臨床表現
(一)虱傳型回歸熱 潛伏期2~14天,平均7~8天,起病大多急驟,始以畏寒、寒戰和劇烈頭痛,繼之高熱,體溫1~2天內達40℃以上,多呈稽留熱,少數為弛張熱或間歇熱。頭痛劇烈,四肢關節和全身肌肉酸痛。部分病人有噁心、嘔吐、腹痛、腹瀉等症狀,也可有眼痛、畏光、咳嗽、鼻衄等症狀。面部及眼結膜充血,四肢及軀幹可見點狀出血性皮疹,腓腸肌壓痛明顯。呼吸、脈搏增速,肺底可聞細濕羅音。半數以上病例肝脾腫大,重者可出現黃疸。高熱期可有精神、神經症狀如神志不清、譫妄、抽搐及腦膜刺激征。持續6~7日後,體溫驟降,伴以大汗,甚至可發生虛脫。以後患者自覺虛弱無力,而其它症狀、肝脾腫大及黃疸均消失或消退,此為間歇期。經7~9日後,又復發高熱,症狀重現,此即所謂“回歸”。回歸發作多數症狀較輕,熱程較短,經過數天后又退熱進入第二個間歇期。一個周期平均約2周左右。以後再發作的發熱期漸短,而間歇期漸長,最後趨於自愈。
(二)蜱傳型回歸熱 潛伏期4~9天,臨床表現與虱傳型相似,但較輕,熱型不規則,復發次數較多,可達5~6次。蜱咬部位多呈紫紅色隆起的炎症反應,局部淋巴結腫大。肝脾腫大、黃疸、神經症狀均較虱傳型為少,但皮疹較多。
併發症
易並發支氣管肺炎。少數病例可發生DIC,偶見脾破裂及大出血。此外有中耳炎、心內膜炎、多發性關節炎等。蜱傳型復發病例後期常有眼併發症如虹膜炎、虹膜睫狀體炎和脈絡膜炎以及中樞神經系統併發症如腦膜炎及顱神經損害等,並可留有視力障礙和神經麻痹等後遺症。
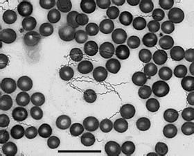
實驗室
發熱期取血或骨髓塗片染色鏡檢或暗視野檢查可發現螺旋體。
[治療]
(一)一般治療及對症治療:高熱護理,流質飲食,維持水電解質平衡。
(二)病原治療:首選四環素族抗生素

