細胞介紹
1973年建系,來自人食管中段鱗癌組織,小塊法原代培養建系。BALB/c裸鼠移植成瘤。細胞特性
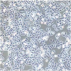
人食管癌細胞2)形態:上皮細胞樣
3)含量:>1x106個/mL
4)污染:支原體、細菌、酵母和真菌檢測為陰性
5)規格:T25瓶或者1mL凍存管包裝6)科研機構: 賽百慷
運輸和保存
使用含有優質胎牛血清的2ml凍存管傳送存活細胞。收到細胞後,可在1000RPM,常溫條件下,離心5min後,於潔淨操作台棄去上清,加入推薦使用的培養基後轉移至10cm培養皿或者T25培養瓶中培養,傳代達到細胞生長狀態良好時,再進行凍存。具體操作見細胞培養步驟。細胞用途
僅供科研使用。細胞培養步驟
一.培養基及培養凍存條件準備:1)準備RPMI-1640培養基(RPMI-1640:GIBCO,貨號21875-091),90%;優質胎牛血清,10%。
2)培養條件:氣相:空氣,95%;二氧化碳,5%。溫度:37攝氏度,培養箱濕度為70%-80%。
3)凍存液:90%完全培養基,10%DMSO,現用現配。液氮儲存。
二.細胞處理:
1)復甦細胞:將含有1mL細胞懸液的凍存管在37℃水浴中迅速搖晃解凍,加入4mL培養基混合均勻。在1000RPM條件下離心4分鐘,棄去上清液,補加1-2mL培養基後吹勻。然後將所有細胞懸液加入培養瓶中培養過夜(或將細胞懸液加入10cm皿中,加入約8ml培養基,培養過夜)。第二天換液並檢查細胞密度。
2)細胞傳代:如果細胞密度達80%-90%,即可進行傳代培養。
三.對於貼壁細胞,傳代可參考以下方法:
1.棄去培養上清,用不含鈣、鎂離子的PBS潤洗細胞1-2次。
2.加2ml消化液(0.25%Trypsin-0.53mMEDTA)於培養瓶中,置於37℃培養箱中消化1-2分鐘,然後在顯微鏡下觀察細胞消化情況,若細胞大部分變圓並脫落,迅速拿回操作台,輕敲幾下培養瓶後加少量培養基終止消化。
3.按6-8ml/瓶補加培養基,輕輕打勻後吸出,在1000RPM條件下離心4分鐘,棄去上清液,補加1-2mL培養液後吹勻。
4.將細胞懸液按1:2到1:5的比例分到新的含8ml培養基的新皿中或者瓶中。
3)細胞凍存:待細胞生長狀態良好時,可進行細胞凍存。貼壁細胞凍存時,棄去培養基後加入少量胰酶,細胞變圓脫落後,加入約1ml含血清的培養基後加入凍存管中,再添加10%DMSO後進行凍存。
注意事項
1.收到細胞後,若發現乾冰已揮發乾淨、凍存管瓶蓋脫落、破損及細胞有污染,請及時溝通。2.收到細胞先不開瓶蓋,瓶身擦拭酒精後放在培養箱靜置2-4小時(視細胞密度而定)穩定細胞狀態。接著在倒置顯微鏡下觀察細胞生長情況,並對細胞進行不同倍數拍照(建議收細胞時就整體外觀拍一張照片,觀察培養基的顏色和是否有漏液情況,隨後在顯微鏡下拍下細胞狀態,100*,200*各一張),觀察記錄細胞在運輸過程中是否有污染情況。作為我方進行銷售依據。
3.由於細胞狀態受環境、操作和運輸等多方面因素影響,故本公司只保證客戶收到細胞後一周內的細胞狀態,故客戶需要售後時需出示收到細胞的時間證明及客戶提供收貨時間和發現問題後相關人員溝通的時間證明,期間間隔時間不能大於7天。
4.所有動物細胞均視為有潛在的生物危害性,必須在二級生物安全台內操作,並請注意防護,所有廢液及接觸過此細胞的器皿需要滅菌後方能丟棄。
5.客戶在細胞培養過程中,有任何技術問題可以聯繫技術售後.我們隨時給予解答。
