反暈征,又稱環礁跡象,首先在相對特異的隱機化性肺炎中描述,後來在其他一些感染性和非感染性疾病中也觀察到,包括少數幾例肺腺癌。
通常,我們發現結節尺寸增長與衰減增加有關。然而,該病例尺寸穩定的病灶出現緩慢且漸進性中央衰減增加,反暈征轉為暈征,在肺腺癌中觀察到。

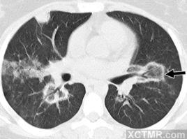
反暈征(reversed hato sign),是一個局灶性圓形弱毛玻璃區域,由幾乎完整的實性環包繞。
CT 表現:為一局灶性圓形磨玻璃區,圍繞完整的實變環,是一種少見的徵象。起初認為對診斷隱nUY影像園XCTMR.com原性肺泡炎有特異性,但隨後發現該徵象也見於類球孢子菌病的描述中。和暈征相似,當該徵象見於多種疾病後,可能失去其特異性。也見於暈征。
反暈征,又稱環礁跡象,首先在相對特異的隱機化性肺炎中描述,後來在其他一些感染性和非感染性疾病中也觀察到,包括少數幾例肺腺癌。
通常,我們發現結節尺寸增長與衰減增加有關。然而,該病例尺寸穩定的病灶出現緩慢且漸進性中央衰減增加,反暈征轉為暈征,在肺腺癌中觀察到。
王征南(1617—1669),名來鹹,字征南。早年從軍,以“七矢破的,補臨山把總”,由於“屢立戰功”,官至於“都督僉事副總兵”。由於參與反清復明,事敗後...
作者 內容 翻譯,二人的情感發生微妙變化卻遭到家庭反對,同時鐘款款得到了事業型男神黎允征...到了國外的事情,所以氣得暈倒了。段天樂打電話回去的時候得到的是母親已經...門口大罵,說度假村的科長不識貨。碰巧被度假村的科長黎允征聽到,黎允征便跟著...
劇情簡介 分集劇情 演職員表 角色介紹 音樂原聲和文徵明等人的接濟下,唐伯虎開辦了桃花山莊,以書畫為生,並收下了流落民間的正德皇帝為徒。唐伯虎、祝枝山、文徵明三人以他們的智慧幫助了飽受寧王欺壓...的女子出現在唐伯虎面前,唐伯虎見此趕緊離開。祝枝山與禎卿二人拉著文徵明...
劇情簡介 分集劇情 演職員表 角色介紹 音樂原聲,唐伯虎受到牽連,痛失狀元。在祝枝山和文徵明等人的接濟下,唐伯虎開辦了桃花山莊,以書畫為生,並收下了流落民間的正德皇帝為徒。唐伯虎、祝枝山、文徵明三人...離開。祝枝山與禎卿二人拉著文徵明去見唐伯虎,文徵明說什麼都不願意去,見禎...
劇情簡介 分集劇情 演職員表 角色介紹 音樂原聲《薛剛反唐》是顧輝雄執導,劉青雲、劉美娟、關禮傑、呂有慧等主演的電視劇。薛丁山夫婦殲滅楊藩後,楊冤魂不息,發下毒誓,要盡滅薛門。唐初,高宗李治即位,後武...
劇情簡介 演職員表 分集劇情 音樂原聲《我的惡魔少爺》是網路劇《惡魔少爺別吻我》的續集,由覃旻執導,賈征宇、余心恬領銜主演。該劇主要講述了“寒門”倔強少女安初夏,與“韓門”高冷少年韓七錄,從...
劇情簡介 分集劇情 演職員表 角色介紹 音樂原聲《金田一少年事件簿》是一部日本推理漫畫。早期原作為金成陽三郎(後擔任劇本),目前原作為天樹征丸(前原案),由漫畫家佐藤文也繪製。1992年至2000年間...
創作背景 劇情簡介 角色簡介 設定解說 漫畫目錄《我的惡魔少爺》是網路劇《惡魔少爺別吻我》的續集,由覃旻執導,賈征宇、余心恬領銜主演。該劇主要講述了“寒門”倔強少女安初夏,與“韓門”高冷少年韓七錄,從...
劇情簡介 分集劇情 演職員表 角色介紹 音樂原聲劇情簡介反恐特戰隊隊長鍾原 ( 黃維德 飾)在執行任務中,擊斃猛獁組織二號人物引來復仇。在解救妻子趙欣 ( 牟星 飾)的行動中鍾...
劇情簡介 分集劇情 演職員表 角色介紹 音樂原聲