概況
先天性支氣管源性囊腫也被稱為支氣管源性囊腫,指以支氣管組織成份為囊壁、內含粘液或氣體的先天性囊腫,曾被稱為先天性囊性支氣管擴張或先天性支氣管源性囊腫。目前認為是肺胚胎髮育過程中,大多數發生在26~40天,是氣管發育的最活躍期,與肺隔離症相似,肺芽遠端小塊肺實質細胞在其分支過程中與之脫離,異位發育而成,但與肺隔離症不同,它沒有進一步發育異常胚芽出現的時間的早晚,決定了其部位。異常發育出現較早,肺胚芽尚在大氣管附近發育時,囊腫位於縱隔或肺門,稱為支氣管囊腫;而異常發育出現較晚者,異常胚芽易於停留在肺內,囊腫多位於肺內,稱為肺囊腫。
病理特徵
大小不等,多為單發,也可多發,罕見雙側發病,既可位於肺內(肺內型,也被稱為先天性肺囊腫),也可位於縱隔(縱隔型),以肺內者稍多見(占50%~70%),左肺多見,個別病例可異位在胸腔外,曾報告1例位於膈肌內。可能與其他畸形(如支氣管閉鎖)並存。廣泛多發的蜂窩狀肺囊腫,被稱為先天性囊性支氣管擴張。
大小不一,直徑多在2~10cm,支氣管組成的囊壁厚薄不等,其外層為平滑肌纖維、粘液腺、軟骨組織及結締組織,內層覆以柱狀或假復層呼吸道纖毛上皮,如有過感染,上皮可化生為扁平上皮,且可見肉芽組織。因囊腫無呼吸通氣,故無碳末沉著,此為先天性囊腫的特徵。
囊內壁可光滑或有網狀小梁,含粘液,囊腫的大小取決於囊內容的多少。如囊腫與支氣管不通,稱為閉合囊腫或液性囊腫;如囊腫與支氣管交通,則會引起囊腫感染,而通道狀態也決定了囊腫的狀態,如通道較小,囊內容物部分經支氣管排出,氣體進入囊腔,呈現氣液平,形成厚壁的含氣囊腫,囊內容物可為膿性或血性;如通道較大,內容物排淨,囊腫完全充氣,形成氣性囊腫。如通道呈活瓣狀,可能形成張力性囊腫。縱隔內的囊腫常見有一蒂樣條索與氣管、支氣管相連。
臨床表現
1.性別:
先天性囊性支氣管擴張 可發生於任何年齡段,但以10歲以下最為常見,男女發病率相近。
2.年齡:
有出生後即刻出現症狀而手術者,但多在青、中年出現症狀而手術。
3.症狀:
主要引起兩大類症狀,即:壓迫症狀和感染症狀。
壓迫症狀:壓迫支氣管可出現乾咳、氣急、呼吸困難等。如為張力性囊腫,可因囊腫快速、極度的膨脹,出現類似張力性氣胸的症狀。壓迫食管可致梗噎。而在小兒,巨大的囊腫可能壓迫循環系統,造成極度呼吸困難和發紺。囊腫感染及囊內出血可使囊腫短期內迅速增大,並伴有壓迫及疼痛等症狀。
感染症狀:囊腫感染多因其與支氣管相通所致。可出現咳嗽、咳痰、咯血、發熱等,嚴重者,可出現高熱、寒戰、排大量膿痰。
4.X線表現:
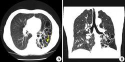
透視可見囊腫隨呼吸運動改變其大小。此症在肺內表現為圓形或類圓形陰影,邊緣清晰銳利,在與支氣管相通之前,表現為較高密度且均勻的影像,如與支氣管相通且氣體進入囊腫後,出現氣液平及單腔或多腔表現。如囊腫感染,其邊緣不清,周圍組織肺炎症表現。
5.其他檢查:
支氣管鏡檢查用以除外其他支氣管腔內腫瘤,支氣管造影可除外支氣管擴張,應避免穿刺活檢,以防囊腫破裂、感染。
X射線表現
先天性支氣管源性囊腫常見於兒童病例,囊腫位於肺間質或縱隔內。約70%位於肺內,30%位於縱隔。由於囊腫可為單個或多個,含氣體或液體量不同,因而在X線胸片上可呈現不同表現:
1.單個液氣囊腫:最為常見,囊腫大小不一,可見圓形薄壁囊腫,內有液面。此種囊腫的特點是囊壁菲薄,鄰近肺組織無炎性浸潤病變,纖維性變不多,需與肺膿腫,肺結核空洞和肺包蟲囊腫鑑別。在X線上表現肺膿腫壁較厚,周圍炎症表現明顯,肺結核空洞則有較長病史,周圍有結核衛星灶。肺包蟲囊腫有流行病學的地區特點、生活史和職業史、血像、皮內試驗等有助於鑑別。
2.單個氣囊腫:胸片上示病側肺部含氣囊腫,巨大的氣囊腫可占據一側胸腔,壓迫肺,氣管,縱隔,心臟,需與氣胸鑑別。氣胸的特點是肺萎縮推向肺門,而氣囊腫的空氣位於肺內,往往仔細觀察在肺尖和肋隔角處可見到肺組織。
3.多個氣囊腫:臨床也較多見,胸片上呈現多個大小不一、邊緣不齊的氣囊腫,需與多個肺大皰鑑別。尤其在小兒,肺大皰常伴有肺炎,在X線上以透亮圓形薄壁大皰及其大小、數目、形態的易變性為特徵。每在短期隨訪中就見較多變化,有時可迅速增大,或破裂後形成氣胸。肺部炎症一旦消退,大皰有時可自行縮小或消失。
4.多發性液、氣囊腫:胸片上可見多個大小不一的液、氣腔。尤其病變位於左側者,需與先天性膈疝鑑別,後者也可呈現為多個液平,必要時口服碘油或稀鋇檢查,若在胸腔內見到造影劑進入胃腸道,則為隔疝。
發病時期
先天性囊性支氣管擴張 先天性肺囊性病是較少見的先天性肺發育異常。其病理分類和命名比較混亂,意見不一,以往統稱先天性肺囊腫,現在比較一致地稱為先天性肺囊性病,包括支氣管源性囊腫(肺囊腫)、肺泡源性囊腫、肺大葉氣腫(肺大皰)、囊性腺瘤樣畸形和先天性囊腫性支氣管擴張等。
胚胎髮育期,因氣管、支氣管異常的萌芽或分支異常發育所致。病變可發生在支氣管分支的不同部位和顯示不同的發育階段。囊腫常為多房性,也可為單房性。囊壁多具有小支氣管壁結構,內層有纖毛柱狀上皮,外層可見散在小片軟骨,壁內可見到平滑肌束和纖維組織。囊狀病變結構內層可見不同的皮皮細胞,有柱狀、立方形和圓形上皮細胞,這顯示出支氣管樹分支發育不完全的不同程度。有些具有分泌粘液的柱狀細胞,腔內充滿粘液。
小的支氣管囊腫在臨床上不呈現症狀,僅在X線胸部檢查或屍檢時才被發現。一旦囊性病變與小支氣管溝通,引起繼發感染或產生張力性氣囊腫、液囊腫、液氣囊腫或張力性氣胸等壓迫肺組織、心臟、縱隔和氣管移位時,就可出現症狀。
(一)嬰幼兒期:張力性支氣管源性囊腫、肺大葉氣腫和肺大皰較多見。臨床上常呈現胸內張力性高壓症狀,表現為呼吸急促、紫紺或出現呼吸窘迫等症狀。體檢見氣管移向對側,患側叩診鼓音,呼吸音降低或消失。胸片顯示患側肺囊性病變引致肺不張,縱隔、氣管移位,並可呈現縱隔疝和同側肺不張,病情危急,不及時診斷和治療,可因呼吸衰竭死亡。
(二)兒童期:較多見的為支氣管源性囊腫。臨床表現為反覆肺部感染。患者常因發熱、咳嗽、胸痛就診。症狀類似支氣管肺炎。
(三)成人期:多見於後天繼發性肺大皰和支氣管源性囊腫。臨床表現均因繼發感染出現症狀,如發熱、咳嗽、膿痰、咯血、胸悶、哮喘樣發作、勞累性氣促和反覆出現氣胸等症狀。需與肺膿腫、膿胸、支氣管擴張、肺結核空洞和肺部腫瘤等鑑別。
各型特點
肺支氣管囊腫
在成人,多數非感染性囊腫可無症狀,胸片偶然發現,有症狀者,咯血最常見,這幾乎均與囊腫內或周圍感染有關,如囊腫與支氣管的交通呈活瓣機制,可使囊腫迅速增大。
典型的放射學表現為邊緣清楚、單發、圓形或橢圓形陰影,位於下葉的中三分之一,陰影的大小和形狀很少隨時間而改變,雖然也可見到數年後稍有增大者,75%於支氣管相通,並引起感染,相通後含氣,這類感染病人可因周圍炎性組織而使陰影邊緣變得模糊,而囊腫的陰影特性只有在感染消退後才能顯出。
多囊肺
支氣管源性囊腫的分型:依其所在部位分類,分為肺外型和肺內型兩類。依其存在數量分類,分為單髮型、多髮型兩型,後者又分為局部多發(限於肺段或肺葉內)、瀰漫多發(多囊肺)兩個亞型。多囊肺的放射學特徵為多個圓形囊腔如蜂窩狀充滿患肺,有時很像極度充氣的腸袢,故需與膈疝、膈破裂鑑別。
縱隔支氣管囊腫
縱隔支氣管囊腫診斷主要依靠胸部X線檢查,表現縱隔部位圓形或類圓形邊緣光滑或銳利的均勻一致的緻密陰影。CT等有助於鑑別肺與縱隔及周圍重要器官的關係。囊腫較大時纖維支氣管鏡,食管鋇透檢查可顯示相應部位的氣管、支氣管或食管受壓情況。如囊腫與氣管或支氣管相通,囊腫內可見液平。有時在X線透視下囊腫可隨吞咽運動上下活動或變形,囊腫超聲可以鑑別囊內液體的性質,以排除血管性腫物。縱隔支氣管囊腫術前確診比較困難。
食管囊腫
食管囊腫與支氣管囊腫均為前腸發育異常所致,故常被統稱為前腸囊腫,食管囊腫多位於後縱隔食管附近,腔內壁被覆鱗狀上皮,囊壁含骨骼肌,不含軟骨。另外,張力性含氣囊腫還須與氣胸鑑別。
鑑別診斷
有輕度感染症狀者應注意與肺結核、支氣管擴張、肺大泡、氣胸等鑑別,感染嚴重者注意與肺膿腫、膿胸等鑑別。含氣囊腫要注意與肺大泡鑑別。由於肺膿腫或結核性空洞癒合後形成的後天性囊腫,其內壁也可覆蓋上皮組織,但囊壁不含軟骨、腺體及平滑肌組織,常見碳末沉著。與食管囊腫的鑑別:食管囊腫與支氣管囊腫均為前腸發育異常所致,故常被統稱為前腸囊腫,食管囊腫多位於後縱隔食管附近,腔內壁被覆鱗狀上皮,囊壁含橫紋肌,不含軟骨。如組織病理學同時具有兩種囊腫的特性,被稱為混合性囊腫。
先天性肺囊腫與金黃色葡萄球菌性肺炎所致的氣性囊腫不同,後者發展快,變化多,最終可治癒、吸收。另外,張力性含氣囊腫需與氣胸鑑別。
治療和預後
臨床擬診本病時,應儘量避免作胸腔穿刺,以免引起胸腔感染或發生張力性氣胸。僅在個別病例,表現嚴重呼吸窘迫征、紫紺、缺氧嚴重,又無條件作急診手術時,才可作囊腫穿刺引流,達到暫時性減壓,解除呼吸窘迫症狀,作為術前一種臨時性緊急措施。一般切除病變囊腫或肺葉,預後良好。
成人患者若術前痰量很多,手術時需作雙腔氣管插管麻醉,避免痰液倒流至對側。小兒可採用患側低位的低俯臥位開胸,進胸後先行結紮病肺支氣管。
如病變過於廣泛,肺功能嚴重下降或合併存在嚴重心、肝、腎等器質性疾患時,則禁忌手術。應積極手術切除,時間越早越好,有人主張在1歲內手術為好,因 其極少感染,更易行囊腫摘除術。如囊腫已感染,以控制感染3個月後手術為好。切除可治癒,無復發。
