名詞解釋
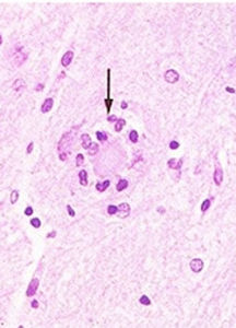
乙型腦炎增生的小膠質細胞包圍、吞噬神經元,這種現象稱為噬神經細胞現象。
小膠質細胞(microglia)是神經膠質細胞的一種,相當於腦和脊髓中的巨噬細胞,是中樞神經系統(CNS)中的第一道也是最主要的一道免疫防線。
小膠質細胞大約占大腦中的神經膠質細胞的20%。小膠質細胞不停的清除著中樞神經系統中的損壞的神經,斑塊及感染性物質。
相關細胞
嫌色細胞癌,微灶浸潤型鱗狀細胞癌,惡性組織細胞增生症,許特爾細胞瘤,噬神經細胞現象,Langerhans細胞,鬼影細胞,傷寒細胞,凹空細胞,APUD細胞

