介紹
Geschickter和Baltimorel在1938年首次將乳腺原發粘液腺癌分為單純型和混合型,並且總結了患者的預後與腫瘤產生粘液的特徵有相關關係。一般認為單純型和混合型乳腺粘液腺癌的發病比例在1:1和5:2之間。
粘液腺癌腫瘤直徑介於0.8厘米-5.3厘米,平均3.4厘米。單純型一般較混合型小,呈局限性生長。有報導單純型乳腺粘液腺癌10年生存率在80%~92%,均明顯高於混合型粘液腺癌。淋巴結轉移的狀況是影響其預後的主要因素。單純型粘液腺癌腋下淋巴結轉移率很低,混合型粘液腺癌較單純型腋下淋巴結轉移率高。
病理
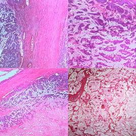
粘液腺癌病理表現為大量細胞外粘液中漂浮有實性團狀、條索狀、腺管狀、篩狀等結構癌組織灶,癌細胞大小相似,異型性明顯,分裂象易見;混合型還伴有浸潤性導管癌等成份。粘液湖被纖維組織分隔,腫瘤周邊也有纖維組織間隔,這可能是阻止癌細胞擴散的一個因素。粘液是癌細胞變性崩解產物,為酸性或中性粘液。粘液腺癌被認為系來源於導管內癌或浸潤性導管癌。
乳腺腫瘤中出現粘液或粘液變性者較多,因此,粘液腺癌須與其它腫瘤進行鑑別:
①印戒細胞癌具有印戒細胞呈單個縱列或瀰漫浸潤於纖維組織中,癌細胞胞漿內出現粘液空泡,將核擠向一側呈“印戒狀”等特徵,其生長方式也呈瀰漫性。
②纖維腺瘤、乳頭狀瘤、導管增生等良性疾病均可伴有局灶性或廣泛性粘液樣變,但細胞缺乏異型性,纖維腺瘤有真正胞膜等可資鑑別。
③轉移性粘液腺癌應進行B超、X線、CT、纖維胃鏡等檢查,可排除消化道、生殖道等其它各部位腫瘤。
多數研究者認為腫瘤組織中粘液的產生和量的多少在影響其預後中起重要作用,指出粘液形成是癌細胞變性壞死的結果,因而惡性度下降。粘液癌的粘液分泌越多,預後越好。但在另一些臨床分析中又發現粘液產生量與淋巴結轉移之間又無明顯關係。
治療方法
混合型粘液腺癌採用根治或改良根治術,單純型粘液腺癌由於轉移少、預後好,可採用乳腺紅光檢查治療儀區段切除或單純切除,並結合激素受體的檢測情況輔以內分泌治療。

