病因
病原菌主要為金黃色葡萄球菌,也可有化膿性鏈球菌及其他革蘭陰性菌感染,多發生於青年和中年婦女,可能與女性頂泌汗腺較發達有關。出汗較多,皮膚髒污,以及摩擦、搔抓等,可為本病的誘因。Shelly等對正常受試者的腋窩給予局部封閉包紮,使皮膚浸漬,即可以產生化膿性損害,因此他們認為由於腋窩部位的浸漬,致使頂泌汗腺發生角質性阻塞因此引起局部的感染。其他誘因包括雄激素過高、內分泌疾病、免疫功能不全、肥胖、吸菸等。本症與聚合性痤瘡、膿腫性穿掘性毛囊炎可同時存在,稱為毛囊閉鎖三聯症,為常染色體顯性遺傳。
臨床表現
1.腋窩汗腺炎
初起為一個或多個小的硬性皮下結節,以後有新疹陸續成批出現,排列成條索狀,或群集融合成大片斑塊。其結節表面可無明顯的化膿現象,偶爾其頂端出現一小膿皰,自覺疼痛及壓痛,全身症狀輕微。約經幾周或數月後結節深部化膿,向表面破潰,形成廣泛的瘺道及較大於青年和中年婦女,可能與女性汗腺較發達有關。如不治療,可時好時發,呈慢性過程。兩側腋窩同時受累者約占20%
2.外生殖器、肛周汗腺炎
多與腋窩汗腺炎同時並發或隨後發生,但亦可首發。多見於男性,且常伴有聚合性痤瘡。初在腹股溝、陰囊、股部或臀部、肛周發生豌豆大小的硬性結節,很快破潰,形成潛行性潰瘍,且有瘺道互相連線,可向肛門壁穿破而形成肛瘺。女性乳暈亦可受累,在腋窩、肛門或生殖器部位可見多數黑頭粉刺,此具有診斷意義。其病程比腋窩汗腺炎更頑固,可持續多年。
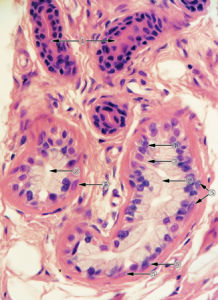
檢查
組織病理檢查,早期毛囊角栓並逐漸出現毛囊破裂,在頂泌汗腺及其擴張導管周圍有中性粒細胞浸潤,革蘭染色在腺體及真皮內有大量球菌,以及小汗腺亦受侵,在血管周圍有大量淋巴西部及漿細胞浸潤。最後腺體被破壞,腺體上皮碎片的四周有異物巨細胞浸潤。在癒合區域可見有廣泛纖維化,所有皮膚附屬檔案皆被破壞。
診斷
根據其發生硬性結節、潛行性潰瘍、交通性瘺道以及發生於腋窩、腹股溝等部位,典型病例不難診斷。
鑑別診斷
需與皮膚瘰癧性結核、腹股溝肉芽腫、性病淋巴肉芽腫以及梅毒性淋巴結腫大等進行鑑別,可做細菌學及血清學的檢查,必要時可做活檢。
治療
1.一般處理
保持局部皮膚乾燥、清潔,避免摩擦、搔抓等刺激。
2.全身療法
早期急性損害可使用短程抗生素治療,如每日四環素,或米諾環素,共10天,可獲得效果。難治的患者,可較長期進行抗生素治療。
糖皮質激素如潑尼松,療程一周。糖皮質激素皮損內注射,短時間可能有效。對抗生素及糖皮質激素治療都無效的嚴重汗腺炎且又不適宜於外科手術切除者,Ebling發現用醋酸氯羥甲烯孕酮作為睪酮拮抗劑治療2~3個月,損害完全消退。異維A酸,使用4~6月,可使約1/4病人緩解好轉。
3.局部治療
局部應保持清潔衛生,可用0.1%依沙吖啶溶液、0.5%新黴素溶液或馬齒莧煎劑等,清洗患處,2或3次/天。一般儘量不要切開引流,對已成熟的膿腫,可切開排膿。此外,亦可使用淺層X線放射治療。對頑固性反覆復發的病例,可行廣泛手術切除病損處皮膚及皮下組織,並行植皮,但腹股溝及乳房下皺褶部位不主張進行手術治療。
4.中醫藥治療
在急性發作期,以清熱解毒為主。

