病因病理
中央型肺癌系起自三級支氣管以內的肺癌。病理組織分型發生於支氣管的肺癌多數為鱗癌,也可為未分化癌,腺癌少見。按生長類型分為:
1.管內型:癌腫自支氣管黏膜表面向管腔內生長,形成乳頭、息肉或菜花樣腫塊,逐漸引起支氣管阻塞。
2.管壁:癌瘤沿支氣管壁內浸潤生長,管壁輕度增厚或明顯增厚。管腔不同程度狹窄或梗阻。
中央型肺癌3.管外型:癌瘤穿過支氣管外膜,在支氣管壁外形成腫塊,支氣管可有不同程度的狹窄。
臨床表現
一。早期肺癌:早期肺癌並不產生症狀,所以又叫無症狀期,短則數月,長則幾年,因人而異此時患者很少就醫,所以臨床上很難發現,部分肺癌的早期症狀只是乾咳、胸痛、低熱、咳血等一般呼吸道症狀,這些症狀與感冒、支氣管炎、肺炎等病相混淆,很難引起患者的注意。
二。晚期肺癌:晚期肺癌病人常見消瘦、乏力、貧血、發熱等表現,腫瘤侵犯鄰近器官組織或發生遠處轉移時,可有氣促 、聲帶麻痹、聲音嘶啞、頸靜脈怒張、胸腔積液或吞咽困難等症狀。
三。體徵:
1.全身情況:凡年齡在40歲以上,特別是男性有長期吸菸史者,出現刺激性咳嗽3周以上,經治療無效,或痰中帶血,或同一部位的肺炎反覆發作,原因不明的四肢疼痛和杵狀指、肺氣腫、肺不張、肺部隱痛及胸腔積液者均應考慮為此病。
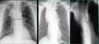
2.X線檢查:是診斷肺癌的一個重要方法,中央型肺癌肺平片可見到肺門部位有不規則的半圓形陰影。周圍型肺癌的X片上,肺野中有直徑1~2厘米的結節到5~6厘米的巨大塊狀陰影。
3.痰液細胞學檢查:從病人咳出的痰液中可能找到脫落的癌細胞。
4.支氣管鏡檢查:對中央型肺癌能直接窺見肺葉支氣管口腫瘤的,可採用組織作病理檢查,以明確診斷。
5.穿刺活組織檢查:靠近胸壁較大的周圍型肺癌,在X線透視定位下經胸壁穿刺腫瘤,採取組織作病理學檢查。
6.轉移病灶活組織檢查:對已出現鎖骨上、頸部或腋下淋巴結轉移的晚期病人,可切取淋巴結轉移灶作病理檢查。
7.放射性核素掃描和CT檢查,免疫學檢查,剖胸探查。
影像學表現
X線表現
①癌瘤局限於黏膜,未構成支氣管的狹窄及阻塞者,X線上可無陽性表現。
②癌瘤致支氣管狹窄,可出現一側或葉的肺氣腫。深呼氣位照片易於顯示。
③癌瘤致支氣管狹窄,造成分泌物引流不暢,則出現阻塞性肺炎或阻塞性肺不張。
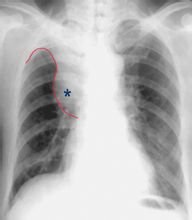
④癌瘤致支氣管阻塞則出現阻塞性肺不張。另外,癌瘤向支氣管外蔓延,形成肺門區腫塊。右上葉肺癌可出現典型的橫“S”征。
⑤癌瘤主要向支氣管管外蔓延,在肺門區形成腫塊及結節,邊緣多呈分葉狀或欠規則。右側者可示肺門角消失。
⑥支氣管體層示支氣管壁不規則增厚,管腔局限性不規則狹窄甚至截斷。可見軟組織腫塊。
⑦支氣管造影示管腔對稱性或不規則狹窄,支氣管阻斷及杯口樣充盈缺損。
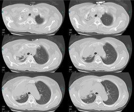
CT表現
中央型肺癌①腫瘤沿支氣管壁生長,顯示支氣管壁不規則增厚和管腔狹窄,甚至造成支氣管閉塞。
②腫瘤致支氣管狹窄而發生阻塞性氣腫、阻塞性肺炎,甚至發生肺膿腫。
③腫瘤形成較大肺門腫塊,此時多合併肺不張,腫塊與不張肺相連,形成“S”狀或反“S”狀邊緣。
④中央型肺癌可直接侵犯縱隔,表現為與肺門腫瘤相連的縱隔腫塊,增強檢查不但有助於鑑別肺門腫塊與血管,且可顯示肺門及與之相連的縱隔腫塊呈同樣程度強化。
MRI表現
①受累支氣管呈鼠尾狀或管狀狹窄,甚至完全閉塞。
②正常肺門區支氣管和肺血管為無信號結構且肺組織也無信號,因而易於發現肺門區腫塊。
③腫塊常呈分葉狀,T1加權像其信號略高於肌肉,而在T2加權像,腫塊常為非均質高信號。
④腫塊內發生壞死時,壞死區組織的T1和T2值均延長。
⑤腫瘤阻塞支氣管可造成阻塞性肺炎或肺不張,在周圍無信號肺組織襯托下得以顯示。腫塊與阻塞性肺炎及肺不張信號強度不一,兩者可以鑑別。
⑥當腫瘤直接侵犯縱隔時,由於腫瘤與縱隔血管和脂肪間有明顯信號差,且能橫斷、冠、矢狀多方位顯示,因此 MRI對縱隔受累的顯示常優於 CT。
⑦MRI檢查易於發現縱隔淋巴結轉移,特別是冠狀面成像清楚顯示隆突下、主-肺動脈窗等處腫大淋巴結。與CT相同,MRI判斷淋巴結增大的標準為大於15cm,同樣也不能鑑別轉移或炎性淋巴結增大。
鑑別診斷
中央型肺癌中央型肺癌形成較大肺門腫塊,合併肺不張、阻塞性肺炎和/或並有縱隔直接侵犯和淋巴結轉移時,診斷並不困難。但當腫瘤較小,沿支氣管壁生長時,難與炎症性病變、結核性支氣管狹窄或其他良性腫瘤鑑別,確診需結合臨床資料和支氣管鏡檢查。
綜合治療
中央型肺癌系指發生於支氣管、葉支氣管及肺段支氣管的肺癌。中央型肺癌以鱗癌和小細胞癌居多,傳統的中央型肺癌的治療方法有手術、放化療、中醫治療以及伽瑪刀治療等。但是由於中央型肺癌其位於肺門附近,手術切除難度較大,手術治療只能做全肺切除術,病人通常難以承受。
1.手術治療:
多適用於早期未發生其他部位擴散轉移的患者,但中央型肺癌位於肺門附近,手術切除難度大,術後易復發轉移,手術治療不能達到理想效果。所以一旦施行手術治療,在中央型肺癌治療前後可結合中醫中藥進行協同治療,一方面可增強手術耐受性,提高手術療效,而且可以有效的幫助手術治療的順利進行。
2.放化療:
中央型肺癌以鱗癌和小細胞癌居多,對化療,放療較敏感。臨床上一般將放化療作為中央型肺癌治療的常規方法。但放、化療為單一局部療法,具有很大的局限性,且毒副作用較大,聯合中藥治療可有效減輕放、化療毒性反應,提高綜合療效。
不能耐受肺癌手術(即因內科因素不能接受手術)的患者的治療選擇為體外放射治療、立體定位放射治療及立體定位放射外科手術。晚期非小細胞肺癌會根據病情嚴重性、肺部腫瘤的大少及有否轉移決定以手術、立體定位放射外科手術、立體定位放射治療、化療、或混合以上療法治療。
全球最新型的全身立體定位放射外科治療設備射波刀,治療肺癌有著非常先進的技術:
首先,患者呼吸時,肺部會隨著呼吸移動,腫瘤的位置也會發生改變,射波刀使用影像引導軟體對患者的腫瘤位移進行實時追蹤並持續修正。這使其遠遠領先於其他治療方法。通過這項技術,患者可以在治療期間正常呼吸並充分放鬆。
其次,某些放射手術需要把堅硬的頭架以鏍絲釘固定在患者頭部從而減少其活動。而射波刀則無需使用這些極端的手法來固定患者,代之以精密的追蹤軟體,實現更舒適且無創傷的治療。
最後,射波刀的治療的精確度是無可匹敵的。它高精度治療腫瘤的能力是其它放射治療和放射外科系統所無法比擬的。射波刀可“雕畫”出腫瘤的範圍,從而能夠只針對腫瘤進行精確照射而避免損傷周邊的健康組織。
3.中醫治療:
中藥在中央型肺癌的治療上有很大的優勢,標本兼治,扶正祛邪,綜合治療。既能改善患者的生活質量,又能延長生存期,是適用於整個治療過程的方法。中醫藥在中央型肺癌的治療中起到很好的輔助作用,無論是手術、放化療結合中醫中藥治療中央型肺癌,既可有效的抑制腫瘤,又可明顯的緩解症狀,改善全身情況,延長生存期。
伽瑪刀放射治療又是重要的治療方法之一。伽瑪刀是一種融現代計算機技術、立體定向技術和外科技術於一體的治療性設備,它將一束束伽瑪射線幾何聚集,集中照射於預照病灶,一次性、致死性地摧毀靶點內的組織。伽瑪刀作為一種兼有放射和外科概念的新技術逐漸為人們所認識。
5.中西醫結合治療:
中西醫多種高效無毒治療手段、個體化用藥、根治性用藥、多藥並用重用,最大限度地多靶點殺傷癌細胞、增進機體免疫功能,提高機體細胞修復功能DNA修復功能,改善細胞微生態環境,達到最佳治療效果,力求從根本上治癒病人,或者達到穩定病灶,避免擴散,防止併發症、減輕痛苦,“帶瘤生存”,提高生活質量之目的的一種全新的、先進的、獨特有效的治療方法和治療理念。
6.生物細胞免疫療法
API特異生物免疫療法主要依靠患者自體免疫細胞進行腫瘤治療,通過生物技術採集患者外周血中的單個核細胞,在高級別GMP實驗室內進行細胞分離、誘導、增殖、激活等,獲得具有高度活性、數量、腫瘤殺傷能力的主動免疫細胞、被動免疫細胞以及其它免疫細胞(LAK細胞、CD3AK細胞、CIK細胞、NK細胞、NKT細胞、TIL細胞、DC細胞、巨噬細胞 γδT細胞、TC細胞、T細胞等),根據患者病情需要將上述免疫細胞進行個性化的有機組合後,分多次回輸到患者體內,多種免疫細胞有效組合後互相促進、互相影響、取長補短,針對腫瘤靶細胞進行及時的特異性記憶、識別、殺傷。
7.腫瘤分型綜合治療
是根據患者的機體情況、腫瘤的病理類型、侵犯範圍和發展趨勢,有計畫、合理地套用現有的治療手段,以最大限度地提高治癒率、提高生存質量。是現階段治療腫瘤的新型方案,是絕大多數腫瘤治療的基本原則。
心理療法
1、恐懼心理。患者確切知道自己患有肺癌之後,常表現為害怕、絕望,失去生的希望,牽掛親人。護士應同情病人,給予安慰,鼓勵病人積極接受治療,以免耽誤病情,並強調心理對病情的作用,鼓勵患者以積極的心態接受治療。
2、懷疑心理。病人一旦得知自己得了肺癌,坐立不安,多方求證、心情緊張猜疑不定。因此,肺癌患者的心理治療要求醫務人員應言行謹慎,要探明病人的詢問的目的,科學而委婉地回答病人的所提問題,不可直言,減輕病人的受打擊的程度,以免患者對治療失去信心。
3、悲觀心理。病人證實自己患肺癌時,會產生悲觀、失望情緒,表現為失望多於期待,抑鬱不樂,落落寡歡,肺癌患者的心理治療要求護士應給予關懷,說明疾病正在得到治療,同時強調心情舒暢有利於疾病預後。
4、失望或樂觀心理。因為各人的體質和各人的適應程度不一樣,治療效果也不盡相同,有的患者病情得到控制,善於調適自己的心情,同時生活在和諧感情的環境中,病人長期處於一種樂觀狀態。有的逐漸惡化,治療反應大,經濟負擔重,體力難支,精神委靡,消極地等待死亡。肺癌患者的心理治療如何展開?護士對消極的病人要分析原因,做好心理安慰,及時調整病人的心態,做好生活指導;對於樂觀的病人,要做好康復指導,留心觀察心理變化,以便及時發現問題及時解決。
5、認可心理。病人經過一段時間後,開始接受自己患有此病的事實,心情漸平穩,並寄希望於治療。肺癌患者的心理治療要求護士應及時套用“暗示”療法,宣傳治療的意義,排除對治療的不利因素,如社會因素、家庭因素等。
近年來,中醫藥在防治肺癌取得了重大成就,近期治癒率有所提高,在臨床上的套用也在不斷發展,顯示了其良好的前景,較西醫治療具有較大的潛力及優勢。化瘤解毒散結劑是純中藥製劑,治療效果顯著,是您走出疾病困擾的最佳選擇。
飲食
(1)加強營養:肺癌的患者無吞咽困難時,應自由擇食,在不影響治療的情況下,要多吃一些蛋白質,碳水化合物豐富的食品,如瘦肉、雞、鴨、兔、魚、蝦、豆製品以及各種穀類,一般不限制食量,保證良好的營養,為手術創造良好的條件。
如果營養狀況較差,很難耐受手術的創傷,術後癒合慢,易感染,對手術康復極為不利。這就需要術前提高膳食質量。
(2)供給要素飲食:肺癌病人在手術前半個月,除一日三餐外,還要輔加要素飲食。要素飲食含有人體必需的各種營養素,由於營養素齊全可滿足機體的需要,不需消化即可在小腸上端吸收,可口服或管飼用之。要素膳可以補充蛋白質營養外,在足夠熱量供應時,可促進肌肉蛋白的合成,在熱量供應不足時,支鏈胺基酸也能提供更多的熱能。
要素膳的種類很多,經口服或管飼。套用時,要從低濃度開始,一般為5%的濃度逐漸遞增,若無腹瀉、嘔吐時,可逐漸加到10%到20%,如果口服應注意慢飲,飲用速度過快時,由於要素膳為高滲液,易產生腹瀉和嘔吐。要注意適宜的溫度,防止過涼而引起腹瀉。若每天服用100克要素膳,就能增加熱量400千卡,蛋白質16克。同時增加機體的免疫力,能夠耐受手術。
(3)術後的飲食調配:手術後根據病情來確定飲食,有的病人在手術第二天就可以進食,但要從清流開始,食物要清淡、細軟、易消化吸收為主,因為手術創傷會引起消化系統的功能障礙,所以在食物選擇與進補時,不要急於求成。要從最簡單開始,若胃腸道無不良反應時,再過渡到半流食,普食。在手術後的一周內,除食用清流、半流外,還要補充要素膳,補充體內的營養。待能正常進食時,再取消要素膳。不論手術前後,都要多吃新鮮蔬菜和水果,如綠、黃、紅蔬菜、香菇、黑木耳、蘆筍、檸檬、紅棗等,因果蔬中含有豐富的維生素C,是抑癌物質,能夠阻斷癌細胞的生成。
不吃或少吃刺激性食品,包括油炸食品。可經常吃些大蒜,大蒜中含有抗癌物質。要不吸菸和不飲酒。養成良好的生活習慣和飲食習慣,定期體格檢查,及時診斷和治療,就能夠延長生命。

