簡介
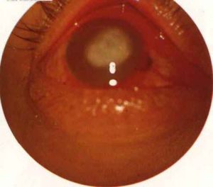
單純皰疹性角膜炎臨床表現
單純皰疹性角膜炎2.畏光、流淚、異物感或眼痛,視力下降;
4.地圖狀角膜炎:由樹枝狀潰瘍擴大加深而來;
診斷依據
1.典型的樹枝狀或地圖狀角膜病源或角膜盤狀混濁水腫;2.有近期發熱或抵抗力下降等誘因;3.病變組織可找到單純皰疹病毒。
治療原則
單純皰疹性角膜炎手術用藥原則
一般病情首選無環鳥苷滴眼液,也可選用其他抗病毒滴眼液。輔以抗菌素滴眼液及干擾素、維生素等。角膜上皮完整者可適當輔以皮質類固醇類滴眼液,並發虹膜睫狀體炎者用散瞳劑。
輔助檢查
一般病例做檢查框限“A”即可確診。不典型病例的檢查專案應包括檢查框限“A”和“B”,必要時可加查“C”。
療效評價
1.治癒:症狀消失,角膜潰瘍癒合或混濁水腫消退。2.好轉:症狀改善,充血減輕,角膜潰瘍部分癒合,角膜混濁減輕.3.未愈:症狀體徵無改善或加重。
專家提示
單純皰疹性角膜炎帶狀皰疹性角膜炎
帶狀皰疹病毒為一種生長在神經內的病毒,其可播散到皮膚,引起帶狀皰疹。即使帶狀皰疹可出現在面部或額部,但不一定都會危害眼睛。但是,如果第五對顱神經(三叉神經)的眼支受累,感染很可能播散到眼部。本病表現為疼痛、眼紅、眼瞼水腫。若角膜受累,角膜會出現水腫,遭到破壞和形成瘢痕。角膜後的組織也可發生炎症,這種情況稱為葡萄膜炎。眼壓可能升高,引起繼發性青光眼。角膜帶狀皰疹感染常見的併發症為角膜感覺減退和頑固性青光眼。如帶狀皰疹發生在面部並危害到眼睛,可口服阿昔洛韋一周,以減少發生眼部併發症的危險。皮質類固醇藥物,常配成眼藥水滴眼,也有幫助。阿托品眼藥水通常可用於擴瞳和防止繼發性青光眼。有時在皰疹癤消失後仍可出現疼痛(皰疹後神經痛)。對於60歲以上全身情況較好的患者,口服皮質類固醇2周,可預防這種皰疹後神經痛。

