症狀
不全流產的症狀主要表現在以下幾個方面:
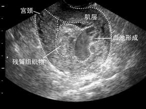
首先,發生不全流產的女性會有長時間出血的症狀,出血時間通常在兩周以上,有的甚至還超過3周;其次,出血量大是不全流產的另一種表現,不全流產的女性出血量通常會大於平時月經量一部分妊娠物已排出,尚有一部分殘留在子宮腔內,或仍附著在子宮壁上,子宮強烈的收縮使患者感到腹部劇痛及腰部酸痛,流血量較多,子宮口未閉。宮頸口已擴張,不斷有血自宮頸口內流出,有時還可見有胎盤或胎兒組織堵塞在擴張的宮頸口內。B超檢察子宮內沒有完美的胚胎外形,沒有心跳,只見血塊和邊界不規則的塊狀物,宮頸口張開,有時見宮頸口內有組織物。如果不完全流產的症狀發生後,持續出血時間長引起貧血,患者有面色蒼白、頭昏等表現,血液檢察可見紅細胞和血紅蛋白減少;出血過多引起休克的,出現心跳加快、出冷汗、少尿、暈厥、甚至昏迷。
病理
不全流產常發生於妊娠8周后.此時胎盤已形成,當胎兒排出後,胎盤部分或全部瀦留在子宮腔內,影響子宮收縮,導致出血不止,甚至發生出血性休克。
危害
不全流產2.子宮頸或內膜粘黏:在進行子宮擴刮術時,如果刮的太粗魯,導致子宮頸或內膜受傷、發炎,就有可能產生術後的子宮頸或內膜粘黏、並會引起月經異常,如無月經或月經量過少。嚴重者會在以後產生不育症的情況。
3.實行麻醉時可能造成吸入性肺炎或呼吸停止的狀況。
4.口服藥物流產方式,雖然沒有上述的後遺症,且能避免一些婦女身心傷害的副作用,但仍需注意有可能大量出血及不完全流產的問題。
5.不完全流產:如果手術施行不完全,少量胎兒組織殘留於子宮內,可能影響子宮收縮而造成持續出血或造成粘黏、感染等情況。最好再仔細做一次手術清除殘餘的組織。子宮的位置或形狀不正常,一般比較容易造成此後遺症。
6.細菌感染:如果器械消毒不完全,或是手術者本身未注意無菌過程,即可能造成子宮內感染,甚至繼續往上傳染侵犯輸卵管及骨盆腔,嚴重時會造成以後容易宮外孕或不孕的後果。
7.子宮頸受傷:在擴張子宮頸口的過程,如果不小心,或擴張速度太快,都有可能造成子宮頸的損傷,並造成以後懷孕較容易流產的情形,尤其是第一次懷孕或尚未生育過的婦女比較容易發生。
臨床診斷
注意有無以下感染徵象:
體溫升高至38℃以上;
子宮局部有壓痛;
陰道排出物有惡臭;
白細胞計數升高。
治療
不全流產2.合併感染者,按以下原則處理:
2.1如出血量少或出血已止,應先控制感染。3~5d後,以卵圓鉗輕輕夾取殘留組織或以鈍刮匙輕刮宮壁。
2.2如感染體徵明顯、出血量多,應在抗感染的同時清理宮腔。可在靜脈滴注抗生素及使用縮宮藥的同時,行鉗刮術。
2.3如曾在未消毒情況下施行墮胎者,應按破傷風預防常規處理。
4.仔細檢查刮出組織,必要時送病理檢查及細菌培養。
5.術後繼續使用抗生素直到體溫正常3d。
6.恢復期可口服益母草膏。
7.術後注意事項同難免流產。
8.部分胚胎或胎盤已排出,部分仍殘留在子宮內。可發生大流血以至休克。此時,應急送醫院進行搶救及清官術。
流產後保養
1.墮胎後要注意適當休息。通常建議臥床休息1周,如果條件不允許,最少應臥床休息2-3天。以後可下床活動,逐漸增加活動時間。在墮胎後半月內不要從事重體力勞動 。
2.墮胎後補充營養是必須的。尤其是蛋白質、鐵、及維生素B12,這些都是造血的必要原料,而維生素C、水份、礦物質及纖維素是人體必須的營養。墮胎後,應多吃些魚類、肉類、蛋類、豆類製品蛋白質豐富的食品和富含維生素的新鮮蔬菜,以加快身體的康復。
3.觀察墮胎後出血情況。墮胎後陰道流血超過一周以上或下腹疼痛、發熱、白帶異常等症狀,就應及時到醫院複查診治。另外,墮胎後一個月內應到醫院進行複查。
4.墮胎後堅持避孕,以免再孕。墮胎後卵巢和子宮功能漸恢復,卵巢按期排卵。如果不堅持做好避孕,很快又會懷孕,這對身體影響更大。
5.心理調適是非常重要的。墮胎後,許多女性都會變得焦慮或自怨,會覺得得到的關懷不夠,也擔心影響今後的健康,其實,適當的關心和理解以及飲食調理就能解開心結,恢復快樂和自信。

