損,看東西不完整,這種現象多在一小時內自行恢復,是較早的腦梗塞預報信號。
3、語言與精神改變,指發音困難、失語,寫字困難;個性突然改變,沉默寡言、表情淡漠或急躁多語、煩躁不安,或出現短暫的判斷或智力障礙,嗜睡。
4、其他先兆表現,如噁心嘔吐或扼逆,或血壓波動並伴有頭暈眼花或耳鳴,不明原因的反覆鼻拙血,常為高血庇腦拙血的近期先兆。
5、睏倦與嗜睡,表現為哈欠連連,特別是呼吸中樞缺氧的反應。隨著腦動脈硬化加重,動脈管腔愈來愈窄,腦缺血嚴重惡化·80%左右的人在缺血性腦梗塞發作5至10天前,頻頻打哈欠,所以,千萬不要忽略了這一重要的報警信號。
6、軀體感覺與運動異常,如發作性單側肢體麻木或無力、手握物體失落,原因不明的暈倒或跌倒,單側面癱,持續時間花24小時以內。追訪觀察,此類現象發生後3~5年,約有半數以上的人發生缺血性腦梗塞。
7、剃鬚刀落地現象,是指在刮臉過程中,當頭轉向一側時,突然感到持剃鬚刀的手臂無力,剃鬚刀落地,可同時伴有說話不清,但在1~2分鐘左右完全恢復正常。這是由於頸部轉動時,加重了已經硬化的頸動脈狹窄程度,導致顱腦供血不足、發生一過性腦缺血。提示缺血性腦梗塞隨時可能發生。
8、一過性黑檬,指正常人突然出現眼前發黑,看不見物體,數秒或數分鐘即恢復常態,既沒有噁心、頭暈,也無任何意識障礙。這是因視網膜短暫性缺血所致,提示顱內血液動力學改變或微小血栓暫時性堵塞視網膜動脈,為腦血管病的最早報警信號。
西醫治療方法
本病的治療,基本上同腦血栓形成,應積極治療高血壓,尤為病史中已有過腔隙性梗塞者需要防止復發,同時應注意壓不能過快過低。
急性期
以儘早改善腦缺血區的血液循環、促進神經功能恢復為原則。
1.緩解腦水腫:梗塞區較大嚴重患者,可使用脫水劑或利尿劑。
2.改善微循環:可用低分子右鏇糖苷,能降低血粘度和改善微循環。
3.稀釋血液:①等容量血液稀釋療法:通過靜脈放血,同時予置換等量液體;②高容量血液稀釋療法:靜脈注射不含血液的液體以達到擴容目的。
4.溶栓:①鏈激酶。②尿激酶。
5.抗凝:用以防止血栓擴延和新的血栓發生。①肝素。②雙香豆素。
6.擴張血管:一般認為血管擴張劑效果不肯定,對有顱內壓增高的嚴重患者,有時可加重病情,故早期多不主張使用。
7.其他:本病還可使用高壓氧療法,體外反搏療法和光量子血液療法等。
恢復期
繼續加強癱瘓肢體功能鍛鍊和言語功能訓練,除藥物外,可配合使用理療、體療和針灸等。
併發症
容易出現以下併發症:心肌梗死、肺部感染、尿路感染、腎功能不全、褥瘡、關節攣縮、應激性潰瘍、繼發性癲癇、腦梗塞後的精神科問題、痴呆等。
飲食保健
一、腔梗食療方(下面資料僅供參考,詳細需要諮詢醫生) 1. 葡萄汁、芹菜汁各1份,溫開水服用,每天2-3次。20天為一療程。使用於中風、高血壓病人。
2. 葵花子,早晚1把,剝殼食仁,同時配服芹菜汁半杯,連服30天。適用於中風、高血壓的病人。具有降低膽固醇的作用。
3. 清蘿蔔汁,每天30毫克,日2次,連用10天。適用於伴有血壓增高的中風病人。
4. 白木耳或黑木耳30克,清水浸泡一夜,於飯鍋上蒸1-2小時,加入適量的冰糖。於睡前服用,對中風高血壓、眼底出血、血管硬化、冠心病均有治療作用。
5. 海帶50克,加水煮爛,放入冰糖後,適量服用。具有降低膽固醇的作用。
6. 白菊花適量,用開水浸泡,常服用有降血脂和降血壓的作用。
7. 花生米適量,加醋泡7天后,每天早晚各服花生米10粒,有一定降血壓作用。
8. 香蕉2隻,去皮,加冰糖適量,隔水蒸。每日2次,連服數日。對中風伴有便秘者有顯著療效。
9. 冬瓜100克,煮熟取汁服。對中風伴有血糖高,或有水腫者有好處。
10. 苦瓜做菜,對中風伴血糖高者有輔助治療作用。
11. 黃豆60克,煎服,對中風腿抽筋有治療作用。
12. 芝麻15克,搗爛,同蜂蜜30克調和,每天早晨空腹服一劑,分三次服,連服1星期,對中風便秘者,有治療效果。
13. 常食新鮮柚果汁,能降血糖。適用於中風伴血糖高者。
14. 山楂肉15克,水煮熟,果飲並食。日1次,連服1個月。有山楂乾切片,煮水代茶飲。亦有效。適用於中風、冠心病、高血脂症者。
15. 每日進醋5-10毫升,或用醋泡花生米一晝夜,每日晨起吃10粒。1星期為一療程。適用於中風伴高血壓者。
16. 每晨空腹進糖醋大蒜1-2粒,並喝少許糖醋汁。適用於中風伴有高血壓及高血脂症者。
17. 每次1隻鮮蘋果,每日2次,可常服。適用於中風伴有高膽固醇血症者。
18. 大棗10枚,芹菜根60克,煎水常服。適用於中風伴有高膽固醇血症者。
19. 黃豆及大豆製品,連服8星期,可使血液中之膽固醇含量明顯下降。
20. 鮮獼猴桃,或其果汁製品,具有降低膽固醇及甘油三脂的作用,對中風者有好處。
21、黑木耳6克,用水泡發,加入菜餚或蒸食。可降血脂、抗血栓和抗血小板聚集。
22、芹菜根5個,紅棗10個,水煎服,食棗飲湯,可起到降低血膽固醇作用。
23、吃鮮山楂或用山楂泡開水,加適量蜂蜜,冷卻後當茶飲。若腦梗塞並發糖尿病,不宜加蜂蜜。
24、生食大蒜或洋蔥10-15克可降血脂,並有增強纖維蛋白活性和抗血管硬化的作用。
25、腦梗塞病人飯後飲食醋5-10毫升,有軟化血管的作用
推薦食療方劑
①主食:菊花粥、山楂粥、玉米粥。
②菜餚:清蒸茄泥、黃魚參羹、涼拌生菜、炒芹菜。
③飲料:菊花飲、山楂消脂飲、荷葉飲。
④湯:紫菜湯、銀耳湯、菠菜雞蛋湯、蘑菇湯。
腔梗吃哪些對身體好
1、各種雜糧,如小米、玉米、豆類。各種新鮮以及大蒜、水果、山楂、魚、香菇、淡菜、脫脂奶、精豬肉、植物油等。
①香菇:性味平。具有補氣益胃、活血化瘀之功效。可降低血液中膽固醇,降低血壓,加速血液循環,改善心腦及微循環供血。加熱後營養不被破壞。對高血壓、動脈硬化有良好療效。
②芹菜:有清熱利濕、醒神健腦、平肝涼血之功效。可降低血中膽固醇的含量,對防治高血壓、腦血管意外、冠心病等有一定療效。
③山楂:具有活血化瘀、軟化血管、降血壓、降血脂等作用。
2、可多吃上結含碘豐富的食物,如海帶、紫菜、蝦米等,碘可減少膽固醇在動脈壁沉積,防止動脈硬化的發生。
3、長期飲用混合奶(鮮牛奶600毫升,濃米湯350毫升,雞蛋2個,白糖50克,香油10克,以及鹽3克)
4、為預防便秘, 應多吃一些富含纖維的食物, 如青菜﹑芹菜﹑韭菜及水果等。
5、要維持體內有充足的水, 使血液稀釋。晚餐要清淡。晚睡前﹑晨起時, 飲1~2杯溫開水。
6、飲食中應有適當蛋白質,常吃些蛋清、瘦肉、魚類和各種豆類及豆製品,以供給身體所需要的氨其酸。
腔梗最好不要吃哪些食物
1、忌高脂肪、高熱量食物:若連續長期進高脂肪、高熱量飲食,可使血脂進一步增高,血液粘稠度增加,動脈樣硬化斑塊容易形成,最終導致血栓復發。忌食肥肉、動物內臟、魚卵等,少食花生等含油脂多,膽固醇高的食物;忌用或少用全脂乳、奶油、蛋黃、肥豬肉、肥羊肉、肥牛肉、肝、內臟、黃油、豬油、牛油、羊油、椰子油;不宜採用油炸、煎炒、燒烤烹調。
2、忌肥甘甜膩、過鹹刺激助火生痰之品:少甜味飲品、奶油蛋糕的攝入;忌食過多醬、鹹菜等。
3、忌生、冷、辛辣刺激性食物:如白酒、麻椒、麻辣火鍋等,還有熱性食物如濃茶、羊、狗肉等。
4、忌嗜煙、酗酒:煙毒可損害血管內膜,並能引起小血管收縮,管腔變窄,因而容易形成血栓;大量引用烈性酒,對血管有害無益。據調查,酗酒是引起腦梗塞的誘因之一。

