簡介
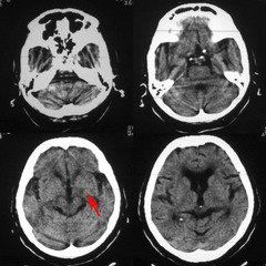
腔梗拍片腔梗又名腦腔梗,一種病症名稱,屬於中風的一種,約占“中風”19%。它是指發生在大腦深部某些缺血性微梗死,受累的腦動脈一般直徑多在3-4毫米。
腔梗拍片
腦腔梗在臨床上較為常見,就是通常所說的腔隙性腦梗塞,屬於腦梗塞(腦血栓、腦栓塞、腔隙性腦梗塞、多發性腦梗塞、短暫性腦缺血發作)的一種特殊類型,多發生在基底節區。是在高血壓、動脈梗化的基礎上,腦深部的微小動脈發生閉塞,引起腦組織缺血性軟化病變。其病變範圍一般為2-20毫米,其中以2-4毫米者最為多見。臨床上患者多無明顯症狀,約有3/4的患者無病灶性神經損害症狀,或僅有輕微注意力不集中、記憶力下降、輕度頭痛頭昏、眩暈、反應遲鈍等症狀。部分多發性腦腔梗,可影響腦功能,導致智力進行性衰退,最後導致腦血管性痴呆。該病的診斷主要為CT或MRI檢查,
對於“腔梗”的形成原因大多認為由高血壓所致的腦內細小動脈硬化,進而引起深部腦組織點狀缺血、壞死、液化並由吞噬細胞移走而形成一個小孔隙,即是CT片上所見的小低密度影。中年以上(一般指45歲以上)有高血壓病的,如果再有糖尿病、高血脂等腦血管病的危險因素,出現這樣的小“腔梗”是很多的。
因為人們對中風十分恐懼,CT片上的小“陰影”便成為蒙在病人心頭的大“陰影”,唯恐自己會很快癱瘓在床。事實上,因為“腔梗”的病灶很小,它涉及到的腦細胞範圍也就很小,出現的症狀比較單純,常常為單純的感覺喪失、單純的偏癱、共濟失調,即走路搖晃、手腳不聽使喚;單純的言語困難等症狀。這些症狀常突然發生,約30%病情在36小時內逐漸加重,但這種加重僅是程度上的加重,範圍並不擴大。如單純性的偏癱,可以從輕度的活動不便到明顯的癱瘓,但部位仍是一側的某部分
腦腔梗的臨床表現
臨床較為常見的有6種表現形式:
⑴純運動性輕偏癱;
⑵純感覺性卒中;
⑶同側共濟失調性輕偏癱;
⑷構音障礙-手笨拙綜合症;
⑸感覺運動型卒中;
⑹無症狀性腦梗死。
治療
既然知道了腦腔梗是什麼病,那么該用什麼藥物來治療它呢,其實能及早的發現腦腔梗是患者不幸中的萬幸,因為及時發現,用藥物干預還完全來得及,只要堅持用藥完全可以防止腦腔梗發展成重度腦梗塞
預防
除了用藥治療外,防治腦腔梗還應注意:
1、高血壓患者應長期藥物治療,定期測血壓,使血壓控制在正常範圍;
2、糖尿病患者要嚴格控制飲食,堅持降糖治療,使血糖控制在正常範圍,糖尿病患者血壓應控制在≤130/85mmHg;
3、高血脂患者應進行降脂治療;
4、定期進行血液流變學檢查,血粘稠度過高者,需口服小劑量阿司匹林;
5、定期心臟檢查,特別注意心功能變化及心律失常,改善心臟供血,防治冠心病;
6、對突發頭痛、頭昏、眩暈、記憶力力減退、反應遲鈍、遺忘、視物不清、面部發麻等症狀,應提高警惕,儘早到醫院做頭顱CT,以便早發現早治療。
意見和建議
腔梗治療是每個病人和家屬都很關心的問題,腔梗治療的最佳時間是發病的前3-6個月,腔梗治療需要注意飲食調理,清淡飲食,多吃新鮮的青菜和水果,避免辛辣刺激的食物,戒菸酒.適當做一些運動,不要太勞累,注意保持愉快的心情很重要.
定期“通血管”防病有害
一般來說,如果症狀明顯,可適當套用擴血管藥物,以增加腦組織血液供應,促進神經功能的恢復;如果沒有症狀,只是作頭顱CT偶然發現有陳舊的病灶,就無需特殊治療,更不需要住院。
病人中誤傳的每半年輸一次丹參,是錯誤的做法。因為任何藥物都有半衰期,靜脈輸丹參數十小時後就被機體排泄掉。活血化瘀也好,擴張血管也罷,都不能去除引起中風的其他因素,如動脈硬化本身的內膜斑塊,血液成分的改變和血壓隨時的變化等等。何況有時靜脈輸液還會引起心臟衰竭、輸液反應等各種意外。
中老年以上人群堅持監測血壓、血脂和血糖是很重要的。發現高血壓的,堅持服藥將血壓控制在正常水平;糖尿病患者要做系統治療;高血脂、肥胖的患者要減少脂肪和熱量的攝入,減輕體重,必要時服用降脂藥物。同時,戒酒戒菸,有規律的生活,儘可能去除緊張因素,心情愉快,適量運動,這才是預防“腔梗”逐步增多的最好辦法。

