簡介
模式識別國家重點實驗室籌建於1984年,1987年8月正式對外開放,同年12月通過國家驗收,是由國家計委投資成立的國家重點實驗室之一。實驗室依託於中國科學院自動化研究所,第一任主任是前任國家科技部副部長馬頌德研究員,現任主任是中國科學院副秘書長譚鐵牛研究員。實驗室以模式識別基礎理論、圖像處理與計算機視覺以及語音語言信息處理為主要研究方向,研究人類模式識別的機理以及有效的計算方法,為開發智慧型系統提供關鍵技術,為探求人類智力的本質提供科學依據。成立二十多年來,我們始終將“面向國家戰略需求,瞄準國際學科前沿,開展模式識別領域的基礎和套用基礎研究,建設國際一流的國家重點實驗室,使其成為國內外著名的科學研究、技術創新和人才培養基地,為我國信息高科技的發展提供知識、技術與人才儲備”作為實驗室的發展目標,努力將實驗室建設成為一個高水平的、國際化的科研基地。
實驗室現有固定科研人員43人,45歲以下年青人約占80%,中科院“百人計畫”引進人才5人,青年科研骨幹均具有博士學位,外籍職工2人。實驗室流動人員包括博士後、博士研究生、碩士研究生、高級訪問學者和客座研究人員。現有在站博士後8名,在學博士生149名,碩士生85名以及在研開放課題研究人員36名。實驗室形成了一個以年輕學術帶頭人為核心、以青年科研骨幹為主體和以高素質的研究生隊伍為主力的結構合理的研究梯隊。
實驗室目前承擔著80餘項科研項目,其中包括國家重點基礎研究計畫“973”項目,國家自然科學基金重大、重點和面上項目、傑出青年科學基金項目和創新群體項目,國家高技術計畫“863”項目,國家科技支撐計畫項目及國際合作項目等。
實驗室成員每年在國內外重要的學術期刊和國際學術會議上發表論文百餘篇,其中不少發表在國際權威刊物和國際重要會議上,如IEEE彙刊(PAMI等),InternationalJournalofComputerVision,PatternRecognition,ImageandVisionComputing,Automatica,IEEETransactiononAudio,Speech,andLanguageProcessing,ICASSP,ICCV,ICPR,ACCV等。
近年來,實驗室已獲準和申請專利100餘項,獲國家自然科學二等獎1項,國家技術發明二等獎1項,國家科技進步二等獎1項,北京市科學技術獎一等獎1項,中科院自然科學二等獎2項,其它部委級三等獎4項,國際發明金獎與世界智慧財產權專項獎各1項。
實驗室在開展國內外學術交流與合作方面有著優良的傳統。實驗室借各種機會,積極組織學術交流。每年一批在美國、法國、德國、日本、英國等地工作的優秀中國留學生,定期到實驗室從事短期客座研究,來自世界各地的知名學者到實驗室做學術報告達幾十人次。1997年實驗室通過中科院自動化所和法國國立信息與自動化研究院(INRIA)成立了“中法信息、自動化與套用數學聯合實驗室”。是國內從事基礎研究起步較早的中外聯合實驗室之一,並被譽為開展務實國際合作的典範。2000年10月國際語音翻譯先進研究聯盟(ConsortiumforSpeechTranslationAdvancedResearchInternational,C-STAR)組織通過對實驗室進行全方位的嚴格考察,正式接納實驗室為其第七個核心成員。2002年10月,實驗室與世界第一大圖像處理公司Matrox合作成立了“圖像聯合實驗室”,實現了科研單位與國外著名公司在圖像領域內的跨國合作。實驗室成員積極參與國內外學術組織的工作,擔任許多國內外學術期刊的主編、副主編或編委,以及國際重要學術會議的大會主席或程式委員會委員等。2002年模式識別國家重點實驗室主任譚鐵牛被模式識別與計算機視覺領域的國際權威期刊《IEEETransactionsonPatternAnalysisandMachineIntelligence》聘為編委,成為該刊自創立20多年來第一位進入編委會的國內學者。2004年9月,蔣田仔研究員被醫學影像領域的國際權威期刊IEEE醫學影像彙刊(IEEETransactionsonMedicalImaging)聘為編委(AssociateEditor)。他是目前為止亞洲地區第一位獲邀擔任該刊的編委,也是惟一一位來自非歐美國家的編委。
在國家有關部門的大力支持下,模式識別國家重點實驗室始終堅持在模式識別領域開展基礎和套用基礎的創新研究,取得了一些成績,奠定了良好基礎。實驗室這支一體化、年輕化、國際化和規範化的科研隊伍,儘管面臨巨大的人才競爭壓力,依然有信心將實驗室建設成為面向國家戰略需求的、國際化的科研基地,為我國的信息高科技基礎研究做出新的更大的貢獻!
實驗室工作人員
| 序號 | 姓名 | 職稱 | 研究大組 | 研究方向 |
| 1 | 宗成慶 | 研究員 | 語音語言技術研究組 | 機器翻譯、自動文摘、文本分類、人機對話 |
| 2 | 趙 軍 | 研究員 | 語音語言技術研究組 | 自然語言處理、網路信息提取、知識工程 |
| 3 | 劉文舉 | 副研 | 語音語言技術研究組 | 語音識別、聲紋識別、語音增強、計算聽覺場景分 析、音頻檢索等 |
| 4 | 陶建華 | 副研 | 語音語言技術研究組 | 語音合成、說話人個性分析、情感信息處理與多媒 體集成 |
| 5 | 陳鈺楓 | 助研 | 語音語言技術研究組 | 自然語言處理、機器翻譯 |
| 6 | 盧漢清 | 研究員 | 視覺信息研究組 | 圖象相似形度量、視頻圖象分析、多媒體技術與系 統等 |
| 7 | 吳福朝 | 研究員 | 視覺信息研究組 | 計算機視覺、模式識別 |
| 8 | 胡占義 | 研究員 | 視覺信息研究組 | 三維計算機視覺,特別是圖像特徵提取與匹配;攝 像機標定和三維重建; 基於圖像的物體定位 |
| 9 | 楊青 | 研究員 | 視覺信息研究組 | 模式識別、計算機視覺和圖像處理 |
| 10 | 吳毅紅 | 研究員 | 視覺信息研究組 | 計算機視覺、包括攝像機標定、攝像機定位與跟 蹤、三維重建、多視幾何學、 |
| 11 | 徐常勝 | 研究員 | 視覺信息研究組 | 多媒體分析與檢索、計算機視覺、模式識別、機 器學習 |
| 12 | 唐 明 | 副研 | 視覺信息研究組 | 計算機視覺、模式識別、圖像處理 |
| 13 | 程健 | 副研 | 視覺信息研究組 | 圖像與視頻分析、機器學習 |
| 14 | 劉靜 | 助研 | 視覺信息研究組 | 多媒體信息檢索、圖像與視頻分析、機器學習等 |
| 15 | 高偉 | 助研 | 視覺信息研究組 | 計算機視覺、三維重建、圖像處理 |
| 16 | 董秋雷 | 助研 | 視覺信息研究組 | 運動分析、三維定位與視覺測量 |
| 17 | 王金橋 | 助研 | 視覺信息研究組 | 視頻檢索、移動多媒體分析、目標檢測、跟蹤和 分類 |
| 18 | 馬頌德 | 研究員 | 視覺信息研究組 | 計算機視覺、圖像理解與搜尋、機器人、計算機 圖形學 |
| 19 | 譚鐵牛 | 研究員 | 生物特徵信息處理研究組 | 生物特徵識別、圖像視頻理解、視頻監控和信息 內容安全 |
| 20 | 李子青 | 研究員 | 生物特徵信息處理研究組 | 統計模式識別與機器學習理論,以及生物特徵識 別、智慧型視頻監控、圖像處理與計算機視覺、圖 像與視頻理解 |
| 21 | 胡衛明 | 研究員 | 生物特徵信息處理研究組 | 視頻信息處理與網路信息安全識別 |
| 22 | 黃凱奇 | 副研 | 生物特徵信息處理研究組 | 智慧型視覺監控、模式識別、人的視覺特性的研究 |
| 23 | 向世明 | 副研 | 生物特徵信息處理研究組 | 模式識別和機器學習 |
| 24 | 孫哲南 | 副研 | 生物特徵信息處理研究組 | 生物特徵識別,包括虹膜識別、掌紋識別、 三維人臉識別、在線上筆跡識別 |
| 25 | 羅冠 | 助研 | 生物特徵信息處理研究組 | 網際網路內容安全、監控視頻數據挖掘 |
| 26 | 吳偶 | 助研 | 生物特徵信息處理研究組 | 數據挖掘與網際網路視覺計算 |
| 28 | 敖萌 | 助研 | 生物特徵信息處理研究組 | 生物特徵識別,人臉監控系統 |
| 29 | 胡包鋼 | 研究員 | 模式識別及其認知機理研究組 | 模式識別與植物生長建模 |
| 30 | 蔣田仔 | 研究員 | 模式識別及其認知機理研究組 | 腦影像計算理論和算法及其在神經和精神疾病中 的套用,特別是計算神經解剖學,腦功能影像分 析,影像基因組學,基於神經影像的複雜腦網路 ,複雜生物網路等 |
| 31 | 劉成林 | 研究員 | 模式識別及其認知機理研究組 | 模式識別、機器學習、文字識別、文檔分析 |
| 32 | 潘春洪 | 研究員 | 模式識別及其認知機理研究組 | 計算機視覺、運動分析、計算機圖形學、遙感圖 像處理、模式識別與人工智慧、自動控制,計算 機建模與仿真 |
| 33 | 范勇 | 研究員 | 模式識別及其認知機理研究組 | 醫學圖像處理與統計分析 |
| 34 | 張曉鵬 | 副研 | 模式識別及其認知機理研究組 | 計算機圖形學、數字幾何處理 |
| 35 | 普林特 | 副研 | 模式識別及其認知機理研究組 | 計算機視覺、圖像分析、目標識別、機器學習 、場景理解和遙感套用 |
| 36 | 侯新文 | 副研 | 模式識別及其認知機理研究組 | 機器學習、視頻語義理解、面像識別 |
| 37 | 康孟珍 | 副研 | 模式識別及其認知機理研究組 | 植物生長數學建模與數據回歸 |
| 38 | 劉冰 | 助研 | 模式識別及其認知機理研究組 | 複雜腦疾病的生物標記發現、影像基因組學以 、複雜疾病的系統生物學研究 |
| 39 | 劉勇 | 助研 | 模式識別及其認知機理研究組 | 模式識別及其認知機理研究組功能磁共振技術 及套用、腦功能與腦結構網路 |
| 40 | 宋明 | 助研 | 模式識別及其認知機理研究組 | 功能磁共振數據的分析、腦機接口技術的開發 |
| 41 | 左年明 | 助研 | 模式識別及其認知機理研究組 | 醫學圖像分析及可視化,計算機輔助檢測與 診斷 |
| 42 | 孟高峰 | 助研 | 模式識別及其認知機理研究組 | 計算機視覺,圖像處理與理解,模式識別, 機器學習 |
| 43 | 黃開竹 | 副研 | 模式識別及其認知機理研究組 | 統計機器學習,模式識別,數據挖掘,文 字識別 |
| 44 | 陳志義 | 高級工程師 技術支撐人員 | 綜合辦公室 | |
| 45 | 連國臻 | 高級工程師 管理人員 | 綜合辦公室 | |
| 46 | 婁文利 | 高級工程師 管理人員 | 綜合辦公室 | |
| 47 | 馬麗霞 | 工程師 管理人員 | 綜合辦公室 | |
| 48 | 趙微 | 高級工程師 管理人員 | 綜合辦公室 |
研究組
1.模式識別及其認知機理研究組 “模式識別及其認知機理”創新團隊是模式識別國家重點實驗室從事基礎研究的主要團隊,也是中法信息、自動化與套用數學聯合實驗室的中方成員,中法聯合實驗室中方主任蔣田仔研究員同時擔任該團隊負責人。團隊的主要使命是研究模式識別的共性基礎問題及其認知機理,揭示人腦對信息處理所特有規律,加深對人類認知障礙的病理機制的認識。主要研究內容包括模式識別的共性基礎理論、腦成像與人類認知障礙的病理機制、自然資源信息處理的基礎理論。團隊現有研究員3人,副研究員4人,助理研究員4人,包括國家傑出青年基金獲得者2人,中國科學院“百人計畫”入選者2人,外籍科研骨幹1人,博士後及博士和碩士研究生70餘人。研究組承擔的項目包括:國家自然科學基金項目和科技部973項目及863項目等。
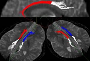
基於尺度不變參數化的扣帶分析方法的實驗結果
植物群落可視化2.語音語言技術研究組 語音語言技術是模式識別國家重點實驗室的研究方向之一,該研究組致力於人類語言技術中的基礎問題和關鍵技術研究,力圖在理論模型與套用系統開發和大規模語料庫建設等方面做出應有的貢獻。目前研究組的主要興趣在如下三個方面:(1)自然語言處理的基礎理論和方法研究、機器翻譯、信息檢索與信息提取、文本挖掘;(2)高性能的語音識別技術研究;(3)語音合成、計算聽覺場景分析、人機互動中情感計算、多媒體集成方法研究。目前該研究組有研究人員5名,博士研究生23名,碩士研究生14名,承擔和參與的主要項目有:國家自然科學基金項目6項、國家973計畫項目子課題1項、國家863項目4項、國家支撐計畫項目1項、北京市自然科學基金項目1項和一批國際、國內合作研究項目。

語音翻譯實驗系統

基於計算聽覺場景分析及語音客觀質量評估單通道語音分離的多級系統框架圖

初始語音分割階段的組織框架圖
3.生物特徵信息處理研究組生物識別與安全技術研究中心是模式識別國家重點實驗室四個研究小組之一,目前有研究員4位,副研究員3位,助理研究員2位,研究實習員2位,博士、碩士研究生共70多位。目前負責人是李子青研究員。
本中心研究以滿足國家安防領域重大需求為主要目的,主要方向為生物特徵識別、智慧型視頻監控、信息隱藏和檢測、網際網路內容安全。通過對圖像、視頻、文本等信息的自動分析和模式識別,實現對數字內容的語義理解,套用於身份識別、目標跟蹤與行為分析、多媒體、網路信息安全。研究組目前承擔多項國家項目,包括一項國家973課題,多項863重點項目,多項國家自然科學基金重點和面上項目。
The Center for Biometrics and Security Research (CBSR) is one of the four research groups in the National Laboratory of Pattern Recognition. The Center now consists of 4 professors, 3 associate professors, 2 assistant professors, 2 research associates, and about 70 Ph.D and MS students. It is currently headed by Prof. Stan Z. Li.
CBSR’s major research focuses on biometric recognition, intelligent video surveillance, information hiding and detection, and Internet content security. It is aimed to achieve semantic understanding of digital contents through automatic pattern analysis and recognition of images, videos and texts. Application areas include person identification, object tracking and behavior analysis in video, multimedia, and network information security. The funding of CBSR largely comes from major national R&D programs, including The National Key Basic Research and Development Program, The National High Technology R-D Program, and National Natural Science Foundation .
4.視覺信息處理研究組
視覺信息處理組是模式識別國家重點實驗室四個研究小組之一,該組目前有研究員6位,副研究員3位,助理研究員4位。博士、碩士研究生共50多位。該組的主要研究方向為計算機視覺,特別是以下方面的研究:(1)基於人類感知和認知機理的計算機視覺的新理論和新模型;(2)高魯棒性的快速計算方法,特別是從圖像中可靠、快速提取物體運動信息和三維形狀信息的算法;(3)具有重要套用價值或具有重大市場潛力的視覺原型系統開發。該研究組目前承擔的國家項目有:二項“973”子課題,四項國家自然科學基金重點課題,多項國家863項目和國家自然科學基金面上項目。

逼真的三維重建結果