病因
根據有無明確病因分為2類:
1.特發性SNPH
原因不明,可能是隱匿性蛛網膜下腔出血(SAH)或腦膜感染所致。
2.繼發性SNPH(症狀性SNPH)
可以由腦脊髓膜炎、SAH、外傷、顱內及脊髓內手術操作不規範等引起的腦脊液流通障礙或腦腫瘤、中腦導水管狹窄等原因引起。
SNPH發病機制通常是:在腦積水形成早期由於顱內壓力增高使腦室擴張,如非進展性腦脊膜和室管膜疾病可發生腦積水並達到穩定水平,即腦脊液形成與吸收達到平衡或代償。可由於脈絡叢受壓,腦脊液吸收壓增加,在較高壓力達到平衡後顱內壓逐漸下降,從腦室到顱底腦池、再到大腦蛛網膜下腔壓力梯度逐漸下降,但實際上仍較高,擴大的腦室與顱內壓之間重新建立新的平衡,當顱內壓力維持在正常範圍而腦室仍處於擴張狀態時即形成SNPH,如不能代償或代償不完全可形成高壓力性腦積水。
臨床表現
1.精神障礙,記憶力減退,思維和動作緩慢、進行性痴呆
大多數情況下最先出現精神症狀,表現為精神活動遲鈍和無欲望,思維、言語、計算力障礙出現相對較晚,記憶定向障礙也常見,有時可達到精神病的程度。言語動作減少、緘默、嗜睡和昏睡狀態偶也可見。上述症狀多為進行性,也可有波動。有時表現為焦慮、抑鬱和興奮攻擊行為,偶見幻覺、妄想。
2.步態障礙
步態異常發生在精神症狀出現數月後,輕者為步態緩慢、直線行走困難,嚴重者不能自己行走和站立。患者頻繁跌倒,逐漸出現步基增寬,步態拖拉,肢體僵硬、動作緩慢,下肢出現痙攣步態。當病情發展達高峰時,步態失調和運動功能低下十分嚴重,以至所有的自主活動受到限制。
3.尿失禁
通常發生在精神和步態障礙之後,隨著病情惡化,症狀持久。大便失禁很少出現,僅發生在病情最嚴重的病例。
除上述三主征外,還可出現人格改變,癲癇、水平性眼球震顫、錐體外系症狀,抓握反射、原始反射及丘腦下部垂體功能低下等。晚期可出現不全截癱、下肢腱反射亢進及病理反射陽性。
檢查
1.實驗室檢查
腦脊液檢查,細胞數、蛋白、糖含量正常。
2.其他輔助檢查
(1)腦脊液檢查腰穿壓力正常或稍低,很少超過1.8kPa(180mmHO)。腦脊液的細胞數、蛋白、糖含量正常。大多數病例腰穿後症狀有所改善,但臨床症狀無改善者,也不能排除SNPH的診斷。
(2)放射性核素腦池造影該手段提供了測量腦脊液動力學的方法。SNPH時由於腦脊液吸收障礙引起其動力學的改變,在注藥後30~60分鐘內就可在腦室內發現放射性示蹤劑,並在此停留24~72小時以上,且大腦凸面顯影差,不對稱或注射20~30小時後,矢狀竇旁無放射性核素濃集,或基底池以上蛛網膜下腔完全不充盈,少見的情況是放射性核素在基底池積聚,隨著腦脊液在大腦凸面的緩慢移動,伴有放射性核素濃集。
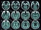
(3)CT掃描SNPH時顯示腦室擴大,其特點是側腦室額角呈圓球形,伴腦室周圍(特別是額角)低密度區,提示腦脊液經腦室壁的室管膜代償性吸收致腦室周圍水腫,而腦溝不受影響,此特點可與腦萎縮的改變相區別。
診斷
本病根據臨床特點、腦脊液壓力測定和CT圖像可作初步診斷。在診斷時不一定需三聯征俱全,有下述情況就應考慮到SNPH的可能:
1.進展較快且神經衰弱(記憶力減退)、腦動脈硬化更為嚴重之智慧型障礙者。
2.無脊髓受壓徵象,表現有兩側肌張力增高、病理特徵並不很明顯,而步行障礙嚴重者。
3.腦血管病急性發作後,癱瘓等症狀有顯著改善或恢復後又出現逐漸進展的智慧型障礙或有智慧型障礙顯著加重者。
凡有上述情況,就要考慮到SNPH的可能性,並及時做顱腦CT或MRI掃描、核素腦池造影或碘水腦池CT掃描等檢查,可望獲得早期診斷。
鑑別診斷
正常顱壓腦積水所伴有的痴呆,以記憶力低下及思考和行動遲緩為特徵,而後表現為缺乏主動性,對外界不感興趣。而幻覺、妄想以及越軌的行動很少,病程一般為數月。應與老年性痴呆、多發梗死性痴呆進行鑑別。
治療
一般於術後數小時至數日症狀開始好轉,許多患者可完全逆轉,擴大的腦室也略縮小,腦壓下降。療效與病因有關,基底池內腦脊液流動完全受阻者療效最好,有腦萎縮和多發性腦梗塞者,手術療效差。在手術有效治療中,以精神狀態改善最快,其次為尿失禁,而步態障礙改善最慢。腦脊液分流術有腦室心房分流術、腦室腹腔分流術和腰椎蛛網膜下腔腹腔分流術3種。以往廣泛施行的是腦室心房分流術,但因有菌血症等嚴重併發症。腦室腹腔分流術是把腦室與腹腔以矽膠分流管連通進行分流的手術,手術並非很難,腰椎蛛網膜下腔腹腔分流術較腦室腹腔分流術更為簡便,且可施行局麻,所以對於高齡和全身狀態較差患者較為適用。
預後
一般而言,對有明確病因者,如蛛網膜下腔出血、腦膜炎、外傷、顱腦手術後發病者,比非明確病因者手術效果好;病程短者(半年以內)比病程長者效果好;年輕者比年老者手術效果好。通過腰穿或顱內壓監測來評價分流效果,以確定顱壓是否下降。3個月後複查CT,如症狀無改善,腦室仍擴大,則可考慮更換較低壓分流管。

