概述
分泌性乳腺癌2012版WHO乳腺腫瘤病理學和遺傳學分類標準將其歸為罕見類型和變異型腫瘤,並定義為“一種罕見的、低級別、染色體易位相關性浸潤性癌,具有實性、微囊性或管狀結構,可產生細胞內和細胞外分泌物”。
病因
分泌性乳腺癌的發病原因尚沒有定論,可能與基因易位有密切的關係。這種基因易位可導致功能性氨酸激酶的產生,進而導致細胞的轉化,可能是分泌性癌的原發性遺傳性病變。國外分子遺傳學研究顯示分泌性乳腺癌存在染色體t(12;15)(p13;q25)平衡易位,ETS變異基因6(ETV6)和神經酪氨酸激酶受體3(NTRK3)基因發生重排,產生只能在小兒惡性間葉性腫瘤中(先天性纖維肉瘤和先天性中胚葉腎瘤)檢測到的ETV6-NTRK3基因融合,進而活化MAPK和PI3K/Akt1信號通路,促進癌細胞增殖和存活。這種基因融合只能在分泌性乳腺癌中能檢測出來,在其他類型乳腺癌中均未檢測到該基因。
分泌性乳癌臨床表現
患者臨床通常表現為乳腺內的無痛性、邊界清楚、活動度良好的腫塊,類似於乳腺纖維腺瘤,呈惰性生長,腫塊直徑平均3cm(0.5~12cm),且腫塊的肉眼觀察與其他類型乳腺癌並無明顯區別,其診斷主要依據腫塊的鏡下組織學特點:
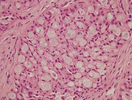
(1)腫瘤細胞排列成3種結構:微囊狀、小管狀、實性片狀,3種結構通常以不同比例同時存在。
(2)腫瘤細胞形態分為2類:胞質內含嗜酸性顆粒的分泌細胞(A型細胞)和胞質呈透明空泡樣的分泌細胞(B型細胞)。
(3)細胞內外分泌物PAS呈陽性。
檢查
體格檢查
檢查雙側乳腺。
影像學檢查
1.乳腺X線攝影:
是近年來國際上推薦的乳腺癌篩查中的主要方法,可以發現臨床查體摸不到腫塊的乳腺癌,通常用於40歲以上的婦女,此年齡段婦女乳腺對射線不敏感,受到的放射損傷有限,且乳腺密度相對較低,乳腺X線片容易發現異常徵象。
2.乳腺彩超:
對人體沒有損傷,對年輕女性、緻密型乳腺檢查均較理想。
3.MRI檢查:
可以發現多灶、多中心的小病灶。
治療
腫瘤治療以外科手術為主。針對不同年齡患者,手術切除範圍不同。有研究者認為兒童患者宜採取腫塊局部切除+前哨淋巴結活檢/完整腋窩淋巴結清掃;成人患者則根據腫瘤大小及淋巴結轉移情況,選擇腫塊局部切除或乳腺改良根治。此外,由於分泌性乳腺癌發生全身性轉移的情況較少,有研究者認為分泌性乳腺癌患者並不適宜增加任何的輔助治療,且分泌性乳腺癌細胞對多種化療方案並不敏感。因此,不推薦患者行任何的輔助治療。
預後
若分泌性乳腺癌患者年齡小、腫塊直徑<2cm、有明顯邊界者預後較好,若患者為男性、有乳腺癌家族史、Ki-67增殖指數高者提示預後不良。
預防
無症狀人群的監測
對30歲以上婦女應推行乳房自我檢查,40歲以上婦女應每年做1次臨床檢查,50歲以上婦女每年應進行臨床及必要時的X線攝影篩查,乳腺癌的高危人群包括:30歲以上初孕歲以前月經初潮,50歲以後絕經、肥胖症、高脂膳食者,有卵巢病史及子宮內膜炎病史者,篩查時,應特別注意。
一般預防
(1)加強身心修養,保持良好的精神狀態;
(2)日常注意飲食營養的均衡,不偏食不反覆吃相同的食物和藥物;
(3)不吸菸不酗酒,適量攝入富含維生素A、C、E和微量元素硒的食物,少吃過鹹過熱和燒焦的食物,不吃發霉的食物;
(4)避免過度日曬、避免過度勞累,保持個人的清潔衛生,注意身體鍛鍊等以增強體質,提高自身抗癌能力。
飲食
飲食宜清淡,適當增加營養,宜食用瘦肉、魚肉、蛋奶類食物;多吃新鮮蔬菜水果;忌食辛辣刺激食物。

